1Department of Food Hygiene and Control, Faculty of Veterinary Medicine, Benha University, Toukh 13736, Egypt;
2Department of Forensic Medicine and Toxicology, Faculty of Veterinary Medicine, Benha University, Toukh 13736, Egypt;
3Department of Food Technology, Faculty of Agriculture, Benha University, Toukh 13736, Egypt;
4Department of Food Technology, Faculty of Agriculture, Suez Canal University, Ismailia 41522, Egypt;
5Al-Basateen Slaughterhouse, Cairo Veterinary Authority, Cairo 4235330, Egypt;
6Department of Food Control, Animal Health Research Institute, Shebin El-Koom Branch, Agriculture Research Center of Egypt, Shebin El-Koom 13829, Egypt;
7Department of Clinical Sciences, College of Medicine, Princess Nourah bint Abdulrahman University, Riyadh 11671, Saudi Arabia;
8Department of Food Safety, Hygiene, and Technology, School of Veterinary Medicine, Badr University in Cairo (BUC), Badr City 32897, Egypt;
9Department of Sustainable Development and Environmental Engineering, Faculty of Agriculture, University of Life Sciences “King Mihai I” from Timisoara, CUI 3487181, Romania;
10Department of Biology and Plant Protection, Faculty of Agriculture, University of Life Sciences “King Michael I” from Timișoara, CUI 3487181, Romania;
11Department of Forensic Medicine and Toxicology, Faculty of Veterinary Medicine, Alexandria University, Alexandria 22785, Egypt;
12Department of Food Hygiene and Control, Faculty of Veterinary Medicine, Aswan University, Aswan 81528, Egypt;
13Department of Forensic Medicine and Toxicology, Faculty of Veterinary Medicine, Mansoura University, Mansoura, 35516, Egypt;
14Department of Biotechnology, College of Science, Taif University, Taif 21944, Saudi Arabia.
Detection of meat adulteration is a critical issue in food labeling procedures and a serious concern related to food fraud, authenticity, and religious beliefs. The current work detected and quantified adulteration of raw ground beef with pork, donkey, and dog meat based on fatty acid profiles using GC-MS/MS. The study design incorporated pork, donkey, or dog meat with beef meat; negative and positive controls were used for the different meat species. Results demonstrated several significant differences (p < 0.05) in fatty acid contents between mixed/adulterated meat and pure beef. In addition, higher total saturated fatty acid levels in ground beef (57.91%) compared to dog fat (46.44%), donkey (38.71%), and pork fat (lard) (40.23%). High total unsaturated fatty acids content was observed in donkey (61.92%), pork (59.77%), and dog (53.56%) fats compared to beef fat (42.09%). On the other hand, total unsaturated and monounsaturated fatty acids in beef meat were lower than in pork, donkey, and dog meat. Moreover, the highest trans-fatty acid content was found in pork compared to the other meat types. All incorporated samples correlated positively with pure ground beef concerning the fatty acid profiles. Therefore, alteration of the mixed beef fatty acid profiles was a potential indicator for adulteration since a marked decrease in total saturated fatty acid content and an increase in unsaturated fatty acids was observed in the substituted samples. We concluded that GC-MS/MS-based fatty acid profiling is a promising technique that can be used to detect meat adulteration.
Key words: authentication, beef meat, fatty acid profile, GC-MS/MS, potential indicator, PCR techniques
*Corresponding Authors: Ahmed Abdeen, Department of Forensic Medicine and Toxicology, Faculty of Veterinary Medicine, Benha University, Toukh 13736, Egypt. Email: [email protected]; Laura Șmuleac, Department of Sustainable Development and Environmental Engineering, Faculty of Agriculture, University of Life Sciences “King Mihai I” from Timisoara, Calea Aradului 119, CUI 3487181, Romania. Email: [email protected]
Received: 26 August 2023; Accepted: 3 February 2024; Published: 1 April 2024
© 2024 Codon Publications
This is an Open Access article distributed under the terms of the Creative Commons Attribution-NonCommercial-ShareAlike 4.0 International (CC BY-NC-SA 4.0). License (http://creativecommons.org/licenses/by-nc-sa/4.0/)
There is a growing demand among Egyptian consumers for reassurance of their food origin and content. Preventing fraudulent food adulteration practices is a critical and challenging issue confronting the Egyptian food industry (Yacoub and Sadek, 2017). Meat adulteration is a growing issue for meat producers because most adulteration is concealed and unpredictable (e.g., horse meat) (Fengou et al., 2021a). Thus, meat and meat products should be investigated for safety and authenticity. They can be appealing targets for adulteration in various ways, including substituting highly commercially valued meat with less expensive meats, such as pork or offal, and adding proteins from multiple sources (Fengou et al., 2021b). According to Islam and Judaism, religious concerns prohibit eating pork, and any adulteration of meat products will affect consumption and violate religious beliefs. Muslims also do not eat horse and donkey meat, even if the contamination is unintentional and incidental (Bonne and Verbeke, 2008).
Food fraud is a recurring threat that represents a major concern about food safety and quality for consumers. Food fraud hurts the global food industry, which estimates a cost of approximately 1%, or $10-15 billion annually; other estimations reach approximately $40 billion annually (FDA, 2021). Food fraud has received considerable attention recently, especially following the “Horsemeat Scandal” in Europe, and occurs despite strict legislation worldwide (Zhao et al., 2021). Many people doubt the purity and safety of the food they buy due to ongoing instances of food fraud. Consumers, governments, and the reputable food industry demand stricter controls on food quality, authenticity, traceability, and safety.
In 2021, the world meat production measured in carcass weight was 355.5 million tons, with beef, poultry, and pork as the predominant meat categories (FAO, 2022). Egypt’s beef production in 2023 will reach 390,000 MT, up slightly (1.3 percent) or 5,000 MT above the 2022 estimate of 385,000 MT. However, Egypt’s domestic beef consumption 660,000 in 2023 increased by less than one percent from the 2022 estimate, which was 655,000 or 5,000 MT. Accordingly, Egypt’s total beef imports in MY 2023 were 270,000 MT, unchanged from 2021 (USDA, 2023).
Meatballs, sausages, hamburgers, ready-to-eat meals, and frozen meals are ground meat products currently on the market. The high demand for meat products, combined with unfair trade practices, makes ground meat highly vulnerable to adulteration, which is also mitigated by the fact that any adulteration can be easily masked (Fengou et al., 2021a). Some changes in muscles’ intact and morphological properties occur when meat is ground, so substituting meat from less expensive meat species can be easily done (Leng et al., 2020). Unlabeled substitution of meat products occurs not only with less expensive meat but also with the fat of the banned species during production (Mortas et al., 2022). Detection of food adulteration aids in preventing risks caused by mixing beef with other animal species and determining the harmful effects of food adulteration on human health.
The food industry’s expansion and customer safety depend on developing quick and effective techniques to identify adulterated meat (Du et al., 2023). Most analytical methods developed for verifying meat species, labeling claims, and detecting adulteration primarily employ protein, metabolite, or nucleic acid-based assays (Özlü et al., 2023). Furthermore, if fat rather than meat is substituted, it becomes more difficult to identify fraud involving beef meat. As a result, precise detection techniques must be used to assess meat fraud based on meat and fat substitution (Abdelrahman et al., 2023). Techniques used to detect meat adulteration include enzyme-linked immunosorbent assay (ELISA) and molecular biology-based, spectroscopic, and chromatographic methods (Tian et al., 2013). Polymerase chain reaction (PCR) as a DNA-based method (Chung, 2017), restriction fragment length polymorphism analysis (RFLP) (Chen et al., 2010), and DNA barcode markers (Fernandes et al., 2021) also have been used to detect meat fraud. Sengupta et al. (2021) reviewed immunological approaches such as ELISA to assess meat products. The most popular approach for determining meat product adulteration is PCR, whereas a method for determining meat products based on their protein composition is proteomic. However, these methods are not without limitations. It is time-consuming, expensive reagents, and meticulous sample preparation. In addition, the existence of food matrices and processing procedures that result in a low amount of extractable DNA makes it difficult to analyze highly processed food products using protein-based methods (Sarah et al., 2016). Most of these approaches are protein or DNA-based methods rather than fat-based methods. Therefore, a sensitive, accurate, and reliable technique for meat and fat species identification is required to determine food adulteration accurately. Gas chromatography–mass spectrometry (GC/MS) was recently used to detect meat and fat fraud with more sensitivity and specificity (Pavlidis et al., 2019). GC is frequently used to assess a product’s purity or to identify the various ingredients in a mixture. In terms of fatty acid content, it can identify foods containing oil and fat. Fatty acid composition is also a particular sign for spotting adulteration (Mortas et al., 2022). For GC fatty acid analysis and the detection of pigs in processed meat products, the C20:2 marker was used (Sawaya et al., 1990). In a study by Sairin et al. (2019), lard adulteration was identified using GC-MS by categorizing fats from various animal sources. Heidari et al. (2020) used gas GC-MS to identify the adulteration of olive oil with other low-cost oils, such as lard. This method is based only on tracking changes in the oil profile’s fatty acid methyl esters (FAMEs) profile. The findings demonstrated that this technique can identify lard adulteration even when a small amount is present (5% w/w), with an error rate of less than 2% (Mortas et al., 2022).
Most of the previous research on meat adulteration was based primarily on identifying pork meat, and few studies focused on adulteration using donkey and dog meat. Therefore, this study aimed to (i) evaluate the fatty acid profiles of beef meat and adulterated meat containing meat from other animal species using GC-MS/MS, (ii) assess the correlation between fatty acid profiles of different species, and (iii) confirm the results of GC-MS/MS using multiplex PCR.
Fresh beef meat was purchased from a local market in Cairo, Egypt. Pork meat samples were supplied from Central Al-Basateen slaughterhouse, Cairo. Dog and donkey meat samples were obtained from the animal Zoo, Giza. The samples were carefully wrapped in sterile polyethylene bags and sent to the lab in an insulated box filled with ice. The meat was rinsed with cool, sterile, and deionized water after it arrived in the laboratory. The samples were kept hygienic at -18 ± 1 °C until used.
All meat samples (beef, pork, dog, and donkey) were ground separately using a Moulinex grinder (Model MC300, France). Beef meat composition consists of approximately 75% water, 19% protein, 2.5% fat, 1.2% carbohydrates, and 1.65% nitrogen compounds. It can be noticed that there is a substantial difference in the actual weight added (50%) for the adulterant between meat species used. For each batch, 2.5% fat of pork, donkey, or dog was added depending on the type of adulterant used. The ground pork, donkey, or dog meat was mixed with ground beef in a ratio of 1:1. Each meat was mixed separately with ground beef to avoid cross-contamination. Pure ground beef was used as a negative control (−C), while pure pork, donkey, and dog meat were positive controls (+C). Negative and positive controls and other meat mixtures were kept at −18 ± 1 °C until used. All experiments were carried out in triplicates.
Fatty acid methyl esters (FAMEs) of animal fats were carried out according to Ackman (2002). The fatty acid profiles were analyzed using GC-MS/MS (Agilent 8890-7010B, Agilent Technologies, USA) supplemented with an ionized flame detector. An FFAP equipped the chromatograph (2.5 m × 0.30 μm film thickness and 0.32 mm diameter) with a capillary column (HP88-Agilent Technologies, USA) covered by polyethylene glycol, was used. The column temperature was adjusted from 50 °C to 240 °C (7 °C/min) and kept at 240 °C for 30 min. The temperatures used for injection and detection were 250 and 260 °C, respectively. Gas flow rates were 30, 33, and 330 mL/min for H2, N2, and air, respectively. The column internal flow rate was 2 mL/min; all peaks from C8 to C22 were identified in a homologous series under the conditions used. Peaks were compared using standard chromatograms and relative retention times (RT) identified during the study. The peaks were measured using triangulation, and the relative proportions were used to determine the relationships between the partial areas to the total area. The percentages of all fat samples were transformed into a multivariate data set. Then, the data were standardized using Microsoft Excel software (2010). Principal component analysis (PCA) and K-mean cluster analysis were performed using Unscrambler software (X10).
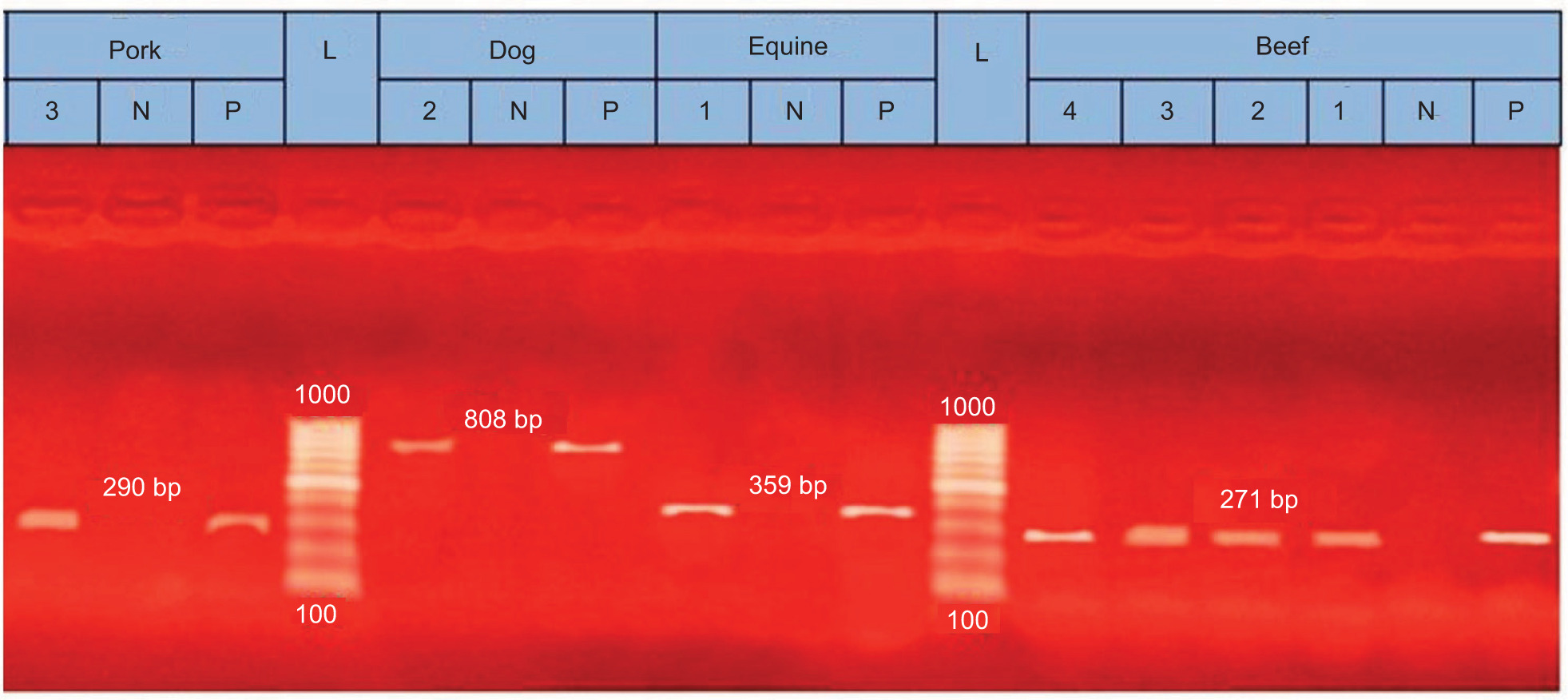
Experimentally adulterated ground beef samples and controls were evaluated by PCR using the selective primer for each species, as depicted in Table 1. Extraction and PCR cycles were applied according to the previous reports (Table 1), and the instructions provided by the EmeraldAmp® GT PCR Master Mix (Takara Bio Inc.) kit were followed. Subsequently, the PCR products were processed via electrophoresis (Cleaver Scientific Ltd, Rugby, Warwickshire, UK) on an agarose gel, as described by Sambrook et al. (1989).
Table 1. Primer sequences for different examined species were used in PCR analysis.
| Gene | Primer sequence 5’-3’ | Amplified product | Reference |
|---|---|---|---|
| Porcine 12S Rrna-tRNA Val | CTACATAAGAATATCACCCAC | 290 bp | (27) |
| ACATTGTGGGATCTTCTAGGT | |||
| Donkey (Equine) mtDNA | CCC TCA AAC ATT TCA TCA TGA TGA AA | 359 bp | (28) |
| GCT CCT CAA AAG GAT ATT TGG CCT CA | |||
| Dog cytB | GGAGTATGCTTGATTCTACAG | 808 bp | (29) |
| AGAAGTGGAATGAATGCC | |||
| Beef cytochrome-b | GCCATATACTCTCCTTGGTGACA | 271 bp | (30) |
| GTAGGCTTGGGAATAGTACGA |
All measurements were carried out in triplicate, and the results are expressed as mean ± SD. The data were analyzed by ANOVA with the Duncan test using SPSS software (version 16.0 for Windows, SPSS Inc., Chicago), with a significance level of P < 0.05. To determine the extent of correlation between different meat species depending on the fatty acid content, the correlation coefficient (R) was calculated using a significance level of P < 0.05. The analyses were completed using Graph Pad Prism version 8 for Windows (San Diego, CA, USA). https://www.graphpad.com/scientific-software/prism/
Meat product adulteration is widely reported worldwide and is a significant focus of the food economy, safety, and quality (Wang et al., 2020). It affects consumers with different religious beliefs, including Muslims. The global market has produced increasingly sophisticated, diverse halal products and contested halal regulations. Developing a precise technique to detect meat adulteration with non-halal species is an emerging need. In this study, GC-MS/MS was used to screen the fatty acid profiles of different species (beef, donkey, dog, and pork).
Table 2 shows a comparative screening of the fatty acid profile of pure beef, donkey, and experimentally adulterated beef with 50% donkey meat. Mixing donkey meat with beef significantly increased (P < 0.05) oleic acid, trans-vaccenic acid, linoleic acid, and linolenic acid content. Donkey fat exhibited significantly higher levels of oleic acid (C18:1 n-9) (42.61%), trans-vaccenic acid (C18:1 n-11t) (2.55%), linoleic acid (C18:2 n-6) (8.39%), and linolenic acid (C18:3 n-3) (5.22%) compared to beef fatty acids (35.43%, 0.9%, 1.01%, and 0.05%, respectively) and mixed donkey meat with beef (38.75%, 1.94, 3.87%, 2.29%, respectively). Beef fat showed higher levels of stearic acid (C18:0) (27.53%) and pentadecanoic acid (C15:0) (0.7%) compared to donkey fat and donkey meat mixed with beef (8.77%, 0.31%) and (23.33%, 0.49%) for stearic and pentadecanoic acid, respectively. Moreover, fatty acids such as nonadecanoic acid (C19:0), elaidic acid (C18:1 n-9t), cis-vaccenic acid (C18:1 c6), 10-octadecenoic acid (C19:1 n-9) and linoelaidic acid (C18:2 n-6t) were not detected in donkey fat.
Table 2. GC-MS/MS fatty acid profiles for beef, donkey, and beef were experimentally adulterated with donkey meat.
| Fatty acid types | Fatty acid relative (%) | CF | EF | CEF |
|---|---|---|---|---|
| Saturated fatty acids | Lauric acid (C12:0) | 0.15±0.01b | 0.26±0.01a | 0.17±0.01b |
| Myristic acid (C14:0) | 5.90±0.10a | 4.70±0.10b | 4.49±0.10b | |
| Pentadecanoic acid (C15:0) | 0.70±0.10a | 0.31±0.01c | 0.49±0.01b | |
| Palmitic acid (C16:0) | 21.87±1.1b | 24.22±1.0a | 20.45±1.2b | |
| Margaric acid (C17:0) | 1.57±0.08a | 0.37±0.01c | 1.06±0.01b | |
| Stearic acid (C18:0) | 27.53±1.1a | 8.77±0.01c | 23.33±0.8b | |
| Nonadecanoic acid (C19:0) | 0.09±0.01a | 0.00±0.00c | 0.06±0.01b | |
| Arachidic acid (C20:0) | 0.10±0.01b | 0.08±0.01c | 0.13±0.01a | |
| Monounsaturated fatty acids | Myristoleic acid (C14:1) | 0.70±0.10a | 0.50±0.11b | 0.49±0.01b |
| Palmitoleic acid (C16:1) | 0.25±0.01c | 0.84±0.01a | 0.44±0.01b | |
| 10-Heptadecenoic acid (C17:1) | 0.38±0.01c | 0.50±0.01a | 0.44±0.01b | |
| Elaidic acid (C18:1 n-9t) | 2.79±0.07a | 0.00±0.00c | 1.22±0.02b | |
| Cis-Vaccenic acid (C18:1 n-7) | 0.29±0.01a | 0.00±0.00c | 0.07±0.01b | |
| Oleic acid (C18:1 n-9) | 35.43±0.7c | 42.61±1.1a | 38.75±1.2b | |
| Trans-Vaccenic acid (C18:1 n-11t) | 0.90±0.10c | 2.55±0.03a | 1.94±0.01b | |
| 10-Nonadecenoic acid (C19:1 n-9) | 0.04±0.01a | 0.00±0.00b | 0.00±0.00b | |
| 11-Eicosenoic acid (C20: 1) | 0.08±0.01c | 0.52±0.01a | 0.24±0.01b | |
| Polyunsaturated fatty acids | Linoleic acid (C18:2 n-6) | 1.01±0.01c | 8.39±0.20a | 3.87±0.05b |
| Linoelaidic acid (C18:2 n-6t) | 0.00±0.00 | 0.00±0.00 | 0.00±0.00 | |
| Linolenic acid (C18:3 n-3) | 0.05±0.01c | 5.22±0.24a | 2.29±0.06b | |
| 7,10-Octadecadienoic acid (C18:3) | 0.1±0.01a | 0.06±0.01b | 0.05±0.01b | |
| 8,11-Eicosadienoic acid (C20:3) | 0.06±0.02b | 0.11±0.01a | 0.05±0.01b | |
| Omega 3 | 0.05 | 5.22 | 2.29 | |
| Omega 6 | 1.01 | 8.39 | 3.87 | |
| Total saturated fatty acids | 57.91 | 38.71 | 50.18 | |
| Total monounsaturated fatty acids | 40.87 | 47.51 | 43.56 | |
| Total polyunsaturated fatty acids | 1.22 | 13.78 | 6.26 | |
| Total unsaturated fatty acids | 42.09 | 61.29 | 49.82 | |
| Trans fatty acids | 3.69 | 2.55 | 3.16 | |
Results represent the average of three determinations ± SD; values in the same row with different letters are significantly different (P < 0.05). CF: ground beef (cattle), EF: donkey meat (equine), and CEF: beef experimentally adulterated with 50% donkey meat.
A higher level of total saturated fatty acids (SFA) was detected in ground beef (57.91%), while donkey fat showed higher total unsaturated fatty acids (USFA) at 61.29%. Total SFA in ground beef was higher than those reported by (Correa et al., 2022), where the total SFA of beef meat was 47.04 while USFA was 52.96. Another study found that total SFA and USFA were 47.3% and 49.5%, respectively (Torres et al., 2021). The variations in fatty acid profiles might be due to the genetic group, feeding period, or animal age. The fatty acid profiles are also influenced by dietary intake (Santos-Silva et al., 2019), diet lipid supplementation (amount of lipid in the diet), lipid forms, basal diet composition, and feeding duration. Concerning donkey fat, Polidori et al. (2022) reported that fatty acids in the meat of donkeys slaughtered at eight months of age contained 40.15% SFA and 59.65% USFA. Despite higher SFA concentrations, ruminant meat, such as beef, is considered a good source of many nutrients with multiple health benefits (Vahmani et al., 2020). However, beef that has undergone adulteration using meat from different species is undesirable for consumers and violates various religious rules and consumer acceptability. Fuseini et al. (2017) confirmed the adulteration of haram meat (such as pork) in UK-certified halal products. Many researchers have reported false claims on packaging referencing halal meat processed by uncertified sites. Donkey meat is one of the species used in adulterating beef. An EU-wide investigation prompted by the scandal found that 193 of 4,147 products marketed as beef contained undeclared horse meat in samples from 22 countries (EC, 2018). From May 2018 to September 2019 in Colombia, it was discovered that horse and donkey meat were sold for school meals as beef on a large scale. Moreover, Di Giuseppe et al. (2015) detected horse meat in beef burgers in the EU. So, GC-MS/MS-based fatty acid profiling is a promising technique that can be used to detect meat adulteration.
A correlation between beef and donkey fatty acid profiles with (R2) values of 0.8648 is seen in Figure 1, resulting from differences in fatty acids in both species. The correlation increased when fatty acid profiles from pure beef were compared to beef adulterated with donkey meat (R2 = 0.9852). These findings agree with those reported by Li et al. (2021).
Figure 1. Correlation analysis of fatty acids profile of beef, donkey meat, and beef experimentally adulterated with donkey.
The clustered heatmap of fatty acid profiles for beef, donkey, and a mixture of them is illustrated in Figure 2. Small box plots indicate the individual distribution of fatty acids in the clusters. The clustering heatmap revealed an understandable visual representation of all the data sets. It highlighted the variations in concentration levels of all measured fatty acid profiles in each species where SFA and monounsaturated fatty acids were observed in the samples.
Figure 2. Clustered heat map based on fatty acids of pure beef, donkey meat, and beef experimentally adulterated with donkey meat. The concentration values are represented by each colored cell on the map, with varied averages in the rows and various treatment sets in the columns. On the gradation scale, dark red is the highest value, and blue is the lowest.
Another type of meat adulteration utilizes dog meat. Results in Table 3 show the GC-MS/MS results for dog meat and beef experimentally adulterated at 50% with dog meat. Significant differences in fatty acid contents (P < 0.05) were noticed between the investigated samples. Mixing dog meat with beef exhibited a higher level of oleic acid (C18:1 n-9) (44.67%) than beef (35.43%), which was reflected in the level of total USFA and consequently, higher total USFA (49.15%) for dog meat mixed with beef meat compared to beef (42.09%). On the other hand, mixing dog meat with beef exhibited lower levels of myristic (C14:0), myristoleic (C14:1), and 10-heptadecanoic (C17:1) acids compared to beef. Elaidic acid (C18:1 n-9t) was not detected in dog fat. GC-MS was utilized by Guntarti (2018) to verify dog fat. According to the study’s findings, dog fat contains nine different types of fatty acids: oleate (44.33 ± 5.22%), stearic (14.71 ± 0.32%), arachidonic (1.29 ± 0.11%), palmitoleate (4.60 ± 0.07%), palmitate (12.80 ± 2.90%), margarate (0.13 ± 0.09%), and myristate (4.33 ± 0.30%). Dogs had a 50.22% overall fatty acid content and a 33.03% saturated fatty acid content. These results are somewhat similar to our findings.
Table 3. GC-MS/MS fatty acid profiles for beef, dog meat, and beef were experimentally adulterated with dog meat.
| Fatty acid types | Fatty acid relative (%) | CF | DF | CDF |
|---|---|---|---|---|
| Saturated fatty acids | Lauric acid (C12:0) | 0.15±0.01b | 0.10±0.01c | 0.36±0.01a |
| Myristic acid (C14:0) | 5.90±0.01a | 3.78±0.01b | 2.72±0.07c | |
| Pentadecanoic acid (C15:0) | 0.70±0.10a | 0.83±0.01a | 0.19±0.01b | |
| Palmitic acid (C16:0) | 21.87±1.1a | 17.34±0.3b | 20.64±0.2a | |
| Margaric acid (C17:0) | 1.57±0.08b | 2.06±0.08a | 0.44±0.01c | |
| Stearic acid (C18:0) | 27.53±1.1a | 26.43±1.0a | 15.79±0.4b | |
| Nonadecanoic acid (C19:0) | 0.09±0.01b | 0.14±0.01a | 0.00±0.00c | |
| Arachidic acid (C20:0) | 0.10±0.01a | 0.17±0.01b | 0.09±0.01a | |
| Monounsaturated fatty acids | Myristoleic acid (C14:1) | 0.70±0.10a | 0.34±0.01b | 0.04±0.01c |
| Palmitoleic acid (C16:1) | 0.25±0.10c | 0.37±0.10b | 0.73±0.05a | |
| 10-Heptadecenoic acid (C17:1) | 0.38±0.01b | 0.84±0.10a | 0.19±0.01c | |
| Elaidic acid (C18:1 n-9t) | 2.79±0.07a | 0.00±0.00c | 0.39±0.04b | |
| Cis-Vaccenic acid (C18:1 n-7) | 0.29±0.01b | 3.18±0.07a | 0.00±0.00c | |
| Oleic acid (C18:1 n-9) | 35.43±0.7c | 40.88±1.1b | 44.67±0.5a | |
| Trans-Vaccenic acid (C18:1 n-11t) | 0.90±0.10c | 1.81±0.09b | 3.61±0.51a | |
| 10-Nonadecenoic acid (C19:1 n-9) | 0.04±0.01b | 0.11±0.01a | 0.00±0.00c | |
| 11-Eicosenoic acid (C20:1) | 0.08±0.01c | 0.18±0.01b | 0.66±0.03a | |
| Polyunsaturated fatty acids | Linoleic acid (C18:2 n-6) | 1.01±0.01c | 1.33±0.05b | 9.15±0.80a |
| Linoelaidic acid (C18:2 n-6t) | 0.00±0.00 | 0.00±0.00 | 0.00±0.00 | |
| Linolenic acid (C18:3 n-3) | 0.05±0.01a | 0.07±0.01a | 0.06±0.02a | |
| 7,10-Octadecadienoic acid (C18:3) | 0.1±0.01a | 0.05±0.01b | 0.12±0.01a | |
| 8,11-Eicosadienoic acid (C20:3) | 0.06±0.01b | 0.01±0.01c | 0.15±0.03a | |
| Omega 3 | 0.05 | 0.07 | 0.06 | |
| Omega 6 | 1.01 | 1.42 | 1.33 | |
| Total saturated fatty acids | 57.91 | 46.44 | 50.85 | |
| Total monounsaturated fatty acids | 40.87 | 51.94 | 47.69 | |
| Total polyunsaturated fatty acids | 1.22 | 1.62 | 1.46 | |
| Total unsaturated fatty acids | 42.09 | 53.56 | 49.15 | |
| Trans fatty acids | 3.69 | 0.02 | 1.81 | |
Results represent the average of three determinations ± SD; values in the same row with different letters are significantly different (P < 0.05). CF: ground beef (cattle), DF: dog meat, and CDF: experimentally adulterated beef with 50% dog meat.
A close relationship was found between fatty acids in beef (R2 = 0.9655). Mixed beef and dog meat (R2 = 0.9681), confirmed by correlation analysis, as seen in Figure 3. The low price of dog meat is considered a significant economic reason it is one of the adulterants used in the meat industry. Many countries consume dog meat, including South Korea, Vietnam, and China (Bartlett and Clifton, 2003). However, different religions, including Islam, prohibit mixing dog meat with other meat products.
Figure 3. Correlation analysis of fatty acids profile of beef, dog meat, and beef experimentally adulterated with dog.
The clustered heatmap used to evaluate the differences in fatty acids profile in the different samples in this study is illustrated in Figure 4. Oleic, stearic, and palmitic acids represent the most significant clusters of total fatty acids examined in the samples.
Figure 4. Clustered heat map based on fatty acids of pure beef, dog meat, and beef experimentally adulterated with dog meat. The concentration values are represented by each colored cell on the map, with varied averages in the rows and various treatment sets in the columns. On the gradation scale, dark red is the highest value, and blue is the lowest.
Pork fat (lard) is the most common adulterant added to meat products with economic and religious restrictions as it is the cheapest fat available in the food industry to be easily incorporated (Sim et al., 2018). Results in Table 4 reveal the fatty acid profile of pork (lard) compared with beef and beef experimentally adulterated with lard. Nonadecanoic acid (C19:0), an SFA, cis-vaccenic acid (C18:1 c6), and 10-octadecenoic acid (C19:1), which are unsaturated fatty acids (USFA), were not detected in pork. However, oleic acid (C18:1 n-9) (41.06%), trans-vaccenic acid (C18:1 n-11t) (2.11%), 11-Eicosenoic acid (C20:1) (0.29%) and linoleic acid (C18:2 n-6) (3.87%) were detected in pork meat mixed with beef at higher levels than in beef (35.43%, 0.9%, 0.08% and 1.01%, respectively). On the other hand, mixing pork meat with beef exhibited lower levels of myristic (C14:0) (3.6%), margaric (C17:0) (0.84%), and stearic (C18:0) (24.28%) acids compared to beef (CF) (5.9%, 1.57% and 27.53% for myristic, margaric and stearic acid, respectively). These results are reflected in the higher total USFA in pork meat mixed with beef (49.07%) compared with beef (42.09%), and the total SFA was low in pork. Pork is considered one of the most common adulterants in the meat Industry. Sairin et al. (2019) identified lard adulteration using GC-MS by categorizing fats from various animal sources. A study by Zhao et al. (2021) detected adulteration of 27.8% of 79 beef products with pork or chicken to various degrees. Another study by Wang et al. (2019) reported adulteration of buffalo meat products in China at 35.3% with pork, beef, or duck. However, the presence of lard or pork derivatives is prohibited for Muslims and Jews (Witjaksono et al., 2017). The fatty acid profile for lard has only subtle differences compared to other animal fats, creating an obstacle to its detection in other meat products (Harun et al., 2019). Lard is primarily composed of triglycerides distributed between saturated and unsaturated fatty acids. Chromatographic-based methods are widely used to detect food adulteration due to their ability to detect even minute amounts of adulterants in meat. Concerning pork fat, Ma and Sun (2020) found that SFA in pork was 32 g/100 g and USFA was 65 g/100 g. However, fatty acid profiles differ from one researcher to another. This might be due to the reagents used, sample preparation, and the combined effects that significantly affect the detected quantities of SFA, monounsaturated fatty acids (MUFA), and polyunsaturated fatty acids (PUFA) in different meat samples.
Table 4. GC-MS/MS fatty acid profiles for beef, pork (lard), and beef experimentally adulterated with pork.
| Fatty acid types | Fatty acid relative (%) | CF | PF | CPF |
|---|---|---|---|---|
| Saturated fatty acids | Lauric acid (C12:0) | 0.15±0.01c | 0.36±0.02a | 0.21±0.01b |
| Myristic acid (C14:0) | 5.90±0.10a | 2.72±0.10c | 3.60±0.10b | |
| Pentadecanoic acid (C15:0) | 0.70±0.10a | 0.19±0.02c | 0.33±0.02b | |
| Palmitic acid (C16:0) | 21.87±1.1a | 20.64±0.46a | 21.54±2.1a | |
| Margaric acid (C17:0) | 1.57±0.08a | 0.44±0.05c | 0.84±0.03b | |
| Stearic acid (C18:0) | 27.53±1.2a | 15.79±0.61c | 24.28±1.11b | |
| Nonadecanoic acid (C19:0) | 0.09±0.01a | 0.00±0.00c | 0.05±0.31b | |
| Arachidic acid (C20:0) | 0.10±0.01a | 0.09±0.01a | 0.09±0.02a | |
| Monounsaturated fatty acids | Myristoleic acid (C14:1) | 0.70±0.10a | 0.04±0.01c | 0.19±0.01b |
| Palmitoleic acid (C16:1) | 0.25±0.01c | 0.73±0.05a | 0.33±0.02b | |
| 10-Heptadecenoic acid (C17:1) | 0.38±0.01a | 0.19±0.05b | 0.22±0.01b | |
| Elaidic acid (C18:1 n-9t) | 2.79±0.07a | 0.39±0.03b | 0.10±0.02c | |
| Cis-Vaccenic acid (C18:1 n-7) | 0.29±0.01b | 0.00±0.00c | 0.78±0.05a | |
| Oleic acid (C18:1 n-9) | 35.43±0.7c | 44.67±1.4a | 41.06±0.9b | |
| Trans-Vaccenic acid (C18:1 n-11t) | 0.90±0.10c | 3.61±0.11a | 2.11±0.02b | |
| 10-Nonadecenoic acid (C19:1 n-9) | 0.04±0.01a | 0.00±0.00b | 0.00±0.00b | |
| 11-Eicosenoic acid (C20:1) | 0.08±0.01c | 0.66±0.04a | 0.29±0.01b | |
| Polyunsaturated fatty acids | Linoleic acid (C18:2 n-6) | 1.01±0.01c | 9.15±0.15a | 3.87±0.04b |
| Linoelaidic acid (C18:2 n-6t) | 0.00±0.00 | 0.00±0.00 | 0.00±0.00 | |
| Linolenic acid (C18:3 n-3) | 0.05±0.01a | 0.06±0.02a | 0.02±0.00b | |
| 7,10-Octadecadienoic acid (C18:3) | 0.10±0.01a | 0.12±0.01a | 0.05±0.00b | |
| 8,11-Eicosadienoic acid (C20: 3) | 0.06±0.01b | 0.15±0.02a | 0.05±0.00b | |
| Omega 3 | 0.05 | 0.06 | 0.02 | |
| Omega 6 | 1.01 | 19.15 | 3.87 | |
| Total saturated fatty acids | 57.91 | 40.23 | 50.94 | |
| Total monounsaturated fatty acids | 40.87 | 50.29 | 45.08 | |
| Total polyunsaturated fatty acids | 1.22 | 9.48 | 3.99 | |
| Total unsaturated fatty acids | 42.09 | 59.77 | 49.07 | |
| Trans fatty acids | 3.69 | 4 | 2.11 | |
Results represent the average of three determinations ± SD; values in the same row with different letters are significantly different (P < 0.05). CF: ground beef (cattle), PF: pork, and CPF: beef experimentally adulterated with 50% pork.
In examining the correlation between beef and pork, beef and experimentally adulterated beef were positive with R2 =0.8683 and R2 = 0.9847, respectively (Figure 5). Gas chromatography has been used previously to quantify fatty acids in meat products accurately. Moreover, rapid LC-MS/MS was previously used by Zhang et al. (2022) to detect adulteration of meat and screen peptides associated with seven species (pig, cattle, sheep, deer, chicken, duck, and turkey), and three samples out of 20 processed meat products were adulterated. These observations agree with those reported by Li et al. (2021). The positive correlation in this study between beef and other species (pork, dog, and donkey meat) or between beef and that adulterated with other species confirmed the ability of GC-MS/MS to detect meat product adulteration even when the meat is only adulterated with fat or after protein denaturation that occurs with processing.
Figure 5. Correlation analysis of fatty acids profile of beef, pork fat, and beef experimentally adulterated with pork fat.
The clustered heatmap used to evaluate the differences in fatty acid profiles in beef, pork, and the mixture of beef and pork is illustrated in Figure 6. SFAs (stearic, palmitic, and myristic acids) and MUFA (oleic acid) represent the most significant clusters of the total fatty acids observed in the examined samples.
Figure 6. Clustered heat map based on fatty acids of pure beef, pork, and beef experimentally adulterated with pork. The concentration values are represented by each colored cell on the map, with varied averages in the rows and various treatment sets in the columns. On the gradation scale, dark red is the highest value, and blue is the lowest.
The results obtained with GC-MS/MS were confirmed by evaluating the samples using PCR. PCR is an accurate, specific, DNA-based technique. PCR techniques have an advantage in different species that can be detected and evaluated in one run (Denyingyhot et al., 2022; Özlü et al., 2023). Figure 7 shows the PCR results confirming the results from the different pure meat species and beef adulterated with 50% of each of the different meats (donkey, dog, and pork). PCR analyses were carried out using separate reactions to confirm the specific detection for each species. Mixtures (50%) of beef with donkey meat (lane 1), beef with dog meat (lane 2), and beef with pork (lane 3) gave positive results that were specific for donkey, dog, and pig genes, respectively. These samples also all gave positive results for beef (beef cytochrome-b primer). Based on the observed results, it is critical to develop primers that can be used for precise detection for each animal species. This will allow investigators to employ these components in a matrix-based technique to detect any adulteration that may take place during food processing. Özlü et al. (2023) used a real-time PCR technique as a sensitive and specific method to detect the various meat species in meat products that were sold in the eastern Turkish provinces. These meat products were promoted as 100% beef. The real-time PCR technique investigated six animal species’ DNA (chicken, turkey, pork, horse, donkey, and camel). Out of the 100 samples of Turkish fermented sausage (sucuk), salami, and sausage, the analysis found no evidence of horse, donkey, camel, or pig meat.
Figure 7. Agarose gel electrophoresis of multiplex PCR products for confirmation of pure beef and those adulterated with different species such as donkey, dog, and pork meat. Lane L: 100 bp DNA ladder as molecular size DNA markers, Lane P: positive control for each species, Lane N: negative control for each species, Lane 1: a mixture of beef with equine (donkey), Lane 2: a mixture of beef with dog, Lane 3: mixture of beef with pork (pig), and Lane 4: un-adulterated pure minced beef.
The present study detected un-halal meat contaminants in raw ground beef by screening fatty acid profiles using GC-MS/MS. The experiment was designed using pork, donkey, and dog meat combined with beef at 50% substitution levels. Results showed that ground beef was higher in total SFA than other species. Species-specific fatty acids were identified as fatty acid markers for each meat type. Mixing donkey meat with beef significantly increased oleic acid, trans-vaccenic acid, linoleic acid, and linolenic acid content. Similarly, mixing dog meat with beef exhibited higher levels of oleic acid than beef, reflected in the total unsaturated fatty acids and, consequently, higher total USFA than beef. On the other hand, mixing dog meat with beef exhibited lower levels of myristic, myristoleic, and 10-heptadecanoic acids than beef. For pig, oleic acid, trans-vaccenic acid, 11-Eicosenoic acid, and linoleic acid were detected in dog meat with beef at higher levels than in beef. On the other hand, mixing pork meat with beef exhibited lower levels of myristic, margaric, and stearic acids than beef. GC-MS/MS technique provided an accurate fatty acid profile for different meat species that aided in fat/meat adulteration detection. In conclusion, GC-MS/MS is a promising tool and has a favorable performance in detecting meat adulteration, which can be used for halal authentication.
There is no conflict of interest to declare.
This research was funded by Taif University, Saudi Arabia, Project No. (TU-DSPP-2024-53).
The authors extend their appreciation to Taif University, Saudi Arabia, for supporting this work through project number (TU-DSPP-2024-53). The appreciation is also extended to the Project 6PFE of the University of Life Sciences “King Mihai I” from Timisoara and Research Institute for Biosecurity and Bioengineering from Timisoara, Romania.
Abdelrahman, E. S. A., Morsy, M. K., Ibrahim, S. S., et al. (2023). Detection of mutton meat fraud with beef meat as a genetically related species using multiplex PCR and GC/MS/MS. Iraqi Journal of Veterinary Sciences, 37(3):643–650. 10.33899/ijvs.2023.136444.2583
Ackman, R. G. (2002). The gas chromatograph in practical analyses of common and uncommon fatty acids for the 21st century. Analytica Chimica Acta, 465(1–2):175–192. 10.1016/S0003-2670(02)00098-3
Bartlett, K. and Clifton, M. (2003). How many dogs and cats are eaten in Asia? Animal People, 12(7):18–19.
Bonne, K. and Verbeke, W. (2008). Muslim consumer trust in halal meat status and control in Belgium. Meat Science, 79(1):113–123. 10.1016/j.meatsci.2007.08.007
Chen, S. Y., Liu, Y. P., Yao, Y. G., et al. (2010). Species authentication of commercial beef jerky based on PCR-RFLP analysis of the mitochondrial 12S rRNA gene. Journal of Genetics and Genomics, 37(11):763–769. 10.1016/S1673-8527(09)60093-X
Chung, H. H. (2018). Real-time polymerase chain reaction (RT-PCR) for the authentication of raw meats. International Food Research Journal, 25(2):632–638.
Correa, L. B., Netto, A. S., da Silva J. S., et al. (2022). Changes on meat fatty acid profile, cholesterol and hepatic metabolism associated with antioxidants and canola oil supplementation for Nellore cattle. Livestock Science, 257:104850. 10.1016/j.livsci.2022.104850
Denyingyhot, A., Srinulgray, T., Mahamad, P., et al. (2022). Modern on-site tool for monitoring contamination of halal meat with products from five non-halal animals using multiplex polymerase chain reaction coupled with DNA strip. Food Control, 132:108540. 10.1016/j.foodcont.2021.108540
Di Giuseppe, A. M., Giarretta, N., Lippert, M., et al. (2015). An improved UPLC method for the detection of undeclared horse meat addition by using myoglobin as molecular marker. Food Chemistry, 169:241.e245 10.1016/j.foodchem.2014.07.126
Du, J., Gan, M., Xie, Z., et al. (2023). Current progress on meat food authenticity detection methods. Food Control, 152:109842. 10.1016/j.foodcont.2023.109842
European & Commission (EC). (2018). Horse meat (2013-2014) – test results. https://ec.europa.eu/food/safety/official_controls/food_fraud/horse_meat/tests_en (Accessed on July 24, 2021).
FAO. (2022). Meat Market Review 2021. Rome. Available online: https://www.fao.org/3/cc0984en/cc0984en.pdf (Accessed on February 25, 2023).
FDA. (2021). Economically Motivated Adulteration (Food Fraud). https://www.fda.gov/food/compliance-enforcement-food/economically-motivated-adulteration-food-fraud (Accessed on February 25, 2023).
Fengou, L. C., Lianou, A., Tsakanikas, P., et al. (2021a). Detection of meat adulteration using spectroscopy-based sensors. Foods, 10(4):861. 10.3390/foods10040861
Fengou, L. C., Tsakanikas P. and Nychas, G.J.E. (2021b). Rapid detection of minced pork and chicken adulteration in fresh, stored and cooked ground meat. Food Control, 125:108002. 10.1016/j.foodcont.2021.108002
Fernandes, T. J., Amaral, J. S. and Mafra, I. (2021). DNA barcode markers applied to seafood authentication: An updated review. Critical Reviews in Food Science and Nutrition, 61(22):3904–3935. 10.1080/10408398.2020.1811200
Fuseini, A., Wotton, S. B., Knowles, T. G., et al. (2017). Halal meat fraud and safety issues in the UK: a review in the context of the European Union. Food Ethics, 1(2):127–142. 10.1007/s41055-017-0009-1
Guntarti, A. (2018). Authentication of dog fat with gas chromatography-mass spectroscopy combined with chemometrics. International Journal of Chemistry, 1(4):124–129. 10.5539/ijc.v10n4p124
Harun, F. W. (2019). Fourier transform infrared spectroscopy as a technique for multivariate analysis of lard adulteration in food products: a review. Journal of Fatwa Management and Research, 17:1–3. 10.33102/jfatwa.vol17no1.1
Heidari, M., Talebpour, Z., Abdollahpour, Z., et al. (2020). Discrimination between vegetable oil and animal fat by a metabolomics approach using gas chromatography–mass spectrometry combined with chemometrics. Journal Food Science and Technology, 57(9):3415–3425. 10.1007/s13197-020-04375-9
Leng, T., Li, F., Xiong, L., Xiong, Q., et al. (2020). Quantitative detection of binary and ternary adulteration of minced beef meat with pork and duck meat by NIR combined with chemometrics. Food Control, 113:107203. 10.1016/j.foodcont.2020.107203
Li, M., Zhu, M., Chai, W., et al. (2021). Determination of lipid profiles of Dezhou donkey meat using an LC-MS-based lipidomics method. Journal of Food Science, 86(10):4511–4521. 10.1111/1750-3841.15917
Ma, J. and Sun, D. W. (2020). Prediction of monounsaturated and polyunsaturated fatty acids of various processed pork meats using improved hyperspectral imaging technique. Food Chemistry, 321:126695. 10.1016/j.foodchem.2020.126695
Mortas, M., Awad, N. and Ayvaz, H. (2022). Adulteration detection technologies used for halal/kosher food products: an overview. Discover Food, 2(1):1–23. 10.1007/s44187-022-00015-7
Özlü, H., Çevik, B., Atasever, M., et al. (2023). Investigation of meat species adulteration in beef-based meat products via real-time PCR in Türkiye. Quality Assurance and Safety of Crops & Foods, 15(4):42–48. 10.15586/qas.v15i4.1374
Pavlidis, D. E., Mallouchos, A., Ercolini, D., et al. (2019). A volatilomics approach for off-line discrimination of minced beef and pork meat and their admixture using HS-SPME GC/MS in tandem with multivariate data analysis. Meat Science, 151:43–53. 10.1016/j.meatsci.2019.01.003
Polidori, P., Santini, G., Klimanova, Y., et al. (2022). Effects of ageing on donkey meat chemical composition, fatty acid profile and volatile compounds. Foods, 11(6):821. 10.3390/foods11060821
Sairin, A. M., Abd Aziz, S., Tan, C. P., et al. (2019). Lard classification from other animal fats using dielectric spectroscopy technique. International Food Research Journal, 26(3):773–82.
Sambrook, J., Fritsch, E. F. and Maniatis, T. (1989). Molecular cloning: a laboratory manual (3nd ed.). Cold Spring Harbor Laboratory Press.
Santos-Silva, J., Francisco, A., Alves, S. P., et al. (2019). Effect of dietary neutral detergent fibre source on lambs growth, meat quality and biohydrogenation intermediates. Meat Science, 147:28–36. 10.1016/j.meatsci.2018.08.015
Sarah, S. A., Faradalila, W. N., Salwani, M. S., et al. (2016). LC-QTOF-MS identification of porcine-specific peptide in heat treated pork identifies candidate markers for meat species determination. Food Chemistry, 199:157–16. 10.1016/j.foodchem.2015.11.121
Sawaya, W. N., Saeed, T., Mameesh, M., et al. (1990). Detection of pork in processed meat: Experimental comparison of methodology. Food Chemistry, 37(3):201–219. 10.1016/0308-8146(90)90138-T
Sengupta, P., Wang, C. W. and Ma, Z. F. (2021). Enzyme-linked immunosorbent assay (ELISA) technique for food analysis. in techniques to measure food safety and quality. In Khan, M. S., Rahman, M. S. (Eds.), (1st ed., pp. 91–115). Springer: Cham, Switzerland.
Sim, S. F., Chai, M. X. L. and Jeffrey Kimura, A. L. (2018). Prediction of lard in palm olein oil using simple linear regression (SLR), multiple linear regression (MLR), and partial least squares regression (PLSR) based on Fourier-transform infrared (FTIR). Journal of Chemistry, 1–8. 10.1155/2018/7182801
Tian, X., Wang, J. and Cui, S. (2013). Analysis of pork adulteration in minced mutton using electronic nose of metal oxide sensors. Journal of Food Engineering, 119(4):744–749. 10.1016/j.jfoodeng.2013.07.004
Torres, R. N. S., Bertoco, J. P. A., Arruda, M. C. G., et al. (2021). The effect of dietary inclusion of crude glycerin on performance, ruminal fermentation, meat quality and fatty acid profile of beef cattle: Meta-analysis. Research Veterinary Science, 140:171–184. 10.1016/j.rvsc.2021.08.019
USDA. (2013). Foreign Agricultural Services. Livestock and Products Annual. FAS Cairo Office Research.
Vahmani, P., Ponnampalam, E. N., Kraft, J., et al. (2020). Bioactivity and health effects of ruminant meat lipids. Invited review. Meat Science, 165:108114. 10.1016/j.meatsci.2020.108114
Wang, L., Hang, X. and Geng, R. (2019). Molecular detection of adulteration in commercial buffalo meat products by multiplex PCR assay. Food Science and Technology, 39(2):344–348. 10.1590/fst.28717
Wang, Z., Wang, Z., Li, T., et al. (2020). Real-time PCR based on single-copy housekeeping genes for quantitative detection of goat meat adulteration with pork. International Journal of Food Science and Technology, 55(2):553–558. 10.1111/ijfs.14350
Witjaksono, G., Saputra, I., Latief, M., et al. (2017). Non-halal biomarkers identification based on fourier transform infrared spectroscopy (FTIR) and gas chromatography-time of flight mass spectroscopy (GC-TOF MS) techniques. In EPJ Web of Conferences. EDP Sciences.
Yacoub, H. A. and Sadek, M. A. (2017). Identification of fraud (with pig stuffs) in chicken-processed meat through information of mitochondrial cytochrome b. Mitochonderial DNA Part A, 28(6):855–859. 10.1080/24701394.2016.1197220
Zhang, M., Li, Y., Zhang, Y., et al. (2022). Rapid LC-MS/MS method for the detection of seven animal species in meat products. Food Chemistry, 371:131075. 10.1016/j.foodchem.2021.131075
Zhao, G., Shen, X., Liu, Y., et al. (2021). Direct lysis-multiplex polymerase chain reaction assay for beef fraud substitution with chicken, pork and duck. Food Control, 129:108252. 10.1016/j.foodcont.2021.108252