Download

ORIGINAL ARTICLE

Assessment of Saccharomyces boulardii CNCM I-745-supplemented probiotic and synbiotic ice cream in mitigating trinitrobenzene sulfonic acid-induced colitis in rats

Abid Sarwar1,2, Najeeb Ullah2, Zhennai Yang1*, Tariq Aziz1*, Ashwag Shami3, Fahad Al-Asmari4, Nuha Anajirih5, Naif ALSuhaymi5, Bandar K. Baothman6, Majid Alhomrani7, Hajar AlQadeeb8, Fakhria A. Al-Joufi9

1Key Laboratory of Geriatric Nutrition and Health of Ministry of Education, Beijing Advanced Innovation Center for Food Nutrition and Human Health, Beijing Technology and Business University, Beijing, China;

2Food & Biotechnology Research Center (FBRC), Pakistan Council of Scientific Industrial Research (PCSIR), Lahore, Pakistan;

3Department of Biology, College of Sciences, Princess Nourah bint Abdulrahman University, P.O. Box 84428, Riyadh 11671, Saudi Arabia;

4Department of Food and Nutrition Sciences, College of Agricultural and Food Sciences, King Faisal University, Al Ahsa, Saudi Arabia;

5Medical Emergency Services Department, Faculty of Health Sciences, Al-Qunfudah, Umm Al-Qura University, Makkah 21912, Saudi Arabia;

6Department of Medical Laboratory Technology, Faculty of Applied Medical Sciences in Rabigh, King Abdulaziz University, Jeddah 21589, Saudi Arabia;

7Department of Clinical Laboratory Sciences, The faculty of Applied Medical Sciences, Taif University, Taif, Saudi Arabia;

8Department of Medical Laboratory, College of Applied Medical Sciences, Prince Sattam Bin Abdulaziz University, AlKharj 11942, Saudi Arabia;

9Department of Pharmacology, College of Pharmacy, Jouf University, 72341 Aljouf, Saudi Arabia

Abstract

Inflammatory bowel disease (IBD) refers to a pair of disorders, namely Crohn’s disease and ulcerative colitis (UC), which are distinguished by persistent gastrointestinal (GI) tract inflammation. Common manifestations include fever and inflammation of the colon, resulting in decreased absorption of nutrition and weight loss. The occurrence of UC can be decreased by modulating the immune system via gut microflora with probiotics and prebiotics. This study aimed to create a rat model of colitis by utilizing trinitrobenzene sulfonic acid (TNBS) and to correlate intestinal anti-inflammatory activity, physical effects, and hepatoprotective properties of functional probiotic and synbiotic ice cream. In this study, probiotic, S. boulardii CNCM I-745, and prebiotic, inulin, which are proved to have beneficial effects on the gut, were used in the formulation of ice cream. The ice cream was then given to albino rats with TNBS-induced colitis. The effect of ice cream, which was based on probiotics and synbiotics, was assessed by comparing it with negative control and colitic mice. The evaluation focused on the effect of ice cream on physical and inflammatory indicators. Three treatment groups were administered probiotic and synbiotic ice cream based on their weight for a duration of 2 weeks. Prior to this, colitis was induced using TNBS. After consuming several functional ice cream formulations for 2 weeks, the levels of inflammatory markers, such as tumor necrosis factor-alpha and interleukin-6, exhibited a noticeable decline, indicating reduced inflammation. The ingestion of probiotic and synbiotic ice cream also led to enhanced weight gain. The serum levels of aspartate aminotransferase, alanine aminotransferase, and alkaline phosphatase, which are parameters for assessing hepatoprotective effects, also demonstrated that the treated groups had a faster recovery and reverted to their normal state. This could be attributed to the combination immunomodulatory action of probiotic and synbiotic ice cream formulations.

Key words: colitic albino rats, Saccharomyces boulardii CNCM I-745, synbiotic ice cream, tumor necrosis factor-alpha (TNF-α), TNBS

*Corresponding Authors: Zhennai Yang and Tariq Aziz, Key Laboratory of Geriatric Nutrition and Health of Ministry of Education, Beijing Advanced Innovation Center for Food Nutrition and Human Health, Beijing Technology and Business University, Beijing, China. Emails: [email protected]; [email protected]

Academic Editor: Prof. Mariella Calasso (SIMTREA), University of Bari, Italy

Received: 1 January 2025; Accepted: 2 April 2025; Published: 1 July 2025

DOI: 10.15586/ijfs.v37i3.2953

© 2025 Codon Publications
This is an Open Access article distributed under the terms of the Creative Commons Attribution-NonCommercial-ShareAlike 4.0 International (CC BY-NC-SA 4.0). License (http://creativecommons.org/licenses/by-nc-sa/4.0/)

Introduction

Crohn’s disease (CD) and ulcerative colitis (UC) are two complex systemic and incurable disorders that occur under the umbrella of inflammatory bowel disease (IBD). People all around the world are affected by IBD because of the disease’s substantial upward trend in incidence proportions. For example, according to the Crohn’s & Colitis Foundation of America (2014; Colombel and Mahadevan, 2017), an estimated 1.6–3.1 million Americans are afflicted with IBD, with approximately 70,000 new cases diagnosed annually. Conversely, colitis, a debilitating inflammatory condition of the colon, presents a complex challenge. The trinitrobenzene sulfonic acid (TNBS)-induced colitis model in rodents is a well-established approach for studying IBD, providing valuable insights into the mechanisms underlying this disorder and potential therapeutic strategies (Yang et al., 2022).

Antibiotics are obligatory in the treatment of bacterial infections, constituting a cornerstone of modern medicine. Nevertheless, their use carries the risk of unintended consequences, including antibiotic-associated diarrhea (AAD) (Zeng et al., 2019). AAD is a prevalent adverse effect of antibiotic therapy, affecting a substantial proportion of patients and ranging from mild discomfort to severe complications. The pathophysiology of AAD varies, but the most frequent mechanism is caused by antibiotic-induced disruption to gut physiology and microbial community assembly, causing intestinal dysbiosis (Crobach et al., 2016). This condition arises due to disruption in the delicate equilibrium of gut microbiota, leading to the proliferation of pathogenic bacteria and gastrointestinal distress (Fan et al., 2024; Li et al., 2025; Hempel et al., 2012).

Probiotics, defined as live microorganisms that confer health benefits when administered in sufficient quantities, have emerged as a promising avenue to mitigate the adverse effects of antibiotics and manage conditions, such as AAD (Aziz et al., 2024; McFarland et al., 2010). Among the probiotics, Saccharomyces boulardii CNCM I-745 excels as a non-pathogenic yeast strain with documented efficacy in preventing and treating various gastrointestinal disorders, including infectious diarrhea and antibiotic-induced gastrointestinal disturbances (Cencic and Chingwaru, 2010; Tung et al., 2009). Additionally, the combination of probiotics with prebiotics in synbiotics has shown the potential to enhance their beneficial effects by promoting the growth and activity of beneficial gut microflora, further contributing to gut health. The results are contingent upon various factors, including the type and concentration of prebiotics, probiotic strains, and dietary matrix (Dong et al., 2025; Zhu et al., 2022; Khalesi et al., 2019; Parhi et al., 2024). In recent years, the demand of food products that promote good health has grown significantly. The dairy industry is noteworthy in supplying probiotic microbes to customers (Öztürk et al., 2018). The implementation of probiotic cultures obtained from dairy matrix presents a potentially effective approach in achieving stability within the intestinal microbiota, hence promoting the overall body health. Ice cream is considered as a viable medium for the prolonged survival of probiotics within the realm of dairy products matrix (Mohammadi et al., 2011).

We characterized a synbiotic ice cream formulation in our earlier study (Sarwar et al., 2021). This formulation was developed using the probiotic yeast S. boulardii CNCM I-745 in combination with inulin. After a storage for 120 days, the viability of S. boulardii CNCM I-745 in synbiotic ice cream was enhanced with the use of inulin. The synbiotic ice cream used in this study demonstrated the possibility of a novel functional food that incorporated probiotic yeast and prebiotic inulin (Sarwar et al., 2021).

As a reserve polysaccharide, inulin, a soluble dietary fiber, is present in over 36,000 plant species. The main sources of inulin include chicory, Jerusalem artichoke tubers, onions, garlic, barley, and dahlias. Of these, chicory roots and Jerusalem artichoke tubers are used frequently as raw materials for the food industry’s inulin manufacturing. As a prebiotic, inulin is widely recognized to have a remarkable impact on gut microbiota regulation by promoting the growth of beneficial microbiota (Qin et al., 2023).

This study aimed to investigate the potential benefits of S. boulardii CNCM I-745-supplemented probiotic and synbiotic ice cream in alleviating TNBS-induced colitis in a rat model. By assessing the impact of these interventions on gastrointestinal health and elucidating the mechanisms involved, we attempted to provide valuable insights into the potential of probiotic-based ice cream formulations as a convenient and palatable means of delivering therapeutic microorganisms and prebiotics to combat antibiotic-related complications and inflammatory conditions of the colon. This research may not only advance our understanding of the therapeutic potential of probiotics and synbiotics but also offer practical applications in the development of novel dietary interventions for gastrointestinal disorders.

Material and Methods

Materials and ice cream preparation

Fresh cow milk was purchased from Milkano Co. Ltd. (Lahore, Punjab, Pakistan). Inulin was purchased from Now Foods (Bloomingdale, US). The sugar was acquired from local supermarket (Lahore, Pakistan). The cream was obtained from Nestle. S. boulardii CNCM I-745 was purchased from Martin Dow (Karachi, Pakistan). The viable count of colony forming unit (CFU) of S. boulardii CNCM I-745 was determined on Sabouraud Dextrose agar in different dilutions made by dissolving 250-mg sachet in 9-mL peptone water; then the desired amount (in milligram) was added to each batch of ice cream (Rodriguez et al., 2017). The yogurt starter culture containing Lactobacillus delbrueckii ssp. bulgaricus and Streptococcus thermophilus, or LS starter, was purchased in powder form (DANISCO, France) and activated by transferring consecutively for three times in 10% (w/v) reconstituted skimmed milk at 37ºC for 24 h for making ice cream in the following experiment.

The rest of chemicals and testing kits utilized in this study were of analytical grade and obtained from Sigma Aldrich (St. Louis, MO, US). Ice cream was prepared according to the method described by Sarwar et al. (2021). After adding 7% sugar, raw milk was pasteurized for 30 min at 65ºC, allowed to cool to 37ºC, and inoculated with S. boulardii CNCM I-745 in the following three groups: the first group with 2% inulin, the second group with yogurt culture, and the third one with S. boulardii CNCM I-745 alone. All these groups were then incubated for 6 h at 37ºC. After this, the rest of ingredients were mixed and homogenized in each group. The ice cream samples were prepared in batches of 2-kg ice cream mix using an ice cream machine with two chambers (Donper, China). The ice cream samples were packed in 100-mL cups and stored in a freezer. The combinations were probiotic ice cream with S. boulardii CNCM I-745(PI), synbiotic ice cream with S. boulardii CNCM I-745 and 2% inulin (SI-2), and probiotic ice cream with S. boulardii CNCM I-745 and yogurt culture (PI-LS). The samples were stored and used for feeding rats in in vivo experiments.

Rats grouping, housing, and dosing

A total of 30 female Albino rats, aged 8–9 weeks and weighing 70–80 g, were obtained from the University of Lahore. The in vivo study was approved by the Animal Model Ethical Committee, Pakistan Council of Scientific and Industrial Research (PCSIR), Lahore (No. 22-1566). The animals were maintained in a controlled environment with a 12-h light–dark cycle, free from pathogens. They were housed in an animal facility with regulated temperature (25±5°C) and humidity (60±10%), with unrestricted access to food and water. The rats were bred for a period of 9 days to acclimatize the conditions. The animals were categorized into the following five distinct groups (Table 1): group A = control; group A1 (negative control) = TNBS-induced colitis; group B = TNBS-induced colitis treated with probiotic ice cream (PI); group C = TNBS-induced colitis treated with (SI-2) ice cream; and group D = TNBS-induced colitis treated with (PI-LS) ice cream.

Table 1. In vivo study trial description of different treatment groups of albino rats.

Group name Treatments
Control = A Normal rats on standard diet and ice cream without probiotic
Negative control = A1 TNBS-induced colitis
Probiotic ice cream = B TNBS-induced colitic rats treated with probiotic ice cream (PI)
Synbiotic ice cream = C TNBS-induced colitic rats treated with synbiotic ice cream (SI-2)
Probiotic ice cream with yogurt culture = D TNBS-induced colitic rats treated with probiotic ice cream (PI-LS)

Induction of colitis

The animals belonging to the TNBS group were housed separately and subjected to an overnight fasting on day 9 of the experiment. During this period, the animals were provided unrestricted access to 5% sucrose solution. This was exercised to minimize the presence of fecal pellets in the distal colon. On day 10 of the experiment, the animals were administered anesthesia using isoflurane (Flurane®; Biocare Pharmaceutica, Lahore, Pakistan). A rectal instillation of 40% ethanolic solution of TNBS (15 mg per body weight of animal) was conducted using a medical-grade polyurethane catheter designed for enteral feeding. The instillation was carried out approximately 4–8 cm proximal to the anal verge. Subsequently, the rats were subjected to a head-down position for a brief period to prevent the ejection of fluid and promote uniform dispersion of chemical substance. The literature mentions several methods for the dosing of TNBS and ethanol (Ikeda et al., 2008). After the induction of colitis in designated groups, different probiotic and synbiotic ice cream samples, with 108–109 cfu/g of S. boulardii CNCM I-745, were fed in separate cups once daily to the animals of each group from days 11 to 24 of the experiment according to the respective treatment as shown in Table 1. The control group A received the same dose of ice cream without any probiotic added during its preparation.

Physical parameters

In order to evaluate the impact of different probiotic and synbiotic ice cream formulations on the body weight of rats, their weight was assessed on days 1, 9, 11, 17, and 24. The counts of S. boulardii CNCM I-745 were also assessed in the fresh feces of each group on days 12, 17, 21, and 24 after induction of colitis leading to diarrhea. The disease activity index (DAI) was calculated by assigning scores based on loss in body weight (0: none, 1: 1–10%, 2: 11–15%, 3: 16–20%, 4: >20%), stool consistency (0: normal, 3: loose stool, 5: diarrhea), and the presence of hidden or visible blood (0: negative, 3: fecal occult blood, 5: extensive bleeding) (Hamamoto et al., 1999). Intake of feed was assessed daily during the trial period, excluding any spilt food, in order to determine feed consumption during therapy.

Blood and sample collection

Following a 14-day experimental study period, rats were euthanized on day 25 at 10:00 am in a fasting state after being administered isoflurane anesthesia. The jugular vein in the neck region of rats was incised using a sharp knife, and blood was collected in sterile tubes containing heparin for analysis. The blood collected in tubes was centrifuged to separate plasma. The plasma was stored in separate portions at a temperature of -20°C for examination (Umbreen et al., 2020). After dissection of the colon, each part was removed for histopathologic analysis.

Histopathology and microscopic assessment of colonic impairment

Collected tissues were preserved after washing with phosphate-buffered saline solution (PBS) in buffered formalin (neutral), and all containers were respectively labeled for histologic examinations. The colons of rats, after fixing for at least 24 h using neutral buffered formalin (10%), were sectioned into thin slices (1 mm) and processed using tissue cassettes in ascending order. Graded alcohol was used to dehydrate tissue sections, then cleared in xylene and kept in paraffin wax to infiltrate into tissues to induce support for microtomy according to the protocol described by Bancroft and Gamble (2008). Subsequently, the samples were affixed on glass slides and subjected to hematoxylin and eosin (H&E) staining. After staining tissue sections, slides were dehydrated in the ascending order of alcohol (70%, 100%, two steps), cleared in xylene (two steps), and mounted with one drop of dibutyl phthalate polystyrene xylene (DPX). Then each slide was covered with a glass cover slip (24 × 50 mm; Marienfeld GmbH, Germany) and observed using high-power objective microscope. Microscopic alterations were evaluated and compared to both control (A) and negative control (A1) groups and to the groups treated with probiotic and synbiotic ice cream samples, indicating observable, non-observable, and significant damage. Microscopy images were acquired for each group at ×40 magnification.

Analysis of blood, indicators of inflammation and hepatoprotective parameters

The blood samples were subjected to analysis for complete blood count (CBC) and differential white blood cell (WBC) count using biochemistry analyzer (Mindray, China). To ensure accuracy, the samples were processed in triplicate (Moazzam et al., 2013). Sterilized tubes were used to collect plasma, which was then evaluated for proinflammatory mediators, such as interleukin-6 (IL-6) and tumor necrosis factor (TNF)-α using enzyme-linked-immunosorbent serologic assay (ELISA) kits (MERCK- Darmstadt, Germany). Both ELISA kits were utilized according to the directions of the manufacturer. The data were expressed as pg/mL total proteins and the assays were conducted in triplicate. The liver function tests were assessed by analyzing serum levels of aspartate aminotransferase (AST) and alanine aminotransferase (ALT). A 50-µL plasma sample was combined with 400 µL of reagent and incubated at 37°C for 30 min using kinetic technique (Tubesha et al., 2018).

Statistical analysis

All data were analyzed statistically by One Way ANOVA. All experiments were accomplished in triplicate unless otherwise noted, and all data were provided as mean standard deviation. To compare significant variations in mean values at p ≤ 0.05, Duncan’s multiple range tests were employed.

Results and Discussion

After induction of colitis, different groups were fed with probiotic and synbiotic ice cream and their physiochemical effects were studied for 2 weeks.

Comparison of physical parameters

During the experiment, significant differences were found in body weight gain, DAI, and number of defecations by the animals of control group, negative control, and induced colitis groups when fed with synbiotic and probiotic ice cream having S. boulardii CNCM I-745. Dairy products, particularly ice cream, in addition to contributing substantial amounts of numerous nutrients, such phospholipids, proteins, and calcium that alter metabolic processes, contain both saturated and unsaturated fats that influence lipoprotein metabolism (Huth and Park, 2012; Shori et al., 2018). Probiotics, especially S. boulardii CNCM I-745, survived milk fermentation with initial increased viable counts from about 9.1 log CFU/g to about 9.9 log CFU/g as well as slightly decreased counts of about 9 log CFU/g after processing, and further reduced counts of 7.4 log CFU/g during storage for all the ice cream samples.

The mean initial weight of all animals was 75–80±1.92 g, and a statistically significant variation was observed in weight between groups A and D prior to the experiment (p > 0.05) as shown in Table 2. There was a weight loss in all groups (A1, B, C, and D) that were induced TNBS for colitis, except the positive control group, prior to the feeding of probiotic and synbiotic ice cream samples. Notable differences were observed among groups in terms of average weight, food consumption, water consumption, and stool output after disease induction on days 11, 17, and 24. Additionally, some significant variances were also detected within the groups.

Table 2. Mean weight (g) gain and loss in different treated groups compared with positive and negative control.

Group name Initial weight On day 9 before disease induction On day 11 after disease induction Day 17 Day 24
A 79.26±0.87b 86.26±0.25d 90.60±0.52c 97.33±0.41e 106.50±0.50e
A1 77.63±0.87a,b 83.70±0.26a,b 80.80±0.20a 94.50±0.5d 68.50±0.50a
B 75.93±0.8a 84.43±0.51c 81.20±0.52a 89.14±0.15a 97.30±0.26b
C 75.46±1a 83.65±0.30a,b 80.7±0.20a 90.41±0.6a,b 102.36±0.39d
D 78.50±1.4b 85.96±0.55d 82.56±0.47b 91.40±0.5b,c 100.49±0.41c

Different superscripted letters within a column represent statistical differences (p < 0.05).

Group C, which received continuous feeding of synbiotic ice cream containing 2% inulin after TNBS induced colitis, experienced a significant increase in weight from 80.7±.2 to 102.36±.39 g on day 24 of the experiment. In contrast, the negative control group showed continuous weight loss. Gradual weight gain was observed across the groups of rats who consumed synbiotic and probiotic ice cream in combination with yogurt culture and probiotic ice cream as shown in Table 2. Increase in body weight, amount of water in stools, and consistency of stools were used as markers to estimate the severity of colitis (Hu et al., 2020; Ma et al., 2023). According to Ma et al. (2023), Bifidobacterium animalis subsp. lactis XLTG11 considerably reduced diarrhea symptoms in AAD model rats (Animal models of Alzheimer’s Disease) and encouraged animal growth, which went along with our findings.

The DAI was assessed daily for each group following the induction of colitis. The mean DAI score for group A1 (negative control), 3.708±0.628, showed significant increase, compared to the control group A (0.327±0.153). The groups treated with probiotic, synbiotic, and probiotic with yoghurt culture ice cream showed a substantial reduction in their mean DAI scores, compared to the negative control group (B: 1.64±0.16, C: 1.52±0.51, and D: 1.58±0.34). A significant change in DAI observed in the ice cream-treated groups of this study was due to increase in body weight, as it was one of the factors that influenced DAI. Nevertheless, the ice cream containing 2% inulin and probiotic yeast demonstrated the most promising outcomes, while the ice cream with yoghurt culture and that containing S. boulardii CNCM I-745 alone as a probiotic followed respectively. No deaths were recorded during the experiment.

Proinflammatory markers

Colitis is typically characterized by inflammation. When the mucosal barrier is weakened, intestinal epithelial cells quickly release proinflammatory cytokines, leading to significant inflammation and tissue damage (Zhao et al., 2022). TNF-α causes inflammation in mucosal lining and triggers the NF-κB pathway. At the same time, NF-κB promotes the secretion of TNF-α, IL-1β, and IL-6 (Tak and Firestein, 2001). In the present study, the mean values of inflammatory markers, specifically TNF-α and IL-6, were estimated as illustrated in Figure 1. The TNBS-induced colitis negative control group rats (A1) had the greatest level of IL-6 (315.2±2.9 pg/mL) because of the presence of inflammation, as shown in Figure 1. IL-6 levels were found to decrease in groups B, C, and D (rats with TNBS-induced colitis that received probiotic, synbiotic, and probiotic with yoghurt culture ice creams, respectively), compared to the negative control group (A1).

Figure 1. Comparison of mean and standard deviation of proinflammatory markers (TNF-α and IL-6) in different treated groups. Groups A = control, A1 = TNBS-induced colitis, B = treated with probiotic ice cream (PI), C = treated with synbiotic ice cream (SI-2), and D = treated with probiotic yogurt culture (PI-LS) ice cream.

The level of TNF-α was found maximum in diseased rats, specifically group A1, with a concentration of 302.8±1.5 pg/mL, as shown in Figure 1. Further, it was observed that the concentration level of proinflammatory cytokine TNF-α was notably decreased in groups B, C, and D that had different ice cream formulations for 14 days, but all had S. boulardii CNCM I-745 in common. The current investigation revealed that all ice cream formulations having S. boulardii CNCM I-745 (yeast) were able to reverse the observed alterations in colitis (Figure 1). Specifically, ice cream formulations with this yeast strain showed a notable ability to reduce levels of TNF-α and enhance IL-10 concentrations.

Similar findings were reported when S. cerevisiae JKSP39 strain was used (Zeng et al., 2022). TNF-α has been documented as a strong inducer of IL-6 synthesis. Level of IL-6 increases in UC patients but decreases when inflammation is controlled. The findings of the current study aligned with the research conducted by Kanauchi et al. (2003), who investigated the effects of inulin as a prebiotic on markers of inflammation in rats with colitis caused by 4% dextran sodium sulfate.

Hepatoprotective parameters

Table 3 displays the serum AST levels in animal groups, including both positive and negative control groups. An inverse correlation was observed between the number of diseased rats (A1) and rats administered with probiotic and synbiotic ice cream samples. All markers during the treatments decreased, showing the recovery of animals in treatment groups and indicating a symbiotic effect, while markers in the negative control group were higher, suggesting chronic infection. A statistically significant difference (p ≤ 0.05) was observed between colitic rats and rats induced with colitis by feeding ice cream containing S. boulardii CNCM I-745 (B, C, and D groups). The negative control group (A1) exhibited the highest recorded value of AST, which was 172.26±.92 IU/L. In contrast, normal rats in the placebo group (A) displayed the lowest AST levels.

Table 3. Hepatoprotective parameters of different treated groups (mean±standard deviation).

S.No. Name of test A A1 B C D
1. ALT (IU/L) 95.30±1.1a 236.07±1e 176.73±0.66c,d 172.87±2.88b 175.45±2.93c
2. AST (IU/L) 66.73±0.66a 172.26±0.92e 126.84±0.94b 139.70±1.7c 148.05±1.90d
3. ALKP (IU/L) 118.26±1.1a 230.40±0.81e 192.53±1.9c 166.61±0.71b 204.33±1.68d
4. Urea (mg/dL) 29.88±0.47a 40.14±1.1b 44.41±1.24d 42.29±1.12c 40.80±1.94b
5. Creatinine (mg/dL) 1.20±0.26a 1.34±0.13b 1.46±0.05c 1.45±0.9c 1.44±0.22c

Different superscripted letters within a row represent statistical differences (p < 0.05).

The serum levels of ALT showed statistically significant differences (p ≤ 0.05) between different groups. The highest ALT value was discovered in the negative control group of colitic rats (A1), measuring 236.07±1 IU/L. Serum AST decreased in groups B (176.73±0.66 IU/L), C (172.87±0.88 IU/L), and D (175.45±0.93 IU/L), which had colitic rats treated with probiotic and synbiotic ice cream, and indicated that its supplementation improved liver health. Additionally, serum AST further decreased in group A, consisting of normal rats.

The negative control group (A1) exhibited the highest level of serum alkaline phosphatase (ALKP) at 230.40±.81 IU/L, which was dramatically decreased in colitic rats treated with probiotic and synbiotic ice cream, as indicated in Table 3.

Different groups exhibited decline in serum AST, with the maximum value observed in the negative control diseased group (A1 > D > C > B > A). It was expected that AST would increase after the serum concentration of enzyme changed due to the destruction of liver cells. Similar findings were observed by Rajendiran et al. (2018) in mice with DSS-induced colitis. Another study conducted by Saddiqa et al. (2022) indicated that the level of serum AST would decrease by adding prebiotics to yogurt. This finding aligned with our results of the groups of rats with colitis that consumed ice cream enhanced with S. boulardii CNCM I-745 and inulin (Zhu et al., 2019). The ALT level was higher in the TNBS-induced colitic group (A1), indicating the presence of illness. Furthermore, decline in ALT was noted in colitic rats ingesting various ice cream formulations (groups B, C, and D). This decline suggested that the inclusion of prebiotic and probiotic yeast in diet enhanced liver health. Similar findings were reported in previous research (Samson et al., 2012). A comparable pattern was noted in ALkP levels of the treatment group. The present study demonstrates that an elevated level of ALKP is indicative of liver illness or obstruction in the bile duct. Furthermore, the study revealed the hepatoprotective effects of probiotic and synbiotic ice cream samples. The study conducted by Mashal et al. (2022) saw comparable results in rats with UC when fed with yogurt enhanced with garlic extract.

Microscopic and gross histopathologic comparison

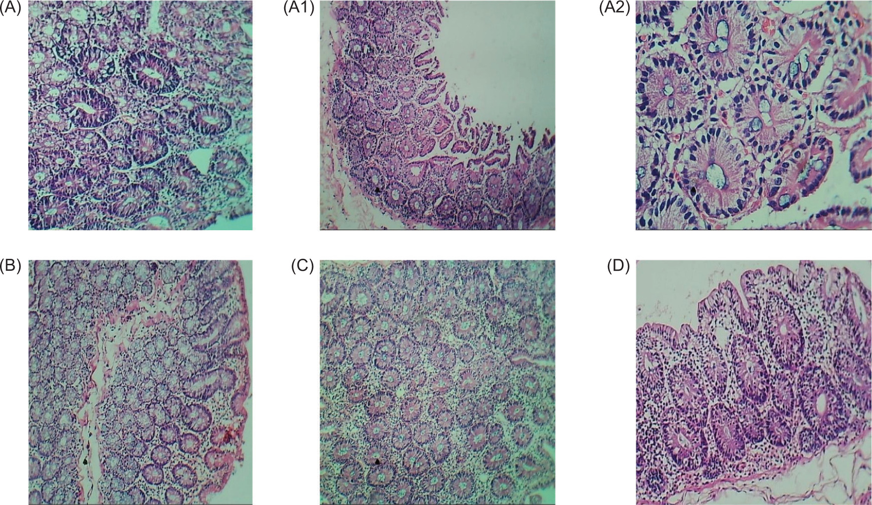
The histopathologic analysis of rats colons in all experimental groups revealed the following observations. The control group’s colon segment (Figure 2A) exhibited a histologic structure that was within normal parameters. This included presence of the mucosa (consisting of the Lamina epithelialis, Lamina muscularis mucosa, and lamina propria), submucosa, muscular coat (comprising inner circular and outer longitudinal muscle fibers), and serosa. In the ulcerative group (Figure 2), the colon segment displayed multiple areas of ulcerations in mucosal layers along with significant tissue destruction. Additionally, there was a severe inflammatory response with congestion observed in the blood vessels of mucosal and submucosal layers. The examination revealed extensive cell death and shedding of superficial and deep epithelial cells, accompanied by the infiltration of WBCs, namely lymphocytes and a small number of neutrophils. The colonic glands exhibited localized deformities and lack secretory activity.

Figure 2. Impact of probiotic and synbiotic ice cream on the histologic structure of the colon and mucosa of the intestine of the control (A), negative control (A1), and treated groups (B, C, and D) after TNBS-induced colitis. Histologic sections were stained with hematoxylin and eosin (H&E, magnification ×40).

The rats colon sections of the treatment groups (Figure 2) that received three distinct combinations of probiotic and synbiotic ice creams following illness induction (groups A, B, and C) showed normal histologic characteristics, including intact mucosal, submucosal, muscular, and serosal layers. Furthermore, all the tested groups exhibited a healed ulcerative lesion with the regeneration of mucosal epithelium. The regenerated epithelial cells displayed focal hyperplastic alterations characterized by hyperchromatic nuclei, indicating regenerative signals. The area surrounding the healed ulcer is extensively invaded by inflammatory cells, primarily lymphocytes and plasma cells, because of its close proximity to the mucosa. The submucosa is significantly infiltrated by aggregated and/or follicular hyperplastic lymphoid cells.

According to H&E staining, all treated groups in our study showed decreased crypt disappearance, inflammatory cell infiltration, and epithelial structural damage; IBD was indicated by decreased mucin and goblet cells (Shao et al., 2020), and these macroscopic indicators clearly showed that the three microbiota-added ice cream-treated groups, in particular, had alleviated the colitis.

Conclusion

Ulcerative colitis is a persistent inflammatory condition diagnosed globally. In this study, the potential of probiotic and synbiotic ice cream formulations containing S. boulardii CNCM I-745 to alleviate TNBS-induced colitis in a rat model was investigated. The ice cream formulations included probiotic S. boulardii CNCM I-745 and prebiotic inulin; both shown to have positive effects on the gut were further studied in vivo. The assessment focused on their impact on inflammatory and physical markers. For 2 weeks, probiotic and synbiotic ice cream were fed to each of the three treatment groups according to the weight of animals. Before this, TNBS was used to induce colitis. Following 2 weeks of ingestion of different formulations of functional ice cream, a noticeable decrease in the levels of inflammatory markers, including TNF-α and IL-6, was observed, proposing a reduction in inflammation. Additionally, eating probiotic and synbiotic ice cream increased animal weight. Serum measurements of AST, ALT, and ALKP parameters used to evaluate hepatoprotective effects also showed that the treated group recovered more quickly and returned to normal condition. Therefore, impact on palatability and effectiveness of the proposed probiotic and synbiotic ice cream created innovative dietary food for gastrointestinal disorders.

Ethical Approval

This study was conducted under the ARRIVE guidelines of the Scientific Research Ethics Committee of Beijing Technology and Business University (No. 4, 2023).

Availability of Data and Materials

All the data generated in this research work has been included in the manuscript.

Acknowledgement

This work was supported by National Natural Science Foundation of China (Project No. 32272296). The authors express their gratitude to Princess Nourah bint Abdulrahman University Researchers Supporting Project number (PNURSP2025R31), Princess Nourah bint Abdulrahman University, Riyadh, Saudi Arabia.

Author Contributions

Conceptualization, Zhennai Yang; methodology, Abid Sarwar; software, Muhammad Jalal Khan; validation, Ashwag Shami and Fakhria A. Al-Joufi; formal analysis, Najeeb Ullah; investigation, Naif ALSuhaymi; resources, Tariq Aziz; data curation, Bandar K. Baothman.; writing—original draft preparation, Abid Sarwar.; writing—review and editing, Majid Alhomrani and Nuha Anajirih; visualization, Hajar AlQadeeb; supervision, Zhennai Yang and Tariq Aziz.; project administration, Fahad Al-Asmari; funding acquisition, Zhennai Yang.

Conflict of Interest

The authors declared no conflict of interest.

REFERENCES

Aziz T, Hangyu H, Naveed M, Shabbir MA, Sarwar A, Nasbeeb J, Zhennai Y, Alharbi M. (2024). Genotypic Profiling, Functional Analysis, Cholesterol-Lowering Ability, and Angiotensin I-Converting Enzyme (ACE) Inhibitory Activity of Probiotic Lactiplantibacillus plantarum K25 via Different Approaches. Probiotics Antimicrob Proteins. 2024, 1-15. 10.1007/s12602-024-10258-8.

Bancroft, John D., and Gamble M. 2008. Theory and Practice of Histological Techniques, 6th edn. Churchill Livingstone Elsevier, Philadelphia, PA, 725 p.

Cencic, A., and Chingwaru, W. 2010. The role of functional foods, nutraceuticals, and food supplements in intestinal health. Nutrients. 2(6):611–625. 10.3390/nu2060611

Colombel J.F., and Mahadevan U. 2017. Inflammatory bowel disease: innovations and changing paradigms. Gastroenterology. 152:309–312. 10.1053/j.gastro.2016.12.004

Crobach, M.J., Dekkers, O.M., Wilcox, M.H., and Kuijper, E.J. 2016. European Society of Clinical Microbiology and Infectious Diseases (ESCMID): data review and recommendations for diagnosing Clostridium difficile-infection (CDI). Clin Microbiol Infect. 15(12):1053–1066. 10.1111/j.1469-0691.2009.03098.x

Crohn’s & Colitis Foundation of America. 2014, November. The facts about inflammatory bowel diseases. Updated December, 2023. https://www.crohnscolitisfoundation.org/sites/default/files/2019-02/Updated%20IBD%20Factbook.pdf. (Accessed on 10 March 2025).

Dong, L., Dong, F., Guo, P., Li, T., Fang, Y., Dong, Y, Zheng, Y. (2025). Gut microbiota as a new target for hyperuricemia: A perspective from natural plant products. Phytomedicine, 138, 156402. doi: 10.1016/j.phymed.2025.156402

Fan, J., Wang, L., Yang, T., Liu, J., Ge, W., Shen, J, Wang, L. (2024). Comparative analysis of gut microbiota in incident and prevalent peritoneal dialysis patients with peritoneal fibrosis, correlations with peritoneal equilibration test data in the peritoneal fibrosis cohort. Therapeutic Apheresis and Dialysis. 10.1111/1744-9987.14226

Hamamoto, N., Maemura, K., Hirata, I., Murano, M., Sasaki, S and Katsu, K. 1999. Inhibition of dextran sulphate sodium (DSS)-induced colitis in mice by intracolonically administered antibodies against adhesion molecules (endothelial leucocyte adhesion molecule-1 [ELAM-1] orintercellular adhesion molecule-1 [ICAM-1]). Clin Exp Immunol. 117(3):462–468. 10.1046/j.1365-2249.1999.00985.x

Hempel, S., Newberry, S.J., Maher, A.R., Wang, Z., Miles, J.N., Shanman, R., and Shekelle, P.G. 2012. Probiotics for the prevention and treatment of antibiotic-associated diarrhea: a systematic review and meta-analysis. JAMA. 307(18):1959–1969. 10.1001/jama.2012.3507

Hu, J.S., Huang, Y.Y., Kuang, J.H., Yu, J.J., Zhou, Q.Y., and Liu, D.M. 2020. Streptococcus thermophiles DMST-H2 promotes recovery in mice with antibiotic associated diarrhea. Microorganisms 8(11):1650. 10.3390/microorganisms8111650

Huth, P.J., and Park, K.M. 2012. Influence of dairy product and milk fat consumption on cardiovascular disease risk: a review of the evidence. Adv Nutr. 3(3):266–285. 10.3945/an.112.002030

Ikeda, M, Takeshima, F, Isomoto, H, Shikuwa, S., Mizuta, Y., Ozono, Y., and Kohno, S. 2008. Simvastatin attenuates trinitrobenzene sulfonic acid-induced colitis, but not oxazalone-induced colitis. Dig Dis Sci. 53(7):1869–1875. 10.1007/s10620-007-0102-0

Kanauchi, O., Serizawa, I., Araki, Y., Suzuki, A., Andoh, A., and Fujiyama, Y. 2003. Germinated barley foodstuff, a prebiotic product, ameliorates inflammation of colitis through modulation of the eneteric environment. J Gastroenterol. 38:134–141. 10.1007/s005350300022

Khalesi, M., Salami, M., Moslehishad, M., Winterburn, J., and Moosavi-Movahedi, A.A. 2017. Biomolecular content of camel milk: a traditional superfood towards future healthcare industry. Trends Food Sci Technol. 62:49–58. 10.1016/j.tifs.2017.02.004

Li, J., Chen, Y., Zhang, S., Zhao, Y., Gao, D., Xing, J, Xu, G. (2025). Purslane (Portulaca oleracea L.) polysaccharide attenuates carbon tetrachloride-induced acute liver injury by modulating the gut microbiota in mice. Genomics, 117(1), 110983. 10.1016/j.ygeno.2024.110983

Ma, W., Li, W., Yu, S., Bian, H., Wang, Y., Jin, Y., et al. 2023. Immunomodulatory effects of complex probiotics on the immuno-suppressed mice induced by cyclophosphamide. Front Microbiol. 14:1055197. 10.3389/fmicb.2023.1055197

McFarland, L.V. 2010. Systematic review and meta-analysis of Saccharomyces boulardii in adult patients. World J Gastroenterol. 16(18):2202–2222. 10.3748/wjg.v16.i18.2202

Moazzam, S., Hussain, M.M., and Babar, A. 2013. Details about the yogurt starter culture and cell densities used. Response of hypothalamic-pituitary-adrenal axis and immune system to chronic restraint stress in male Sprague Dawley rats. Pak J Physiol. 9:29–31. 10.69656/pjp.v9i1.325

Mohammadi, R., Mortazavian, A.M., Khosrokhavar, R. et al. 2011. Probiotic ice cream: viability of probiotic bacteria and sensory properties. Ann Microbiol. 61:411–424. 10.1007/s13213-010-0188-z

Öztürk, H.İ., Demirci, T., and Ak, N. 2018. Production of functional probiotic ice creams with white and dark blue fruits of Myrtus communis: the comparison of the prebiotic potentials on Lactobacillus casei 431 and functional characteristics. Food Sci Technol (LWT). 90(43):339–345. 10.1016/j.lwt.2017.12.049

Parhi, P., Liu, S.Q., and Choo, W.S. 2024. Synbiotics: effects of prebiotics on the growth and viability of probiotics in food matrices. Bioactive Carboh Diet Fibre. 32:100462. 10.1016/j.bcdf.2024.100462

Qin, Y.Q., Wang, L.Y., Yang, X.Y., Xu, Y.J., Fan, G., Fan, Y.G., Ren J.N, An Q., and Li X. 2023. Inulin: properties and health benefits. Food Funct. 14(7):2948–2968. 10.1039/d2fo01096h

Rajendiran, V., Natarajan, V., and Devaraj, S.N. 2018. Anti-inflammatory activity of Alpinia officinarum hance on acute rat colon inflammation and tissue damage in DSS induced acute and chronic colitis models. Food Sci Human Wellness, 7(4):273–281. 10.1016/j.fshw.2018.10.004

Rodriguez, E.T., Flores, H.E.M., Lopez, J.O.R., Vega, R.Z., Garciglia, R.S., and Sanchez, R.E. P. (2017). Survival rate of Saccharomyces boulardii adapted to a functional freeze-dried yogurt: Experimental study related to processing, storage and digestion by Wistar rats. Functional Foods in Health & Disease, 7:98–114. 10.31989/ffhd.v7i2.319

Saddiqa, M., Umbreen, H., Zahoor, T., Bhatty, N., and Aftab, K. 2022. Immunomodulatory effect of yogurt enriched with garlic extract on ulcerative colitis induced rats. J Food Nutr Res. 10(5):377–385. 10.12691/jfnr-10-5-6

Samson, E.S., Olasunkanmi, A.K., Joel, J.S., and Alfred, E.F. 2012. Haematological and hepatotoxic potential of onion (Alliun cepa L.) and garlic (Allium sativum L.) extracts in rats. Eur J Med Plants. 2(4):290–307. 10.9734/EJMP/2012/1517

Sarwar, A., Aziz, T., Al-Dalali, S., Zhang, J., ud Din, J., Chen, C., Cao, Y., Fatima H., and Yang, Z. 2021. Characterization of synbiotic ice cream made with probiotic yeast Saccharomyces boulardii CNCM I-745 in combination with inulin. Food Sci Technol (LWT). 141:110910. 10.1016/j.lwt.2021.110910

Shao, X., Sun, C., Tang, X., Zhang, X., Han, D., Liang, S., Qu, R., Hui, X., Shan, Y., Hu, L., et al. 2020. Anti-inflammatory and intestinal microbiota modulation properties of Jinxiang garlic (Allium sativum L.) polysaccharides toward dextran sodium sulfate-induced colitis. J Agric Food Chem. 68:12295–12309. 10.1021/acs.jafc.0c04773

Shori, A.B., Aboulfazli, F., and Baba, A.S. 2018. Viability of probiotics in dairy products: a review focusing on yogurt, ice cream, and cheese. In: Datta A., Fakruddin M., Nasir Iqbal H.M., Abraham J., (eds.), Avances in Biotechnology. Volume 1 Open Access eBooks; Las Vegas, NV, USA: 2018.

Tak, P.P., and Firestein, G.S. 2001. NF-κB: a key role in inflammatory diseases. J Clin Invest. 107(1):7–11. 10.1172/JCI11830

Tubesha, Z., Imam, M.U., Mahmud, R., and Ismail, M. 2013. Study on the potential toxicity of a thymoquinone-rich fraction nanoemulsion in Sprague Dawley rats. Molecules. 18(7):7460–7472. 10.3390/molecules18077460

Tung, J.M., Dolovich, L.R., and Lee, C.H. 2009. Prevention of Clostridium difficile infection with saccharomyces boulardii: a systematic review. Can J Gastroenterol. (12):817–821. 10.1155/2009/915847.

Umbreen, H., Arshad, M.U., Noreen, R., and Aftab, K. 2020. Ameliorative effects of apple and mango peels against hyperlipidemia and lipid peroxidation induced by hyperlipidemic diet. Sains Malaysiana. 49(6):1273–1282. 10.17576/jsm-2020-4906-05

Yang, N., Zhan, Y., Wan, J., Li, Y., Hu, X., and Liu, W. 2022. Effects of Lacidophilin tablets, yogurt, and bifid triple viable capsules on the gut microbiota of rats with antibiotic-associated diarrhea. Can J Infect Dis Med Microbiol. 2022:6521793. 10.1155/2022/6521793

Zeng, X., Li, X., Yue, Y., Wang, X., Chen, H., Gu, Y., Jia, H., He, Y., Yuan, Y., and Yue, T. 2022. Ameliorative effect of Saccharomyces cerevisiae JKSP39 on fusobacterium nucleatum and dextran sulfate sodium-induced colitis mouse model. J Agric Food Chem. 70(44):14179–14192. 10.1021/acs.jafc.2c05338

Zeng, A., Peng, M., Liu, H., Guo, Z., Xu, J., Wang, S., et al. 2019. Effects of debaryomyces hansenii treatment on intestinal mucosa microecology in mice with antibiotic-associated diarrhea. PLoS One, 14(11):e0224730. 10.1371/journal.pone.0224730

Zhao, N., Yang, Y., Chen, C., Jing, T., Hu, Y., Xu, H., Wang, S., He, Y., Liu, E., and Cui, J. 2022. Betaine supplementation alleviates dextran sulfate sodium-induced colitis via regulating the inflammatory response, enhancing the intestinal barrier, and altering gut microbiota. Food Funct. 13(24):12814–12826. 10.1039/d2fo02942a

Zhu, Z., Gu, Y., Zeng, C., Yang, M., Yu, H., Chen, H, Cai, H. (2022). Olanzapine-induced lipid disturbances: A potential mechanism through the gut microbiota-brain axis. Frontiers in pharmacology, 13, 897926. doi: 10.3389/fphar.2022.897926

Zhu, L., Gu, P., and Shen, H. (2019). Protective effects of berberine hydrochloride on DSS-induced ulcerative colitis in rats. Int Immunopharmacol. 68:242–251. 10.1016/j.intimp.2018.12.036