Download

ORIGINAL ARTICLE

Evaluation of the Functional Properties and Safety of Enterocin-producing Enterococcus faecium BT29.11 Isolated from Turkish Beyaz Cheese and its Inhibitory Activity against Listeria monocytogenes in UHT Whole Milk

Melike Seda Toplu, Banu Özden Tuncer*

Faculty of Engineering, Department of Food Engineering, Süleyman Demirel University, Isparta, Türkiye

Abstract

The goal of this research was to evaluate the functional properties and safety of antilisterial Enterococcus faecium BT29.11 isolated from Turkish Beyaz cheese. E. faecium BT29.11 showed the highest inhibitory activity against Listeria monocytogenes, followed by Staphylococcus aureus and vancomycin-resistant enterococci. E. faecium BT29.11 was identified by 16S rDNA sequence analysis, and genus- and species-specific PCR. The entA, entB, and entX structural genes were detected in E. faecium BT29.11. It was determined that the BT29.11 strain was a slow acid producer and did not show extracellular proteolytic and lipolytic activity. E. faecium BT29.11 demonstrated good probiotic properties. E. faecium BT29.11 was found to be ɣ-hemolytic, gelatinase-negative, and susceptible to clinically important antibiotics. Only ermC and acm were detected in the BT29.11 strain. E. faecium BT29.11 decreased the growth of L. monocytogenes in ultra-high temperature (UHT) milk. The findings of this research indicated that E. faecium BT29.11, an antilisterial strain, might be employed as a probiotic adjunct culture in fermented food products.

Key words: beyaz cheese, enterocin, Enterococcus, probiotic, safety evaluation

*Corresponding Author: B. Özden Tuncer, Süleyman Demirel University, Faculty of Engineering, Department of Food Engineering, 32260, Isparta, Türkiye. Email: [email protected]

Received: 22 December 2022; Accepted: 13 April 2023; Published: 9 May 2023

DOI: 10.15586/ijfs.v35i2.2316

© 2023 Codon Publications
This is an Open Access article distributed under the terms of the Creative Commons Attribution-NonCommercial-ShareAlike 4.0 International (CC BY-NC-SA 4.0). License (http://creativecommons.org/licenses/by-nc-sa/4.0/)

Introduction

Enterococci are lactic acid bacteria (LAB), which are most commonly found in the digestive tracts of humans and animals but may also be found in food and the surrounding environment (Foulquié Moreno et al., 2006; Graham et al., 2020). Enterococci are frequently isolated from cheese due to their resistance to pasteurization temperatures and their ability to adapt to different substrates and growth conditions such as low and high temperatures, low pH levels, and salt concentrations (Cariolato et al., 2008; Özden Tuncer et al., 2013; Terzić-Vidojević et al., 2021; Yogurtcu and Tuncer, 2013). In addition, studies on the microbiota of traditional cheeses produced in many Mediterranean countries, such as France, Greece, Italy, Portugal, Spain, and Türkiye, have shown that enterococci play an important role in the ripening of these cheeses through proteolysis, lipolysis, and citrate degradation and contribute to their typical taste and aroma (Dapkevicius et al., 2021; Foulquié Moreno et al., 2006). However, these bacteria also improve the microbiological safety of dairy products by producing antimicrobial compounds, including bacteriocin called enterocin (Hanchi et al., 2018; Kahn et al., 2010). According to Franz et al. (2007), enterocins are classified into four classes: lantibiotic enterocins, including cytolysin and enterocin W, which are considered two-component lantibiotics (class I); non-lantibiotic enterocins (class II); cyclic enterocins, such as enterocin AS-48 (class III); and large molecular weight proteins, such as enterolysin A (class IV). Class II is also divided into three subclasses: pediocin-like enterocins, such as enterocin A and enterocin P (class IIa); nonpediocin-like enterocins, such as the two peptide bacteriocins enterocin L50 and enterocin Q (class IIb); and other linear nonpediocin-like enterocins, such as enterocin B (class IIc). Another functional characteristic of enterococci is their probiotic properties. There are several enterococcal dairy isolates that have probiotic effects, and as a result, they contribute favorably to the health of both humans and animals (Terzić-Vidojević et al., 2021).

Although it is known that enterococci have some technological and probiotic properties, their virulence factors and increasing antibiotic resistance have caused them to be considered opportunistic pathogens (Foulquié Moreno et al., 2006). Therefore, it is recommended to investigate the presence of virulence factor genes and transferable antibiotic resistance genes to determine the safety of enterococci isolates that have the potential to be used as probiotics or starter cultures. On the other hand, there is no evidence to suggest that there is a direct connection between the ingestion of food that contains virulent enterococci and the illness (Chajęcka-Wierzchowska et al., 2017). Global antibiotic resistance is a public health problem. Naturally, enterococci are resistant to antibiotics thanks to chromosomal genes, but they may also acquire resistance to certain drugs by horizontal gene transfer from plasmids and transposons (Garrido et al., 2014). In the evaluation of the pathogenicity of enterococci, virulence factors should be taken into account as well as their resistance to various antibiotics. While the presence of antibiotic resistance genes alone does not indicate the pathogenicity of a strain, it can cause the strain to become dangerous by interacting with virulence factors (Chajęcka-Wierzchowska et al., 2017). Aggregation protein (agg), collagen-binding protein (ace, acm), cell wall adhesins (efaAfm, efaAfs), extracellular surface protein (espfm, espfs), cytolysin (cylM, cylB, cylA), gelatinase (gelE), hyaluronidase (hyl), and sex pheromones (cpd, cob, ccf, cad) are virulence factors identified in enterococci (Chajęcka-Wierzchowska et al., 2017; Graham et al., 2020).

The aim of this study was to identify the antilisterial E. faecium BT29.11 strain previously isolated from traditional Turkish Beyaz (white) cheese and to determine its functional properties and safety. Also, the inhibitory effect of the BT29.11 strain on Listeria monocytogenes in the UHT milk was investigated.

Materials and Methods

Bacterial strains and growth conditions

The BT29.11 isolate was previously isolated from Turkish Beyaz cheese in Isparta, Türkiye, and its antibacterial activity was detected against the L. monocytogenes ATCC 7644 strain. BT29.11 was identified as a presumptive Enterococcus isolate based on Gram staining, the catalase test, and conventional culture tests such as growth in de Man Rogosa and Sharpe (MRS) broth at 10°C, 45°C, and pH 9.6, tolerance to 6.5% (w/v) NaCl, and resistance to heat at 60°C for 30 min (unpublished data). The BT29.11 isolate was grown in MRS broth (Biokar Diagnostics, BK070HA, Beauvais, France) at 37°C for 24 h. The growth conditions of indicator bacteria used to detect antibacterial activity of BT29.11 isolate are listed in Table 1. All cultures used in this study were stored at -32°C with 20% (v/v) sterile glycerol.

Table 1. Growth medium, incubation temperature and source of indicator strains, and inhibitory spectrum of BT29.11 isolate.

Indicator strains Growth medium1 and incubation temperature Source2 Inhibition zone of BT29.113 (Ø mm)
Enterococcus faecalis ATCC 29212 MRS, 37°C SDUBGL 4
Enterococcus faecalis ATCC 51299
(vancomycin-resistant)
MRS, 37°C SDUBGL 10
Enterococcus faecium ATCC 51559
(vancomycin-resistant)
MRS, 37°C SDUBGL 9
Listeria monocytogenes ATCC 19111 TSBYE, 37°C SDUBGL 19
Listeria monocytogenes ATCC 19115 TSBYE, 37°C SDUBGL 15
Listeria monocytogenes ATCC 7644 TSBYE, 37°C SDUBGL 20
Escherichia coli ATCC 25922 TSBYE, 37°C SDUBGL 8
Escherichia coli ATCC 25828 TSBYE, 37°C NLH 6
Salmonella Enteritidis ATCC 13076 TSBYE, 37°C SDUBGL 6
Salmonella Typhimurium ATCC 14028 TSBYE, 37°C NLH 5
Staphylococcus aureus ATCC 43300
(methicillin-resistant)
TSBYE, 37°C SDUBGL 4
Staphylococcus aureus ATCC 25923 TSBYE, 37°C SDUBGL 13
Pseudomonas aeroginosa ATCC 27853 TSBYE, 37°C SDUBGL 6
Bacillus subtilis ATCC 6051 TSBYE, 37°C SDUBGL 11
Bacillus cereus ATCC 10876 TSBYE, 37°C NLH 3

1MRS: de Man Rogosa and Sharpe broth, TSBYE: Tryptone soy broth (containing 0.5% yeast extract).

2SDUBGL: Laboratory of Bacterial Genetics, Süleyman Demirel University, Food Engineering Department, Isparta/Türkiye, NLH: Laboratory of Microbial Gene Technology, NLH, Ås, Norway.

3BT29.11: Enterococcus faecium BT29.11.

Detection of antibacterial activity spectrum of BT29.11 isolate and protein nature of the antibacterial substance

The antibacterial activity spectrum of BT29.11 isolate was determined by the sterile toothpick method described by van Belkum et al. (1989). The antibacterial activity of BT29.11 isolate against indicator bacteria was evaluated by measuring the inhibition zone diameter.

The protein nature of the antibacterial substance produced by BT29.11 isolate was determined according to the method of Ryan et al. (1996). The pepsin (pH 3.0) (Sigma-Aldrich P6887, USA), proteinase K (pH 7.0) (Sigma-Aldrich P6556), α-chemotrypsin (pH 7.0) (Sigma-Aldrich C4129), trypsin (pH 7.0) (Sigma-Aldrich T4799), and catalase (pH 7.0) (Sigma-Aldrich C9322) were prepared at a final concentration of 50 mg/mL. The half-moon-shaped loss of activity on the side where the enzyme was dropped was taken as proof that the antibacterial substance produced was bacteriocin.

Isolation of genomic DNA from BT 29.11 isolate

Genomic DNA was isolated from 0.5 mL of an overnight culture of BT29.11 isolate according to the method described by Cancilla et al. (1992). The agarose gel electrophoresis of the genomic DNA sample was performed on a 0.7% (w/v) agarose gel using the OWL EASYCAST B1 mini gel electrophoresis system (Thermo Scientific, USA). The gel was stained with ethidium bromide (20 µg/mL), visualized on a UV transilluminator (Vilber Lourmat ECX-F20.M, France), and photographed with a Nikon D500 digital camera (Nikon Corp., Japan).

Identification of BT29.11 isolate

The BT29.11 isolate was identified using polymerase chain reaction (PCR)-based methods. The 16S rRNA gene region of the BT29.11 was propagated in a TurboCycler 2 gradient thermal cycler (Blue-Ray Biotech. Corp., Taipei City, Taiwan) using universal bacterial primers pA and pE' (Edwards et al., 1989). The Enterococcus genus-specific primers, Ent-1 and Ent-2, were used for genus-level identification of the BT29.11 isolate (Sahoo et al., 2015). Species-level identification of BT29.11 was supported by species-specific PCR using primer pairs specific to E. faecium species (Jackson et al., 2004). The primer sequences and PCR protocols used for the identification of the BT29.11 isolate are given in Table 2. The electrophoresis of PCR products was conducted on 2% and 1.5% (w/v) agarose gels for genus-specific PCR and both of 16S rRNA gene-based PCR and species-specific PCR, respectively. After the electrophoresis, gels were visualized and photographed as described above.

Detection of enterocin genes in E. faecium BT29.11

The presence of enterocin A (entA), enterocin B (entB), enterocin P (entP), enterocin Q (entQ), enterocin X (entX), enterocin AS-48 (entAS48), enterocin 1071A/1071B (ent1071A/B), enterocin L50A/L50B (entL50A/B), bacteriocin 31 (bac31), enterocin CRL35 (entCRL35), and mundticin KS (munKS) structural genes in E. faecium BT29.11 was detected by PCR using specific primers. The primer sequences and PCR protocols used for the detection of enterocin structural genes in the BT29.11 are given in Table 2. The electrophoresis of PCR products was done on a 2% (w/v) agarose gel, and then the gel was visualized and photographed as described above. E. faecium EYT17 (entA+, entB+, entP+) (Özden Tuncer et al., 2013) and E. mundtii YB6.30 (munKS+) (Altınkaynak and Tuncer, 2020) were used as positive control strains.

Table 2. PCR primers, PCR protocol, and product size used for identification of BT29.11 isolate and for detection of bacteriocin genes.

Genes Primers sequence (5’ to 3’) Product size (bp) PCR protocol References
16S rRNA AGAGTTTGATCCTGGCTCAG
CCGTCAATTCCTTTGAGT TT
921 94°C for 2 min x1; 9°C for 30 s, 55°C for 60 s, 72°C for 90 s x30; 72°C for 10 min x1 Edwards
et al. (1989)
Enterococcus
(tuf)
TACTGACAAACCATTCATGATG
AACTTCGTCACCAACGCGAAC
112 95°C for 1 min x1; 95°C for 15 s, 62°C for 60 s, 72°C for 30 s x40; 72°C for 10 min x1 Sahoo
et al. (2015)
E. faecium
(sodA)
GAAAAAACAATAGAAGAATTAT
TGCTTTTTTGAATTCTTCTTTA
215 95°C for 4 min x1; 95°C for 30 s, 55°C for 60 s, 72°C for 60 s x30; 72°C for 7 min x1 Jackson
et al. (2004)
entA AATATTATGGAAATGGAGTGTAT
GCACTTCCCTGGAATTGCTC
126 94°C for 5 min x1; 94°C for 60 s, 56°C for 60 s, 72°C for 40 s x35; 72°C for 10 min x1 Yousif
et al. (2005)
entB GAAAATGATCACAGAATGCCTA
GTTGCATTTAGAGTATACATTTG
162 94°C for 5 min x1; 94°C for 60 s, 50°C for 60 s, 72°C for 40 s x35; 72°C for 10 min x1 Yousif
et al. (2005)
entP TATGGTAATGGTGTTTATTGTAAT
ATGTCCCATACCTGCCAAAC
120 94°C for 5 min x1; 94°C for 60 s, 50°C for 60 s, 72°C for 40 s x35; 72°C for 10 min x1 Yousif
et al. (2005)
entX GTTTCTGTAAAAGAGATGAAAC
CCTCCTAATCATTAACCATAC
500 94°C for 5 min x1; 94°C for 60 s, 50°C for 60 s, 72°C for 40 s x35; 72°C for 10 min x1 Edalatian
et al. (2012)
entL50A/B TGGGAGCAATCGCAAAATTAG
ATTGCCCATCCTTCTCCAAT
98 94°C for 5 min x1; 94°C for 60 s, 52°C for 60 s, 72°C for 40 s x35; 72°C for 10 min x1 Ben Belgacem
et al. (2010)
bac31 TATTACGGAAATGGTTTATATTGT
TCTAGGAGCCCAAGGGCC
123 94°C for 5 min x1; 94°C for 60 s, 50°C for 60 s, 72°C for 40 s x35; 72°C for 10 min x1 Yousif
et al. (2005)
entAS48 GAGGAGTTTCATGATTTAAAGA
CATATTGTTAAATTACCAAGCAA
340 94°C for 5 min x1; 94°C for 60 s, 50°C for 60 s, 72°C for 40 s x35; 72°C for 10 min x1 Yousif
et al. (2005)
entQ TGAATTTTCTTCTTAAAAATGGTATCGCA
TTAACAAGAAATTTTTTCCCATGGCAA
105 94°C for 5 min x1; 94°C for 60 s, 56°C for 60 s, 72°C for 40 s x35; 72°C for 10 min x1 Ben Belgacem
et al. (2010)
ent1071A/B CCTATTGGGGGAGAGTCGGT
ATACATTCTTCCACTTATTTTT
343 94°C for 5 min x1; 94°C for 60 s, 51°C for 60 s, 72°C for 40 s x35; 72°C for 10 min x1 Ben Belgacem
et al. (2010)
munKS TGAGAGAAGGTTTAAGTTTTGAAGAA
TCCACTGAAATCCATGAATGA
380 94°C for 3 min x1; 94°C for 60 s, 55°C for 30 s, 72°C for 60 s x30; 72°C for 7 min x1 Zendo
et al. (2005)
entCRL35
GCAAACCGATAAGAATGTGGGAT TATACATTGTCCCCACAACC 490 94°C for 3 min x1; 94°C for 60 s, 55°C for 30 s, 72°C for 3.4 min x30; 72°C for 4 min x1 Settanni et al. (2014)

Technological properties of E. faecium BT29.11

The acid production ability of E. faecium BT29.11 was tested in 11% (w/v) reconstituted skim milk (RSM) medium (LAB M, United Kingdom). The BT29.11 strain was inoculated (1%, v/v) into a RSM medium and incubated at 37°C for 24 h. At the end of the 0, 6th, and 24th hour of the incubation, the culture pH was measured by taking samples from the medium. The acid production ability of the BT29.11 strain was calculated by considering the difference (ΔpH) between the initial pH value and the pH value at the time of measurement (Özkalp et al., 2007).

The proteolytic and lipolytic activities of E. faecium BT29.11 were determined on calcium caseinate agar (Fluka 21065, Switzerland) and spirit blue agar (BD DifcoTM 295020, France), as described by Martín et al. (2006) and Landeta et al. (2013), respectively. Ten microliters of an overnight culture of the BT29.11 strain was inoculated on both media, and Petri dishes were incubated at 37°C for 3 days. Zone formation around the colonies at the end of the incubation period was investigated.

Probiotic properties of E. faecium BT29.11

To determine the gastrointestinal stress tolerance ability of bacteriocin-producing E. faecium BT29.11, resistance to low pH, bile salt, simulated gastric juice, phenol, and lysozyme were investigated. The resistance of E. faecium BT29.11 to low pH was detected according to the method suggested by Conway et al. (1987). The cell count at pH 1.0, 3.0, 5.0, and 7.2 (control) was performed at 0, 1st, 2nd, 3rd, and 4th hour of incubation on MRS agar.

To determine the resistance to bile salt, an overnight culture of E. faecium BT29.11 was inoculated (1%, v/v) into MRS broth containing 0.3%, 0.5%, and 1% (w/v) bile salt and incubated at 37°C for 24 h. The cell counts were enumerated at 0 and 24th hour of incubation on MRS agar (Gilliland and Walker, 1990).

The resistance of E. faecium BT29.11 to simulated gastric juice was tested according to the method suggested by Vinderola and Reinheimer (2003). The BT29.11, which was grown in 30 mL MRS broth for 24 h, was precipitated at 6,000xg at 5°C for 20 min, washed with K2HPO4 (pH 6.5), and dissolved in 3 mL of the same buffer. One milliliter of the prepared cell suspension was taken and precipitated at 12,000xg at 5°C for 5 min. After the precipitated cells were dissolved in simulated gastric juice [0.5% (w/v) NaCl and 0.3% (w/v) pepsin] adjusted to pH 2.0 and 3.0. They were incubated at 37°C, and cell counts were performed at 0 and 3rd hour of incubation on MRS agar.

To determine the survival of E. faecium BT29.11 in the presence of phenol, an overnight culture of E. faecium BT29.11 was inoculated (2%, v/v) into MRS broth with or without phenol (0.4%, w/v) (Riedel-de Haën, Germany) and incubated at 37°C for 24 h. The cell counts were performed at 0 and 24th hour of incubation on MRS agar (Teply, 1984).

The resistance of E. faecium BT29.11 to lysozyme was determined according to the method proposed by Brennan et al. (1986). Accordingly, MRS broth with or without 100 ppm lysozyme (Sigma-Aldrich, 62971) was inoculated with 2% (v/v) active E. faecium BT29.11 strain and incubated at 37°C, and cell counts were enumerated at 0 and 24th hour of incubation on MRS agar.

The autoaggregation and coaggregation activities of E. faecium BT29.11 were detected according to the method suggested by Basson et al. (2008). The autoaggregation value of BT29.11 strain was calculated with the following formula:

% autoaggregation=A0A60A0×100

where, A0 refers to the initial optic density (OD) of E. faecium BT29.11, while A60 refers to the final OD which was obtained after 60 min at room temperature.

The coaggregation activity of E. faecium BT29.11 was detected with L. monocytogenes ATCC7644. The coaggregation value of BT29.11 with ATCC7644 was calculated using the following formula:

% coaggregation=Amix0Amix60Amix0×100

where, Amix0 value refers to the initial OD immediately after mixing of strains, and Amix60 refers to the OD of mixed strains after a period of 60 min at room temperature.

The hydrophobicity ability of E. faecium BT29.11 to adhere to xylene was determined according to the method described by Vinderola and Reinheimer (2003). The hydrophobicity percentage of the BT29.11 strain was calculated using the formula:

% hydrophobicity=A0AA0×100

where, A0 and A refer to the absorbance before and after treatment with xylene, respectively.

Safety evaluation of E. faecium BT29.11

The antibiotic susceptibility pattern of E. faecium BT29.11 was detected by the disc diffusion method on Mueller-Hinton agar (Oxoid Ltd., CM0337, Hampshire, England) as previously described by Cariolato et al. (2008). Eighteen commercial antibiotic discs that included aminoglycosides (gentamicin 120 µg and streptomycin 300 µg), β-lactams (ampicillin 10 µg and penicillin G 10 U), glycopeptides (teicoplanin 30 µg and vancomycin 30 µg), fluoroquinolones (ciprofloxacin 5 µg and levofloxacin 5 µg), nitrofuran (nitrofurantoin 300 µg), macrolide (erythromycin 15 µg), phenicol (chloramphenicol 30 µg), rifamycin (rifampin 5 µg), streptogramins (quinupristin/dalfopristin 15 µg), tetracyclines (doxycycline 30 µg, minocycline 30 µg and tetracycline 30 µg), oxazolidinone (linezolid 30 µg), and quinolone (norfloxacin 10 µg) obtained from Oxoid Ltd. (England) were used. The zone diameters formed around the antibiotic discs were measured and evaluated as susceptible, intermediate, and resistant according to the guidelines of the Clinical Laboratory Standards Institute (CLSI, 2020).

In addition, the presence of erythromycin (ermA, ermB, ermC), high-level aminoglycoside (aac(6')-Ie-aph(2")-Ia, aph(2")-Ib, aph(2")-Ic, aph(2")-Id, ant(4')-Ia, ant(6')-Ia, aph(3')-IIIa), tetracycline (tetK, tetL, tetM, tetO, tetS), and vancomycin (vanA, vanB) resistance genes in E. faecium BT29.11 was investigated by PCR. The primer sequences and PCR protocols used for the detection of antibiotic resistance genes are given in Table 3. The electrophoresis of PCR products was done on a 1.5% (w/v) agarose gel, and then the gel was visualized and photographed as described above.

Table 3. Primers sequences, product size, and PCR protocols for the detection of antibiotic resistance genes.

Genes Primers sequence (5’ to 3’) Product size (bp) PCR protocol References
ermA AAGCGGTAAAACCCCTCTGAG
TCAAAGCCTGTCGGAATTGG
442 94°C for 2 min x1; 94°C for 60 s, 55°C for 60 s, 72°C for 60 s x30; 72°C for 10 min x1 Ouoba
et al. (2008)
ermB CATTTAACGACGAAACTGGC
GGAACATCTGTGGTATGGCG
425 94°C for 2 min x1; 94°C for 60 s, 52°C for 60 s, 72°C for 60 s x30; 72°C for 10 min x1 Ouoba
et al. (2008)
ermC ATCTTTGAAATCGGCTCAGG
CAAACCCGTATTCCACGATT
295 94°C for 2 min x1; 94°C for 60 s, 48°C for 60 s, 72°C for 60 s x30; 72°C for 10 min x1 Ouoba
et al. (2008)
tetK TTAGGTGAAGGGTTAGGTCC
GCAAACTCATTCCAGAAGCA
718 94°C for 2 min x1; 94°C for 60 s, 55°C for 60 s, 72°C for 60 s x30; 72°C for 10 min x1 Ouoba
et al. (2008)
tetL GTTGCGCGCTATATTCCAAA
TTAAGCAAACTCATTCCAGC
788 94°C for 2 min x1; 94°C for 60 s, 54°C for 60 s, 72°C for 60 s x30; 72°C for 10 min x1 Ouoba
et al. (2008)
tetM GTTAAATAGTGTTCTTGGAG
CTAAGATATGGCTCTAACAA
656 94°C for 2 min x1; 94°C for 60 s, 45°C for 60 s, 72°C for 60 s x30; 72°C for 10 min x1 Ouoba
et al. (2008)
tetO GATGGCATACAGGCACAGAC
CAATATCACCAGAGCAGGCT
614 94°C for 2 min x1; 94°C for 60 s, 55°C for 60 s, 72°C for 60 s x30; 72°C for 10 min x1 Ouoba
et al. (2008)
tetS TGGAACGCCAGAGAGGTATT
ACATAGACAAGCCGTTGACC
660 94°C for 2 min x1; 94°C for 60 s, 55°C for 60 s, 72°C for 60 s x30; 72°C for 10 min x1 Ouoba
et al. (2008)
aph(3')-IIIa GGCTAAAATGAGAATATCACCGG
CTTTAAAAAATCATACAGCTCGCG
523 94°C for 3 min x1; 94°C for 40 s, 55°C for 40 s, 72°C for 40 s x35; 72°C for 2 min x1 Vakulenko
et al. (2003)
ant(4')-Ia CAAACTGCTAAATCGGTAGAAGCC
GGAAAGTTGACCAGACATTACGAACT
294 94°C for 3 min x1; 94°C for 40 s, 55°C for 40 s, 72°C for 40 s x35; 72°C for 2 min x1 Vakulenko
et al. (2003)
ant(6')-Ia ACTGGCTTAATCAATTTGGG
GCCTTTCCGCCACCTCACCG
577 94°C for 3 min x1; 94°C for 30 s, 56°C for 30 s, 72°C for 60 s x35; 72°C for 5 min x1 Niu
et al. (2016)
aac(6')-Ie-
aph(2")-Ia
CAGGAATTTATCGAAAATGGTAGAAAAG
CACAATCGACTAAAGAGTACCAATC
369 94°C for 3 min x1; 94°C for 40 s, 55°C for 40 s, 72°C for 40 s x35; 72°C for 2 min x1 Vakulenko
et al. (2003)
aph(2")-Ib CTTGGACGCTGAGATATATGAGCAC
GTTTGTAGCAATTCAGAAACACCCTT
867 94°C for 3 min x1; 94°C for 40 s, 55°C for 40 s, 72°C for 40 s x35; 72°C for 2 min x1 Vakulenko
et al. (2003)
aph(2")-Ic CCACAATGATAATGACTCAGTTCCC
CCACAGCTTCCGATAGCAAGAG
444 94°C for 3 min x1; 94°C for 40 s, 55°C for 40 s, 72°C for 40 s x35; 72°C for 2 min x1 Vakulenko
et al. (2003)
aph(2 ")-Id GTGGTTTTTACAGGAATGCCATC
CCCTCTTCATACCAATCCATATAACC
641 94°C for 3 min x1; 94°C for 40 s, 55°C for 40 s, 72°C for 40 s x35; 72°C for 2 min x1 Vakulenko
et al. (2003)
vanA GGGAAAACGACAATTGC
GTACAATGCGGCCGTTA
732 94°C for 2 min x1; 94°C for 60 s, 54°C for 60 s, 72°C for 60 s x30; 72°C for 10 min x1 Dutka-Malen
et al. (1995)
vanB ACGGAATGGGAAGCCGA
TGCACCCGATTTCGTTC
647 94°C for 2 min x1; 94°C for 60 s, 54°C for 60 s, 72°C for 60 s x30; 72°C for 7 min x1 Depardieu
et al. (2004)

To determine the hemolytic activity, an overnight culture of E. faecium BT29.11 was streaked on the surface of sheep blood agar (Liofilchem, Roseto degli Abruzzi, Italy) using an inoculation loop and incubated at 37°C for 48 h. The hemolytic activity was classified as β (clear zone formation around the colony), α (fuzzy greenish zone formation), or γ (non-zone formation) (Cariolato et al., 2008). β-hemolytic S. aureus ATCC 25923 was used as a control strain.

To determine the gelatinase activity, an overnight culture of E. faecium BT29.11 was streaked on the surface of Todd-Hewitt agar (Liofilchem, Italy) containing 3% (w/v) gelatin (Merck, Darmstadt, Germany). The Petri dish was incubated at 37°C for 24 h and then kept at 4°C for 5 h. The presence of an opaque zone surrounding the colony was evaluated as a positive result (Eaton and Gasson, 2001). E. faecalis NYE7 was used as a positive control strain (Inoğlu and Tuncer, 2013).

The presence of virulence factor genes encoding aggregation protein (agg), cell wall adhesins (efaAfm, efaAfs), cell wall-associated protein (espfm, espfs), collagen-binding protein (ace, acm), cytolysin (cylM, cylB, cylA), gelatinase (gelE), hyaluronidase (hyl), and sex pheromones (cpd, cob, ccf, cad) in E. faecium BT29.11 was investigated by PCR according to Eaton and Gasson (2001), Vankerckhoven et al. (2004), Reviriego et al. (2005), Camargo et al. (2006), and Ben Belgacem et al. (2010). The primer sequences and PCR protocols used for the detection of virulence factor genes are given in Table 4. The electrophoresis of PCR products was done on a 1.5% (w/v) agarose gel, and then the gel was visualized and photographed as described above.

Table 4. Primers sequences, product size, and PCR protocols for the detection of virulence factors genes.

Genes Primers sequence (5’ to 3’) Product size (bp) PCR protocol References
gelE ACCCCGTATCATTGGTTT
ACGCATTGCTTTTCCATC
419 95°C for 5 min x1; 95°C for 30 s, 54°C for 30 s, 72°C for 60 s x35; 72°C for 10 min x1 Reviriego
et al. (2005)
efaAfm AACAGATCCGCATGAATA
CATTTCATCATCTGATAGTA
735 95°C for 5 min x1; 95°C for 30 s, 54°C for 30 s, 72°C for 60 s x35; 72°C for 10 min x1 Reviriego
et al. (2005)
efaAfs GACAGACCCTCACGAATA
AGTTCATCATGCTGTAGTA
705 95°C for 5 min x1; 95°C for 30 s, 54°C for 30 s, 72°C for 60 s x35; 72°C for 10 min x1 Reviriego
et al. (2005)
espfm TTGCTAATGCAAGTCACGTCC
GCATCAACACTTGCATTACCGAA
955 95°C for 5 min x1; 95°C for 30 s, 54°C for 30 s, 72°C for 60 s x35; 72°C for 10 min x1 Reviriego
et al. (2005)
espfs TTGCTAATGCTAGTCCACGACC
GCGTCAACACTTGCATTGCCGAA
933 95°C for 5 min x1; 95°C for 30 s, 54°C for 30 s, 72°C for 60 s x35; 72°C for 10 min x1 Reviriego
et al. (2005)
cpd TGGTGGGTTATTTTTCAATTC
TACGGCTCTGGCTTACTA
782 95°C for 5 min x1; 95°C for 30 s, 54°C for 30 s, 72°C for 60 s x35; 72°C for 10 min x1 Reviriego
et al. (2005)
cob AACATTCAGCAAACAAAGC
TTGTCATAAAGAGTGGTCAT
1405 95°C for 5 min x1; 95°C for 30 s, 54°C for 30 s, 72°C for 60 s x35; 72°C for 10 min x1 Reviriego
et al. (2005)
ccf GGGAATTGAGTAGTGAAGAAG
AGCCGCTAAAATCGGTAAAAT
543 95°C for 5 min x1; 95°C for 30 s, 54°C for 30 s, 72°C for 60 s x35; 72°C for 10 min x1 Reviriego
et al. (2005)
cad TGCTTTGTCATTGACAATCCG
ACTTTTTCCCAACCCCTCAA
1299 95°C for 5 min x1; 95°C for 30 s, 54°C for 30 s, 72°C for 60 s x35; 72°C for 10 min x1 Reviriego
et al. (2005)
ace AAAGTAGAATTAGATCCACAC
TCTATCACATTCGGTTGCG
350 95°C for 5 min x1; 95°C for 30 s, 54°C for 30 s, 72°C for 60 s x35; 72°C for 10 min x1 Ben Belgacem
et al. (2010)
acm GGCCAGAAACGTAACCGATA
CGCTGGGGAAATCTTGTAAA
353 95°C for 5 min x1; 95°C for 30 s, 52°C for 30 s, 72°C for 60 s x35; 72°C for 10 min x1 Camargo
et al. (2006)
agg AAGAAAAAGAAGTAGACCAAC
AAACGGCAAGACAAGTAAATA
1533 95°C for 5 min x1; 95°C for 30 s, 56°C for 30 s, 72°C for 60 s x35; 72°C for 10 min x1 Eaton and Gasson
(2001)
cylM CTGATGGAAAGAAGATAGTAT
TGAGTTGGTCTGATTACATTT
742 95°C for 5 min x1; 95°C for 30 s, 54°C for 30 s, 72°C for 60 s x35; 72°C for 10 min x1 Reviriego
et al. (2005)
cylB ATTCCTACCTATGTTCTGTTA
AATAAACTCTTCTTTTCCAAC
843 95°C for 5 min x1; 95°C for 30 s, 54°C for 30 s, 72°C for 60 s x35; 72°C for 10 min x1 Reviriego
et al. (2005)
cylA TGGATGATAGTGATAGGAAGT
TCTACAGTAAATCTTTCGTCA
517 95°C for 5 min x1; 95°C for 30 s, 54°C for 30 s, 72°C for 60 s x35; 72°C for 10 min x1 Reviriego
et al. (2005)
hyl ACAGAAGAGCTGCAGGAAATG
GACTGACGTCCAAGTTTCCAA
276 95°C for 5 min x1; 95°C for 30 s, 54°C for 30 s, 72°C for 60 s x35; 72°C for 10 min x1 Vankerckhoven
et al. (2004)

Inhibitory activity of E. faecium BT29.11 against L. monocytogenes in UHT whole milk

The inhibitory activity of E. faecium BT29.11 against L. monocytogenes ATCC 7644 was tested in UHT whole milk (Pınar Süt, Türkiye). E. faecium BT29.11 and L. monocytogenes ATCC 7644 strains were inoculated in UHT milk at approximately 107 and 103 CFU/mL, respectively. Three treatments were prepared in sterile bottles, each containing 200 mL of UHT milk, as follows: BT29.11 (control), ATCC 7644 (control), and BT29.11 + ATCC 7644 (co-culture). All bottles were incubated at 30°C for 24 h and then held at 4°C for 2 days to replicate storage conditions. Samples were taken at different time intervals. The E. faecium BT29.11 and L. monocytogenes ATCC 7644 counts were encountered on Kanamycin Aesculin Azide agar (LABM, Lancashire, United Kingdom) and COMPASS Listeria agar (Biokar Diagnostics, Beauvais, France), respectively. The Petri dishes were incubated at 37°C for 24–48 h. The pH of the cultures was measured using a pH meter WTW 3110 (WTW GmbH, Weilheim, Germany). For bacteriocin activity, control culture and co-culture were centrifugated at 9,168×g for 10 min. The supernatants were passed through a 0.45 µm pore size membrane filter (Minisart®NML, Sartorius Stedim Biotech, Goettingen, Germany) and tested for bacteriocin activity by the spot-on-lawn test against L. monocytogenes ATCC 7644 (Rehaiem et al., 2012). The critical dilution method was utilized to determine the bacteriocin activities as arbitrary units (AU) per mL. Firstly, two-fold serial dilutions of the supernatants were prepared, and 10 µL of each of them were spotted onto the agar plate overlaid with 5 mL soft agar containing 100 µL of an overnight culture of L. monocytogenes ATCC 7644. After incubation at 37°C for 24 h, one arbitrary activity unit (AU) was defined as the reciprocal of the highest dilution that caused a clear zone of inhibition on the indicator lawn. The dilution factor at the highest dilution rate was multiplied by 100 to obtain the AU/mL of the original preparation. Bacteriocin activity was calculated using the following formula:

Bacteriocin activity (AU/mL) = 1000 × 10–1 × D–1

The D value shows the highest dilution rate at the end of the incubation period at which the growth of the indicator bacteria is inhibited (Franz et al., 1997).

Results and Discussion

Detection of the antibacterial activity spectrum of BT29.11 isolate and the nature of the antibacterial substance

The BT29.11 isolate showed antibacterial activity against all indicator bacteria used in this study. Inhibition zone diameters were measured between 3 and 20 mm. It was determined that the BT29.11 isolate formed the highest inhibition zone against L. monocytogenes strains (Figure 1), followed by S. aureus ATCC 25923, B. subtilis ATCC 6051, and vancomycin-resistant E. faecalis ATCC 51299 and E. faecium ATCC 51559 strains (Table 1).

Figure 1. Antibacterial activity of the BT29.11 isolate against L. monocytogenes ATCC 7644.

Proteolytic enzyme treatment showed that the antibacterial substance produced by the BT29.11 isolate was inactivated with proteinase K, trypsin, α-chymotrypsin, and pepsin (Figure 2). Additionally, the catalase did not influence the antimicrobial activity, confirming that the inhibitory action is not from hydrogen peroxide. These findings demonstrated that the antimicrobial substance produced by the BT29.11 isolate has a proteinaceous character, indicating that it is bacteriocin. Bacteriocins produced by LAB partially or completely lose their activity when treated with proteolytic enzymes due to their protein nature (de Vuyst and Vandamme, 1994). Our findings are consistent with those of previous research, which found that class IIa bacteriocins synthesized by Enterococcus strains had potent inhibitory action against L. monocytogenes and Enterococcus strains (Farias et al., 2021; Gök Charyyev et al., 2019; Valledor et al., 2022; Yang and Moon, 2021).

Figure 2. The effect of proteolytic enzyme treatments on the culture supernatant of E. faecium BT29.11. A: supernatant (control), B: supernatant with pepsin, C: supernatant with α-chymotrypsin, D: supernatant with catalase, E: supernatant with trypsin and F: supernatant with proteinase K.

Identification of BT29.11 isolate

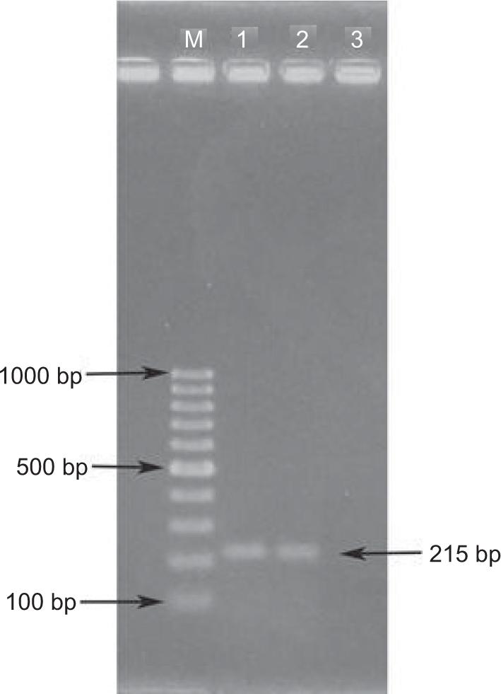
Bacteriocin producer BT29.11 isolate was identified as E. faecium by 16S rDNA sequence analysis. This result was supported by Enterococcus genus-specific and E. faecium species-specific PCR. As expected, 112 and 215 bp (Figure 3) fragments were amplified on the BT29.11 genome using Enterococcus genus-specific and E. faecium species-specific primer pairs, respectively. Enterococci, especially E. faecalis and E. faecium species, are found as non-starter LAB in a variety of artisanal cheeses made with both raw and pasteurized milk in Mediterranean countries such as Greece, France, Italy, Portugal, Spain, Egypt, and Türkiye (Dapkevicius et al., 2021). Previous research in Türkiye has shown that E. faecium was isolated from Turkish Beyaz cheese (Avcı and Özden Tuncer, 2017; İspirli et al., 2017; Özmen Toğay et al., 2016), and some of these isolates have been found to be bacteriocin producers (Avcı and Özden Tuncer, 2017; İspirli et al., 2017).

Figure 3. Enterococcus faecium species-specific PCR of BT29.11 isolate. Line M: GeneRuler 100 bp DNA ladder (Thermo Scientific, ≠SM0243, Lithuania), line 1: BT29.11, line 2: E. faecium ATCC 51559 (positive control), line 3: E. faecalis ATCC 51299 (negative control).

Detection of enterocin genes in E. faecium BT29.11

As a result of PCR analysis, three PCR bands were detected in E. faecium BT29.11 strain: 126 bp with entA (Figure 4, line 1), 162 bp with entB (Figure 4, line 2) as expected, and 450 bp with entX (Figure 4, line 5), instead of the expected 500 bp. The presence of entA, entB, and entX has been found together in E. faecium strains isolated from Turkish Tulum and Beyaz cheeses (Avcı and Özden Tuncer, 2017), Lingvan cheese (Joghataei et al., 2017), and boza (Gök Charyyev et al., 2019), as confirmed in this study. These data suggest that strain BT29.11 might express more than one enterocin. This result is not surprising, as the presence of multiple enterocin genes in enterococci appears to be quite common. Similar to our results, the multiple enterocin genes have been identified in E. faecium isolated from various kinds of cheese such as Greek Feta cheese (de Vuyst et al., 2003), Tunisian Rigouta cheese (Ghrairi et al., 2008), Turkish Tulum cheese (Avcı and Özden Tuncer, 2017; Özden Tuncer et al., 2013), Turkish Beyaz cheese (Avcı and Özden Tuncer, 2017), and Brazilian goat coalho cheese (Almeida et al., 2022).

Figure 4. PCR amplification of known-enterocin gene fragments from E. faecium BT29.11. Line 1: entA (126 bp), line 2: entB (162 bp), line 3: entP, line 4: entQ, line 5: entX (~450 bp), line 6: entAS48, line 7: entL50A/B, line 8: ent1071A/B, line 9: bac31, line 10: munKS, line 11: entCRL35, M: GeneRuler 100 bp DNA ladder (Thermo Scientific, ≠SM0243, Lithuania), line 12: E. faecium EYT17 (entA+), line 13: E. faecium EYT17 (entB+), line 14: E. faecium EYT17 (entP+), line 15: E. mundtii YB6.30 (munKS+), line 16: water (negative control).

Technological properties of E. faecium BT29.11

The E. faecium BT29.11 reduced the pH of the RSM medium from 6.47 ±0.006 to 6.06 ±0.009 and 5.65 ±0.004 at the 6th and 24th hour of incubation, respectively. The ΔpH values of the E. faecium BT29.11 after incubation for 6 and 24 h in a RSM medium were calculated as 0.41 ±0.004 and 0.82 ±0.001, respectively. Bradley et al. (1992) classified the cultures as fast, moderate, or slow acid producers from lactose when ∆pH was achieved at >1.5, 1.00–1.50, and <1.00, respectively. Therefore, the acid production ability of the E. faecium BT29.11 was found to be slow at both the 6th and 24th hour of incubation. Previous studies indicated that enterococci exhibited generally low or moderate milk-acidifying ability (Dapkevicius et al., 2021; Giraffa, 2003; Graham et al., 2020). Strains to be used as starter cultures in cheese production are expected to reduce the pH of the milk to 5.3 after 6 h of incubation at 30–37°C (Beresford et al., 2001). Although enterococci are not good starter culture candidates for cheese production due to their low acid-production abilities, they can be used as adjunct starter cultures together with fast acid-producing cultures due to other beneficial technological properties such as esterolytic activity, peptidase activity, citrate breakdown, and bacteriocin production (Graham et al., 2020; Öztürk et al., 2023; Terzić-Vidojević et al., 2021).

E. faecium BT29.11 did not show proteolytic and lipolytic activity on calcium caseinate agar and spirit blue agar, respectively. Proteolytic and lipolytic activity is generally low or absent in enterococci, and these properties are strain- and species-dependent (Giraffa, 2003). Although the extracellular proteolytic and lipolytic activity in enterococci was found to be low or absent in general (Terzić-Vidojević et al., 2021), enzyme profile studies revealed that enterococci strains have peptidase and esterase activities (Abeijón et al., 2006; Tsanasidou et al., 2021).

Probiotic properties of E. faecium BT29.11

The results of the gastrointestinal stress-tolerance ability of bacteriocin-producing E. faecium BT29.11 are given in Table 5. The E. faecium BT29.11 cell number decreased to an undetectable level at pH 1.0 from the first hour of incubation. However, the BT29.11 strain maintained its viability at pH 3.0 and pH 5.0 for 4 h and exhibited high tolerance to simulated gastric juice at pH 3.0. In addition, the BT29.11 strain was grown in MRS broth supplemented with bile salt (0.3, 0.5, and 1%, w/v), phenol (0.4%, w/v), and lysozyme (100 ppm) (Table 5). Probiotic bacteria must be able to survive the harsh conditions of the gastrointestinal system, such as bile salt and stomach/gastric juice pH, in order to reach the intestine in an active and alive manner and provide the expected health benefits to the host (Zommiti et al., 2018). Our findings are in line with those reported by other authors for Enterococcus species with antibacterial activity isolated from various kinds of cheese, suggesting that the bacteriocin-producing E. faecium BT29.11 could have the capacity to reach and survive in the intestinal lumen (Ahmadova et al., 2013; Kouhi et al., 2022; Nami et al., 2019; Özkan et al., 2021).

Table 5. Gastrointestinal stress tolerance ability of bacteriocin-producing E. faecium BT29.11.

Treatment Time (hour) E. faecium BT29.11
(Log CFU/mL)
Survival at low pH    
pH 1.0 0
1
2
3
4
8.01±0.06
<1
<1
<1
<1
pH 3.0 0
1
2
3
4
8.26±0.15
8.45±0.04
8.45±0.07
8.05±0.18
6.64±0.23
pH 5.0 0
1
2
3
4
8.30±0.06
8.54±0.14
8.51±0.01
8.51±0.01
8.47±0.14
pH 7.2 (control) 0
1
2
3
4
8.25±0.03
8.66±0.01
8.66±0.01
8.61±0.03
8.65±0.02
Resistance to bile salt    
0.3% 0
24
6.90±0.24
8.61±0.22
0.5% 0
24
7.05±0.07
8.03±0.05
1% 0
24
7.05±0.05
7.17±0.16
Control (without bile salt) 0
24
7.01±0.05
8.91±0.07
Resistance to simulated gastric juice
pH 2.0 0
3
9.08±0.11
<1
pH 3.0 0
3
9.01±0.05
8.87±0.04
Survival in the presence of phenol
0.4% 0
24
7.28±0.06
7.44±0.14
Control (without phenol) 0
24
7.37±0.09
8.26±0.04
Resistance to lysozyme
100 ppm 0
24
7.35±0.098
8.92±0.065
Control (without lysozyme) 0
24
7.36±0.020
8.92±0.025

The autoaggregation value of E. faecium BT29.11 and L. monocytogenes ATCC 7644 was recorded to be 56.89 ±2.47% and 25.35 ±1.89%, respectively. In addition, the coaggregation rate of the BT29.11 with ATCC 7644 was found to be 43.95 ±1.78%. Autoaggregation and coaggregation are two significant phenotypic traits that can be used in the selection of a potential probiotic strain, which are described as the bacterial accumulation of the same species and of distinct species, respectively (Collado et al., 2007). The autoaggregation of the probiotic strains is associated with adherence to epithelial cells, whereas coaggregation serves as a defensive barrier against pathogenic microorganism colonization (Nami et al., 2019). The results of autoaggregation of the E. faecium BT29.11 and its coaggregation with L. monocytogenes ATCC 7644 were found compatible with the bacteriocin-producing E. faecium AQ71 isolated from Azerbaijani Motal cheese by Ahmadova et al. (2013).

The hydrophobicity value of E. faecium BT29.11 was found to be 44.35 ±0.71%. Son et al. (2018) stated that the hydrophobicity values of bacteria that have the potential to be used as probiotics should be over 40%. Cell surface hydrophobicity, which plays a significant role in the ability of probiotics to adhere to epithelial cells, is another phenotypic feature considered in the selection of probiotic strains (de Melo Pereira et al., 2018). Contrary to our result, Favaro et al. (2014) reported that all bacteriocin-producing E. faecium ST209GB, ST278GB, ST315GB, and ST711GB strains isolated from homemade white-brined cheese have low hydrophobicity (9.16%, 9.85%, 7.92%, and 10.23%, respectively). However, Nami et al. (2019) indicated that the hydrophobicity values of bacteriocin producer Enterococcus strains isolated from artisanal dairy products were between 23.3 ±1.6% and 58.6 ±2.3%. Özkan et al. (2021) reported that the hydrophobicity values of nine E. faecium strains isolated from Turkish Tulum cheese ranged from 9.42% to 76.48%, which is higher than our findings.

The results obtained from the analyses to determine the probiotic properties of the bacteriocin-producing E. faecium BT29.11 showed that the BT29.11 strain has the potential to be used as a probiotic culture. Similar to our findings, Zommiti et al. (2018), Nami et al. (2019), and Özkan et al. (2021) reported that E. faecium strains isolated from dairy products that have antimicrobial activity are good candidates for probiotics.

Safety evaluation of E. faecium BT29.11

Enterococcus faecium BT29.11 showed no hemolytic activity on sheep blood agar and was thus identified as ɣ-hemolytic. Hemolysin, a bacterial toxin, plays an important role in human infections. β-hemolytic activity is mostly observed in clinical Enterococcus isolates (Semedo et al., 2003). Enterococci with β-hemolytic activity are not recommended for use as starter, protective, or probiotic cultures in fermented food production (de Vuyst et al., 2003; Yogurtcu and Tuncer, 2013). It was also determined that the BT29.11 strain did not hydrolyze gelatin. Gelatinase is an extracellular metalloendopeptidase produced by enterococci that can hydrolyze gelatin, collagen, casein, hemoglobin, insulin, and some bioactive peptides (Su et al., 1991). The fact that the E. faecium BT29.11 is both non-hemolytic and gelatinase-negative is an advantage for the safety of the strain. Similar to our findings, ɣ-hemolytic and gelatinase-negative bacteriocin-producing E. faecium strains have been isolated from fermented food such as cheese (Avcı and Özden Tuncer, 2017), cereal-based beverage boza (Gök Charyyev et al., 2019), and Korean fermented cabbage kimchi (Valledor et al., 2022).

The antibiotic disc diffusion test results showed that E. faecium BT29.11 was found to be susceptible to ampicillin, chloramphenicol, doxycycline, gentamicin, linezolid, minocycline, norfloxacin, penicillin G, quinupristin/dalfopristin, streptomycin, teicoplanin, tetracycline, and vancomycin. On the other hand, the BT29.11 strain was found to be resistant to ciprofloxacin, levofloxacin, nitrofurantoin, and rifampin, as well as intermediate to erythromycin. These results are in accordance with the results previously obtained by Yogurtcu and Tuncer (2013) and Jahansepas et al. (2020). Yogurtcu and Tuncer (2013) found that 21 E. faecium strains isolated from Turkish Tulum cheese were susceptible to ampicillin, chloramphenicol, gentamicin, norfloxacin, penicillin G, streptomycin, and vancomycin. Jahansepas et al. (2020) reported that all eight E. faecium strains isolated from various traditional Iranian cheese were susceptible to ampicillin, gentamicin, linezolid, penicillin G, quinupristin/dalfopristin, streptomycin, teicoplanin, and vancomycin, as well as seven of eight to doxycycline. In addition, researchers found that 75% of E. faecium strains were resistant to rifampicin and ciprofloxacin. The sensitivity of enterococci to glycopeptides such as vancomycin is the major factor in evaluating their safety (Zommiti et al., 2018). Vancomycin and linezolid are used as a last resort in the treatment of hospital infections caused by enterococci with multiple antibiotic resistance (Chajęcka-Wierzchowska et al., 2020). The susceptibility of the BT29.11 strain to clinically important antibiotics is an advantage for using it as a probiotic adjunct culture. Previous research found that intermediate or full resistance to erythromycin is common in Enterococcus strains isolated from foods of animal origin (Demirgül and Tuncer, 2017; Özdemir and Tuncer, 2020; Özkan et al., 2021; Yogurtcu and Tuncer, 2013; Zommiti et al., 2018).

In addition, the presence of transferable antibiotic resistance genes in the E. faecium BT29.11 was investigated by PCR. Only the ermC gene has been identified in the BT29.11 strain, which is moderately resistant to erythromycin. Similar to our results, Ruiz et al. (2016) and Demirgül and Tuncer (2017) reported that the ermC gene was found in erythromycin-intermediate Leuconostoc and Enterococcus strains, respectively. The other transferable antibiotic resistance genes were not detected in the E. faecium BT29.11 strain. The PCR results showed a correlation with the antibiotic disc diffusion test results.

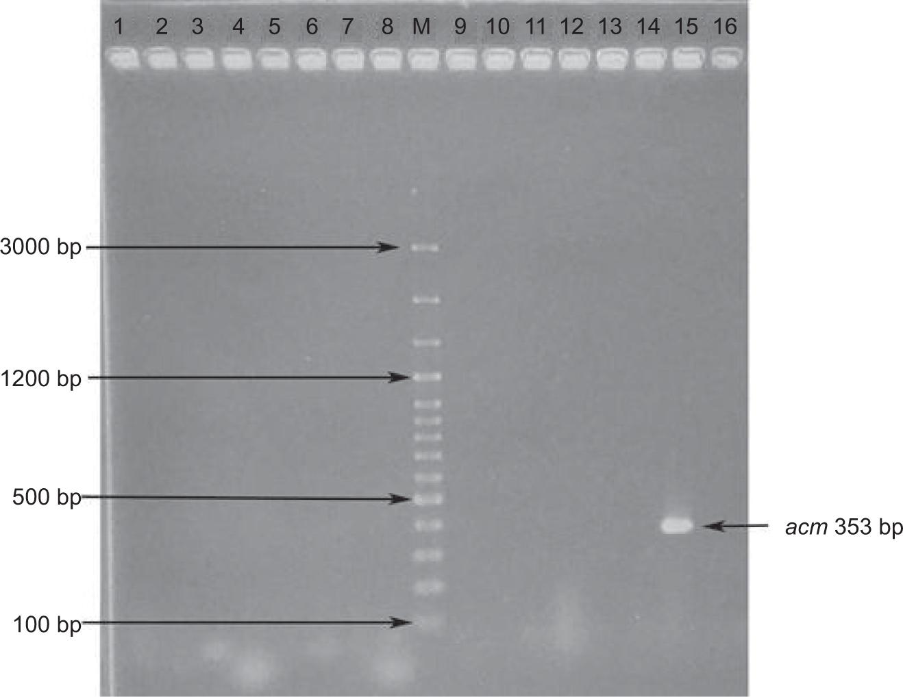
Another safety evaluation criterion for Enterococcus strains is the presence of virulence factors. In this context, the presence of 16 genes encoding virulence factors in the E. faecium BT29.11 was investigated by PCR. The PCR results showed that the BT29.11 strain contains only the acm gene (Figure 5), which encodes collagen-binding protein that may confer the ability to adhere to and colonize the eukaryotic cells (Chajęcka-Wierzchowska et al., 2017). The term “virulence factor” refers not only to elements that promote pathogenicity and infection but also to elements related to cell adhesion and host defense (Li et al., 2018). The collagen adhesion protein is not regarded as a real virulence determinant but rather a factor that promotes colonization and persistence in the intestinal tract (Domann et al., 2007). Similar to our results, collagen-binding protein encoded gene acm was also detected in probiotic strains such as E. faecalis Symbioflor 1 (Domann et al., 2007), E. faecium SF68 (Holzapfel et al., 2018), and E. faecium LBB.E81 (Urshev and Yungareva, 2021).

Figure 5. PCR amplification of virulence factor genes fragments from E. faecium BT29.11. Line 1: efaAfs, line 2: efaAfm, line 3: espfs, line 4: espfm, line 5: cad, line 6: ccf, line 7: cpd, line 8: cob, M: 100 bp DNA ladder plus (Hibrigen Biyoteknoloji, MG-LDR-100P, Türkiye), line 9: agg, line 10: gelE, line 11: hyl, line 12: cylM, line 13: cylB, line 14: cylA, line 15: acm (353 bp) line 16: ace.

Inhibitory activity of E. faecium BT29.11 against L. monocytogenes in UHT whole milk

The inhibitory activity of E. faecium BT29.11 against L. monocytogenes ATCC 7644 was tested in UHT whole milk. Both E. faecium BT29.11 and BT29.11 plus ATCC 7644 (co-culture) reduced the pH of UHT milk from 6.62 to 5.02 after 24 h of incubation at 30°C. However, the L. monocytogenes ATCC 7644 control strain decreased the pH of UHT milk from 6.64 to 6.53 after 24 h of incubation. Bacteriocin production in both E. faecium BT29.11 control culture and co-culture was measured at 1,600 AU/mL after 4 h of incubation at 30°C. It was determined that bacteriocin production increased to 12,800 AU/mL at the 8th hour of incubation at 30°C and remained constant during 2 days of storage at 4°C (Figure 6). In control cultures, after 24 h of incubation at 30°C, the cell numbers of E. faecium BT29.11 and L. monocytogenes ATCC 7644 strains reached 9.82 and 8.46 Log CFU/mL, respectively. The number of cells kept growing in L. monocytogenes during storage at 4ºC for 2 days. When E. faecium BT29.11 and L. monocytogenes ATCC 7644 strains were co-cultured, BT29.11 cell number reached 10.04 Log CFU/mL after 24 h of incubation at 30°C as in the control of BT29.11, while ATCC 7644 cell number decreased from 3.20 to 2.34 Log CFU/mL. During storage, it was found that the number of E. faecium BT29.11 cells kept going up, but the number of L. monocytogenes ATCC 7644 cells reduced to 1.88 Log CFU/mL. However, complete L. monocytogenes elimination was not reached (Figure 6). Similar to our results, Rehaiem et al. (2012) reported that in the absence of entrocin-producing E. faecium MMRA, L. monocytogenes CECT 4032 grew rapidly in commercial pasteurized whole milk, with viable counts reaching 109 CFU/mL in the first 24 h and growing further during 2 days of storage at 4ºC; in the presence of the enterocin producer, L. monocytogenes levels were lowered from 106 to 102 CFU/mL in the first 24 h and further throughout the 2 days of storage. However, total clearance of L. monocytogenes was not achieved, as confirmed in this study.

Figure 6. Inhibitory activity of E. faecium BT29.11 against L. monocytogenes ATCC 7644 in UHT whole milk at 30°C for 24 h of incubation and at 4°C for 2 days of storage. (●) E. faecium BT29.11 (control), (○) E. faecium BT29.11 (co-culture), (■) L. monocytogenes ATCC 7644 (control), (□) L. monocytogenes ATCC 7644 (co-culture). Dark bars: bacteriocin activity of E. faecium BT29.11 (control), gray bars: bacteriocin activity of E. faecium BT29.11 (co-culture).

Conclusions

The antilisterial BT29.11 isolate, previously isolated from Turkish Beyaz cheese, was identified in E. faecium. The results revealed that E. faecium BT29.11 has the strongest inhibitory action against L. monocytogenes, followed by S. aureus and vancomycin-resistant enterococci, and that it has three enterocin genes: entA, entB, and entX. The technological and probiotic properties of E. faecium BT29.11 demonstrated that it can be used as an adjunct probiotic starter culture. E. faecium BT29.11 was found to be nonhemolytic, gelatinase-negative, and susceptible to clinically relevant antibiotics. The only genes detected in E. faecium BT29.11 were ermC and acm. E. faecium BT29.11 grew and produced bacteriocin in UHT milk and reduced the growth of L. monocytogenes both at 30ºC for 24 h of incubation and at 4ºC for 2 days of storage. The antilisterial E. faecium BT29.11 may be used as a probiotic adjunct culture in fermented food products such as cheese and sausage. In addition, a bacteriocin produced by E. faecium BT29.11 may be used to control vancomycin-resistant enterococci in the food industry. Further studies should investigate the potential use of the enterocin-producing E. faecium BT29.11 as an adjunct culture in manufacturing of fermented foods in model food systems, and assess whether or not its presence inhibits the growth of other starter cultures.

Acknowledgements

This research was supported by the Scientific Research Projects Coordination Unit of Süleyman Demirel University (Isparta, Türkiye) under Project No. FYL-2022-8837.

Author Contributions

Conceptualization: Özden Tuncer B. Methodology: Özden Tuncer B. Investigation: Toplu MS, Özden Tuncer B. Project administration: Özden Tuncer B. Writing – original draft: Özden Tuncer B. Writing - review & editing: Toplu MS, Özden Tuncer B.

Conflict of Interest

The authors declare no potential conflicts of interest.

REFERENCES

Abeijón, M.C., Medina, R.B., Katz, M.B. and González, S.N., 2006. Technological properties of Enterococcus faecium isolated from ewe’s milk and cheese with importance for flavour development. Canadian Journal of Microbiology 52: 237–245. 10.1139/w05-136

Ahmadova, A., Todorov, S.D., Choiset, Y., Rabesona, H., Mirhadi Zadi, T., Kuliyev, A., et al. 2013. Evaluation of antimicrobial activity, probiotic properties and safety of wild strain Enterococcus faecium AQ71 isolated from Azerbaijani Motal cheese. Food Control. 30(2): 631–641. 10.1016/j.foodcont.2012.08.009

Almeida, T.Jd., de Oliveira, A.P.D., Santos, T.M.B. and Dias, F.S., 2022. Antistaphylococcal and antioxidant activities of bacteriocinogenic lactic acid bacteria and essential oil in goat coalho cheese. Journal of Applied Microbiology 133: 2014–2026. 10.1111/jam.15713

Altınkaynak, T. and Tuncer, Y., 2020. Chracterisation of bacteriocin produced by antilisterial Enterococcus mundtii YB6.30 isolated from fermented sucuk. The Journal of Food/Gıda 45(5): 963–976. 10.15237/gida.GD20081

Avcı, M. and Özden Tuncer, B., 2017. Safety evaluation of enterocin producer Enterococcus sp. strains isolated from traditional Turkish cheeses. Polish Journal of Microbiology 66(2): 223–233. 10.5604/01.3001.0010.7839

Basson, A., Flemming, L.A. and Chenia, H.Y., 2008. Evaluation of adherence, hydrophobicity, aggregation characteristics and biofilm development of Flavobacterium johnsoniae-like isolates from South African aquaculture systems. Microbial Ecology 55: 1–14. 10.1007/s00248-007-9245-y

Ben Belgacem, Z., Abriouel, H., Omar, N.B., Lucas, R., Martinez-Canamero, M., Galvez, A., et al. 2010. Antimicrobial activity, safety aspects, and some technological properties of bacteriocinegenic Enterococcus faecium from artisanal Tunisian fermented meat. Food Control 21: 462–470. 10.1016/j.foodcont.2009.07.007

Beresford, T.P., Fitzsimons, N.A., Brennan, N.L. and Cogan, T.M., 2001. Recent advances in cheese microbiology. International Dairy Journal 11: 259–274. 10.1016/S0958-6946(01)00056-5

Bradley, R.L., Arnold, E., Barbano, D.M., Semerad, R.G., Smith, D.E. and Vines, B.K., 1992. Chemical and physical methods. In: Marshall R.T., editor. Standard methods for the examination of dairy products. 16th edition, Washington D.C.: American Public Health Association; pp. 433–531.

Brennan, M., Wansmail, B., Johnson, B.C. and Ray, B., 1986. Cellular damage in dried Lactobacillus acidophilus. Journal of Food Protection 49: 47–53. 10.4315/0362-028X-49.1.47

Camargo, I.L.B.C., Gilmore, M.S. and Darini, A.L.C., 2006. Multilocus sequence typing and analysis of putative virulence factors in vancomycin-resistant and vancomycin-sensitive Enterococcus faecium isolates from Brazil. Clinical Microbiology Infection 12(11): 1123–1130. 10.1111/j.1469-0691.2006.01496.x

Cancilla, M.R., Powell, L.B., Hillier, A.J. and Davidson, B.E., 1992. Rapid genomic fingerprinting of Lactococcus lactis strains by arbitrarily primed polymerase chain reaction with 32P and fluorescent labels. Applied Environmental Microbiology 58(5): 1772–1775. 10.1128/aem.58.5.1772-1775.1992

Cariolato, D., Andrighetto, C. and Lombardi, A., 2008. Occurrence of virulence factors and antibiotic resistances in Enterococcus faecalis and Enterococcus faecium collected from dairy and human samples in North Italy. Food Control 19: 886–892. 10.1016/j.foodcont.2007.08.019

Chajęcka-Wierzchowska, W., Zadernowska, A. and García-Solache, M., 2020. Ready-to-eat dairy products as a source of multidrug-resistant Enterococcus strains: phenotypic and genotypic characteristics. Journal of Dairy Science 103(5): 4068–4077. 10.3168/jds.2019-17395

Chajęcka-Wierzchowska, W., Zadernowska, A. and Łaniewska-Trokenheim, Ł., 2017. Virulence factors of Enterococcus spp. presented in food. LWT-Food Science and Technology 75: 670–676. 10.1016/j.lwt.2016.10.026

CLSI. 2020. Performance standards for antimicrobial susceptibility testing. 30th ed. CLSI supplement M100. Clinical and Laboratory Standards Institute, Wayne, PA.

Collado, M.C., Meriluoto, J. and Salminen, S., 2007. Measurement of aggregation properties between probiotics and pathogens: in vitro evaluation of different methods. Journal of Microbiological Methods 71: 71–74. 10.1016/j.mimet.2007.07.005

Conway, P.L., Gorbach, S.L. and Goldin, B.R., 1987. Survival of lactic acid bacteria in the human stomach and adhesion to intestinal cells. Journal of Dairy Science 70:1–12. 10.3168/jds.S0022-0302(87)79974-3

Dapkevicius, M.dL.E., Sgardioli, B., Câmara, S.P.A., Poeta, P. and Malcata, F.X., 2021. Current trends of enterococci in dairy products: a comprehensive review of their multiple roles. Foods 10: 821. 10.3390/foods10040821

de Melo Pereira, G.V., de Oliveira Coelho, B., Júnior, A.I.M., Thomaz-Soccol, V. and Soccol, C.R., 2018. How to select a probiotic? A review and update of methods and criteria. Biotechnology Advances 36: 2060–2076. 10.1016/j.biotechadv.2018.09.003

de Vuyst L., Foulquié Moreno, MR., Revets H., 2003. Screening for enterocins and detection of hemolysin and vancomycin resistance in enterococci of different origins. International Journal of Food Microbiology 84(3): 299–318. 10.1016/S0168-1605(02)00425-7

de Vuyst. L. and Vandamme, E.J., 1994. Bacteriocins of lactic acid bacteria, microbiology, genetics and applications. Chapman and Hall, New York.

Demirgül, F. and Tuncer, Y., 2017. Detection of antibiotic resistance and resistance genes in enterococci isolated from Sucuk, a traditional Turkish dry-fermented sausage. Korean Journal for Food Science of Animal Resources 37(5): 670–681. 10.5851/kosfa.2017.37.5.670

Depardieu, F., Perichon, B. and Courvalin, P., 2004. Detection of van alphabet and identification of enterococci and staphylococci at the species level by multiplex PCR. Journal of Clinical Microbiology 42(12): 5857–5860. 10.1128/FJCM.42.12.5857-5860.2004

Domann, E., Hain, T., Ghai, R., Billion, A., Kuenne, C., Zimmermann, K., et al. 2007. Comparative genomic analysis for the presence of potential enterococcal virulence factors in the probiotic Enterococcus faecalis strain Symbioflor 1. International Journal of Medical Microbiology 297(7–8): 533–539. 10.1016/j.ijmm.2007.02.008

Dutka-Malen, S., Evers, S. and Courvalin, P., 1995. Detection of glycopeptide resistance genotypes and identification to the species level of clinically relevant enterococci by PCR. Journal of Clinical Microbiology 33(1): 24–27. 10.1128/jcm.33.1.24-27.1995

Eaton, T. and Gasson, M.J., 2001. Molecular screening of Enterococcus virulence determinants and potential for genetic exchange between food and medical isolates. Applied and Environmental Microbiology 67: 1628–1635. 10.1128/FAEM.67.4.1628-1635.2001

Edalatian, M.R., Najafi, M.B.H., Mortazavi, S.A., Alegría, Á., Delgado, S., Bassami, M.R., et al. 2012. Production of bacteriocins by Enterococcus spp. isolated from traditional, Iranian, raw milk cheeses, and detection of their encoding genes. European Food Research and Technology 234: 789–796. 10.1007/s00217-012-1697-8

Edwards, U., Rogall, T., Blocker, H., Emde, M. and Bottger, E.C., 1989. Isolation and direct complete nucleotide determination of entire genes. Characterization of a gene coding for 16S ribosomal RNA. Nucleic Acids Research 17: 7843–7853. 10.1093/nar/17.19.7843

Farias, F.M., Teixeira, L.M., Vallim, D.C., Bastos, M.C.F., Miguel, M.A.L. and Bonelli, R.R., 2021. Characterization of Enterococcus faecium E86 bacteriocins and their inhibition properties against Listeria monocytogenes and vancomycin-resistant Enterococcus. Brazilian Journal of Microbiology 52(3): 1513–1522. 10.1007/s42770-021-00494-3

Favaro, L., Basaglia, M., Casella, S., Hue, I., Dousset, X., de Melo Franco, B.D.G., et al. 2014. Bacteriocinogenic potential and safety evaluation of non-starter Enterococcus faecium strains isolated from homemade white brine cheese. Food Microbiology 38: 228–239. 10.1016/j.fm.2013.09.008

Foulquié Moreno, M.R., Sarantinopoulos, P., Tsakalidou, E. and De Vuyst, L., 2006. The role and application of enterococci in food and health. International Journal of Food Microbiology 106(1): 1–24. 10.1016/j.ijfoodmicro.2005.06.026

Franz, C.M.A.P., Toit, M.T., von Holy, A., Schillinger, U. and Holzapfel, W.H., 1997. Production of nisin-like bacteriocins by Lactococcus lactis strains isolated from vegetables. Journal of Basic Microbiology 37(3): 187–196. 10.1002/jobm.3620370307

Franz, C.M.A.P., van Belkum, M.J., Holzapfel, W.H., Abriouel, H. and Galvez, A., 2007. Diversity of enterococcal bacteriocins and their grouping in a new classification scheme. FEMS Microbiology Reviews 31: 293–310. 10.1111/j.1574-6976.2007.00064.x

Garrido, A.M., Gálvez, A. and Pulido, R.P., 2014. Antimicrobial resistance in enterococci. Journal of Infectious Diseases & Therapy 2: 150. 10.4172/2332-0877.1000150

Ghrairi, T., Frere, J., Berjeaud, J.M. and Manai, M., 2008. Purification and characterisation of bacteriocins produced by Enterococcus faecium from Tunisian Rigouta cheese. Food Control 19(2): 162–169. 10.1016/j.foodcont.2007.03.003

Gilliland, S.E. and Walker, D.K., 1990. Factors to consider when selecting a culture of Lactobacillus acidophilus as a dietary adjunct to produce a hypocholesterolemic effect in humans. Journal of Dairy Science 73: 905–911. 10.3168/jds.s0022-0302(90)78747-4

Giraffa G., 2003. Functionality of enterococci in dairy products. International Journal Food Mibrobiology 88: 215–222. 10.1016/s0168-1605(03)00183-1

Gök Charyyev, M., Özden Tuncer, B., Akpınar Kankaya, D. and Tuncer, Y., 2019. Bacteriocinogenic properties and safety evaluation of Enterococcus faecium YT52 isolated from boza, a traditional cereal based fermented beverage. Journal of Consumer Protection and Food Safety 14(1): 41–53. 10.1007/s00003-019-01213-9

Graham, K., Stack, H. and Rea, R., 2020. Safety, beneficial and technological properties of enterococci for use in functional food applications–a review. Critical Reviews in Food Science and Nutrition 10: 1–26. 10.1080/10408398.2019.1709800

Hanchi, H., Mottawea, W., Sebei, K. and Hammami, R., 2018. The genus Enterococcus: between probiotic potential and safety concerns-an update. Frontiers Microbiology 9: 1791. 10.3389/fmicb.2018.01791

Holzapfel, W., Arini, A., Aeschbacher, M., Coppolecchia, R. and Pot, B.. 2018. Enterococcus faecium SF68 as a model for efficacy and safety evaluation of pharmaceutical probiotics. Beneficial Microbes 9(3): 375–388. 10.3920/bm2017.0148

Inoğlu, Z.N. and Tuncer, Y., 2013. Safety assessment of Enterococcus faecium and Enterococcus faecalis strains isolated from Turkish Tulum cheese. Journal of Food Safety 33: 369–377. 10.1111/jfs.12061

İspirli, H., Demirbaş, F. and Dertli, E., 2017. Characterization of functional properties of Enterococcus spp. isolated from Turkish white cheese. LWT-Food Science and Technology 75: 358–365. 10.1016/j.lwt.2016.09.010

Jackson, C.R., Fedorka-Cray, P.J. and Barrett, J.B., 2004. Use of the genus and species-specific multiplex PCR for identification of enterococci. Journal of Clinical Microbiology 42(8): 3558–3565. 10.1128/jcm.42.8.3558-3565.2004

Jahansepas, A., Sharifi, Y., Aghazadeh, M. and Ahangarzadeh Rezaee, M., 2020. Comparative analysis of Enterococcus faecalis and Enterococcus faecium strains isolated from clinical samples and traditional cheese types in the Northwest of Iran: antimicrobial susceptibility and virulence traits. Archives of Microbiology 202: 765–772. 10.1007/s00203-019-01792-z

Joghataei, M., Yavarmanesh, M. and Dovom, M.R.E. 2017. Safety evaluation and antibacterial activity of enterococci isolated from Lighvan cheese. Journal of Food Safety 37(1): e12289. 10.1111/jfs.12289

Kahn, H., Flint, S. and Yu, P-L., 2010. Enterocins in food preservation. International Journal of Food Microbiology 141(1–2): 1–10. 10.1016/j.ijfoodmicro.2010.03.005

Kouhi, F., Mirzaei, H., Nan, Y., Khandaghi, J. and Javadi, A., 2022. Potential probiotic and safety characterisation of enterococcus bacteria isolated from indigenous fermented motal cheese. International Dairy Journal 126: 105247. 10.1016/j.idairyj.2021.105247

Landeta, G., Curiel, J.A., Carrascosa, A.V., Muñoz, R. and de las Rivas, B., 2013. Technological and safety properties of lactic acid bacteria isolated from Spanish dry-cured sausages. Meat Science 95(2): 272–280. 10.1016/j.meatsci.2013.05.019

Li, B., Zhan, M., Evivie, S.E., Jin, D., Zhao, L., Chowdhury, S., et al. 2018. Evaluating the safety of potential probiotic Enterococcus durans KLDS6.0930 using whole genome sequencing and oral toxicity study. Frontiers Microbiology 9: 1943. 10.3389/fmicb.2018.01943

Martín, B., Hugas, M., Bover-Cid, S., Veciana-Nogués, M.T. and Aymerich, T., 2006. Molecular, technological and safety characterization of Gram-positive catalase positive cocci from slightly fermented sausages. International Journal of Food Microbiology 107: 148–158. 10.1016/j.ijfoodmicro.2005.08.024

Nami, Y., Vaseghi Bakhshayesh, R., Mohammadzadeh Jalaly, H., Lotf, H., Eslami, S. and Hejazi, M.A., 2019. Probiotic properties of Enterococcus isolated from artisanal dairy products. Frontiers Microbiology 10: 1685. 10.3389/fmicb.2019.00300

Niu, H., Yu, H., Hu, T., Tian, G., Zhang, L., Guo, X., et al. 2016. The prevalence of aminoglycoside-modifying enzyme and virulence genes among enterococci with high-level aminoglycoside resistance in Inner Mongolia, China. Brazilian Journal of Microbiology 47: 691–696. 10.1016/j.bjm.2016.04.003

Ouoba, L.I.I., Lei, V. and Jensen, L.B., 2008. Resistance of potential probiotic lactic acid bacteria and bifidobacteria of African and European origin to antimicrobials: determination and transferability of the resistance genes to other bacteria. International Journal of Food Microbiology 121: 217–224. 10.1016/j.ijfoodmicro.2007.11.018

Özdemir, R. and Tuncer, Y., 2020. Detection of antibiotic resistance profiles and aminoglycoside-modifying enzyme (AME) genes in high-level aminoglycoside-resistant (HLAR) enterococci isolated from milk and traditional cheeses in Turkey. Molecular Biology Reports 47: 1703–1712. 10.1007/s11033-020-05262-4

Özden Tuncer, B., Ay, Z. and Tuncer, Y., 2013. Occurrence of enterocin genes, virulence factors and antibiotic resistance in three bacteriocin producer Enterococcus faecium strains isolated from Turkish Tulum cheese. Turkish Journal of Biology 37: 443–449. 10.3906/biy-1209-26

Özkalp, B., Özden, B., Tuncer, Y., Şanlıbaba, P. and Akçelik, M., 2007. Technological characterization of wild-type Lactococcus lactis strains isolated from raw milk and traditional fermented milk products in Turkey. Lait 87: 521–534. 10.1051/lait:2007033

Özkan, E.R., Demirci, T. and Akın, N., 2021. In vitro assessment of probiotic and virulence potential of Enterococcus faecium strains derived from artisanal goatskin casing Tulum cheeses produced in central Taurus Mountains of Turkey. LWT-Food Science and Technology 141: 110908. 10.1016/j.lwt.2021.110908

Özmen Toğay, S., Ay, M., Güneşer, O. and Yüceer, Y.K., 2016. Investigation of antimicrobial activity and entA and entB genes in Enterococcus faecium and Enterococcus faecalis strains isolated from naturally fermented Turkish white cheeses. Food Science and Biotechnology 25(6): 1633–1637. 10.1007/s10068-016-0251-z

Öztürk, H., Geniş, B., Özden Tuncer, B. and Tuncer, Y., 2023. Bacteriocin production and technological properties of Enterococcus mundtii and Enterococcus faecium strains isolated from sheep and goat colostrum. Veterinary Research Communications. Online ahead of print. 10.1007/s11259-023-10080-7

Rehaiem, A., Martínez, B., Manai, M. and Rodríguez, A., 2012. Technological performance of the enterocin A producer Enterococcus faecium MMRA as a protective adjunct culture to enhance hygienic and sensory attributes of traditional fermented milk ‘Rayeb’. Food and Bioprocess Technology 5(6): 2140–2150. 10.1007/s11947-010-0501-7

Reviriego, C., Eaton, T., Martin, R., Jimenez, E., Fernandez, L., Gasson, M.J., et al. 2005. Screening of virulence determinants in Enterococcus faecium strains isolated from breast milk. Journal of Human Lactation 21(2): 131–137. 10.1177/0890334405275394

Ruiz, P., Barragan, I., Sesena, S. and Palop, M.L., 2016. Functional properties and safety assessment of lactic acid bacteria isolated from goat colostrum for application in food fermentations. International Journal of Dairy Technology 69(4): 559–568. 10.1111/1471-0307.12293

Ryan, M.P., Rea, M.C., Hill, C. and Ross, R.P., 1996. An application in cheddar cheese manufacture for a strain of Lactococcus lactis producing a novel broad spectrum bacteriocin lacticin 3147. Applied and Environmental Microbiology 62: 612–619. 10.1128/aem.62.2.612-619.1996

Sahoo, T.K., Jena, P.K., Nagar, N., Patel, A.K. and Seshadri, S., 2015. In vitro evaluation of probiotic properties of lactic acid bacteria from the gut of Labeo rohita and Catla catla. Probiotics and Antimicrobial Proteins 7: 126–136. 10.1007/s12602-015-9184-8

Semedo, T., Santos, M.A., Martins, P., Lopes, M.F.S., Marques, J.J.F., Tenreiro, R., et al. 2003. Comparative study using type strains and clinical and food isolates to examine hemolytic activity and occurrence of the cyl operon in enterococci. Journal of Clinical Microbiology 41(6): 2569–2576. 10.1128/jcm.41.6.2569-2576.2003

Settanni, L., Guarcello, R., Gaglio, R., Francesco, N., Aleo, A., Felis, G.E., et al. 2014. Production, stability, gene sequencing and in situ anti-Listeria activity of mundticin KS expressed by three Enterococcus mundtii strains. Food Control 35: 311–322. 10.1016/J.FOODCONT.2013.07.022

Son, S-H., Yang, S-J., Jeon, H-L., Yu, H-S., Lee, N-K., Park, Y-S., et al. 2018. Antioxidant and immunostimulatory effect of potential probiotic Lactobacillus paraplantarum SC61 isolated from Korean traditional fermented food, jangajji. Microbial Pathogenesis 125: 486–492. 10.1016/j.micpath.2018.10.018

Su, Y.A., Sulavik, M.C., He, P., Makinen, K.K., Makinen, P., Fiedler, S., et al. 1991. Nucleotide sequence of the gelatinase gene (gelE) from Enterococcus faecalis subsp. liquefaciens. Infection and Immunity 59: 415–420. 10.1128/iai.59.1.415-420.1991

Teply, M., 1984. Ciste Mlekarske Kultury. Phara. SNTL Nakladatelstvi. Technicke Litertury. In: Kurmann J.A., editor. Starters for Fermented Milks. IDF Bulletin 227: 41–55.

Terzić-Vidojević, A., Veljović, K., Popović, N., Tolinački, M. and Golić, N., 2021. Enterococci from raw-milk cheeses: current knowledge on safety, technological, and probiotic concerns. Foods 10: 2753. 10.3390/foods10112753

Tsanasidou, C., Asimakoula, S., Sameli, N., Fanitsios, C., Vandera, E., Bosnea, L., et al. 2021. Safety evaluation, biogenic amine formation, and enzymatic activity profiles of autochthonous enterocin-producing Greek cheese isolates of the Enterococcus faecium/durans group. Microorganisms 9(4): 777. 10.3390/microorganisms9040777

Urshev, Z. and Yungareva, T., 2021. Initial safety evaluation of Enterococcus faecium LBB.E81. Biotechnology & Biotechnological Equipment 35(1): 11–17. 10.1080/13102818.2020.1840438

Vakulenko, S.B., Donabedian, S.M., Voskresenskiy, A.M., Zervos, M.J., Lerner, S.A. and Chow, J.W., 2003. Multiplex PCR for detection of aminoglycoside resistance genes in enterococci. Antimicrobial Agents and Chemotherapy 47(4): 1423–1426. 10.1128/FAAC.47.4.1423-1426.2003

Valledor, S.J.D., Dioso, C.M., Bucheli, J.E.V., Park, Y.J., Suh, D.H., Jung, E.S., et al. 2022. Characterization and safety evaluation of two beneficial, enterocin-producing Enterococcus faecium strains isolated from kimchi, a Korean fermented cabbage. Food Microbiology 102: 103886. 10.1016/j.fm.2021.103886

van Belkum, M.J., Hayema, B.J., Geis, A., Kok, J. and Venema, G., 1989. Cloning of two bacteriocin genes from a lactococcal bacteriocin plasmid. Applied and Environmental Microbiology 55: 1187–1191. 10.1128/Faem.55.5.1187-1191.1989

Vankerckhoven, V., Autgaerden, T.V., Vael, C., Lammens, C., Chapelle, S., Rossi, R., et al. 2004. Development of a multiplex PCR for the detection of asa1, gelE, cylA, esp, and hyl genes in enterococci and survey for virulence determinants among European hospital isolates of Enterococcus faecium. Journal of Clinical Microbiology 42(10): 4473–4479. 10.1128/jcm.42.10.4473-4479.2004

Vinderola, C.G. and Reinheimer, J.A., 2003. Lactic acid starter and probiotic bacteria: a Comparative “in vitro’’ study of probiotic characteristics and biological barrier resistance. Food Research International 36: 895–904. 10.1016/S0963-9969(03)00098-X

Yang, J-M. and Moon G-S., 2021. Partial characterization of an anti-listerial bacteriocin from Enterococcus faecium CJNU 2524. Food Science of Animal Resources 41(1): 164–171. 10.5851/kosfa.2020.e98

Yogurtcu, N.N. and Tuncer, Y., 2013. Antibiotic susceptibility patterns of Enterococcus strains isolated from Turkish Tulum cheese. International Journal of Dairy Technology 66(2): 236–242. 10.1111/1471-0307.12014

Yousif, N.M.K., Dawyndt, P., Abriouel, H., Wijaya, A., Schillinger, U., Vancanneyt, M., et al. 2005. Molecular characterization, technological properties and safety aspects of enterococci from “Hussuwa”, an African fermented sorghum product. Journal of Applied Microbiology 96: 216–228. 10.1111/j.1365-2672.2004.02450.x

Zendo, T., Eungruttanagorn, N., Fujioka, S., Tashiro, Y., Nomura, K., Sera, Y., et al. 2005. Identification and production of a bacteriocin from Enterococcus mundtii QU 2 isolated from soybean. Journal of Applied Microbiology 99: 1181–1190. 10.1111/j.1365-2672.2005.02704.x

Zommiti, M., Cambronel, M., Maillot, O., Barreau, M., Sebei, K., Feuilloley, M., et al. 2018. Evaluation of probiotic properties and safety of Enterococcus faecium isolated from artisanal Tunisian meat “Dried Ossban”. Frontiers Microbiology 9: 1685. 10.3389/Ffmicb.2018.01685