Download

ORIGINAL ARTICLE

Antibacterial and anticancer activities of cardamom volatile oil and its application in food covering

Tahani M. Alqahtani1*, Ebtisam G. R. Ebrahim2, Abeer S. Aloufi3, Sayed S. El-Saadany2, Enas A. Almanzalawi1, Ahmed Awad2, Gehad S. Eldeeb4*, Lamiaa M. El-Maghraby2

1Department of Biological Sciences, Faculty of Science, King Abdulaziz University, Jeddah 21589, Saudi Arabia;

2Department of Biochemistry, Faculty of Agriculture, Zagazig University, Zagazig, 44511, Egypt;

3Department of Biology, College of Science, Princess Nourah bint Abdulrahman University, P.O. Box 84428, Riyadh 11671, Saudi Arabia;

4Department of Food Technology, Faculty of Agriculture, Suez Canal University, Ismailia, 41522, Egypt

Abstract

Phytochemicals and bioactive compounds in medicinal plants significantly benefit human health and well-being. Cardamom essential oil (CEO) exhibits potential as a broad-spectrum antimicrobial and anticancer agent. A modified Kirby-Bauer disc diffusion technique was used to test cardamom essential oil’s antimicrobial activity and identify the inhibition zone. Staphylococcus aureus (ATCC 6538) and Bacillus cereus (ATCC6629) are two examples of Gram-positive bacteria against which the essential oil was evaluated for antibacterial activity. Gram-negative microorganisms such as Pseudomonas aeruginosa (ATCC 27853), Escherichia coli (ATCC25922), and yeast Candida albicans were also evaluated for antimicrobial activity. The essential oil was assessed further against human liver (HEPG-2) and breast (MCF7) cell lines for anticancer properties. The findings suggest that, compared to the control, cardamom essential oil exhibits a significant zone of inhibition against all types of microbes except Pseudomonas aeruginosa. Additionally, for anti-cancer actions, the IC50 values were 42.3 µg/ml for MCF7 and 54 µg/ml for HEPG-2 cell lines, while IC90 results for MCF7 were 68.9 µg/ml and for HEPG-2 cell line were 80.7 µg/ml. The essential oil was developed in functional coating to preserve the postharvest mango fruit for 60 days at cold storage. The treated fruit showed reduced weight loss (10%), with a relative reduction of 78% compared to the control, chilling injury incidence (2.5%) at day 45, and rind pitting (3%) at day 30 compared to the control. This therapeutic plant may yield novel compounds for broad-spectrum antimicrobial and anticancer medicines and be transformed into economical and secure standardized herbal products.

Key words: active coating, antibacterial, anticancer, cardamom essential oil, 1,8-cineole, chilling injury, mango

*Corresponding Authors: Tahani M. Alqahtani, Department of Biological Sciences, Faculty of Science, King Abdulaziz University, Jeddah 21589, Saudi Arabia. Email: [email protected]; Gehad S. Eldeeb, Department of Food Technology, Faculty of Agriculture, Suez Canal University, Ismailia, 41522, Egypt. Email: [email protected]

Received: 2 February 2024; Accepted: 2 June 2024; Published: 3 July 2024

DOI: 10.15586/ijfs.v36i3.2534

© 2024 Codon Publications
This is an Open Access article distributed under the terms of the Creative Commons Attribution-NonCommercial-ShareAlike 4.0 International (CC BY-NC-SA 4.0). License (http://creativecommons.org/licenses/by-nc-sa/4.0/)

Introduction

Massive quantities of fresh crops, including vibrant citrus fruits and luscious mangoes, fall victim to spoilage after harvest, leading to plummeting export values: Annual losses reach billions of dollars due to post-harvest loss, significantly impacting the economies of countries that rely on these exports and shrinking foreign exchange: This financial loss limits the ability to import essential goods and services, hindering development and prosperity (Forner-Giner et al., 2023). Citrus fruits, beloved for their abundance of health-promoting bioactive compounds, are particularly vulnerable to cold storage, causing these valuable nutrients to degrade and ultimately contribute to food waste. Mangoes, with their tempting sweetness and long shelf life, face a different challenge. Fungal infections and rind abnormalities can rapidly compromise quality, resulting in substantial economic losses for farmers and exporters (Zacarias et al., 2020).

Applying a thin layer of wax-like oxidized polyethylene acts as a natural barrier, reducing water loss and slowing gas exchange, helping the fruit retain its freshness and quality for longer. Commercial waxes often come pre-packaged with the same harmful fungicides we try to avoid. Thankfully, recognizing the risks, countries worldwide have banned these harmful wax-fungicide combos (Yadav et al., 2022; Chavan et al., 2023). So, the quest for safe and effective post-harvest control continues. Researchers are exploring exciting new possibilities, from natural antimicrobial coatings derived from plants to innovative packaging technologies that optimize temperature and humidity (Chowdhury et al., 2022).

Instead of petroleum-based waxes, researchers are turning to natural edible coatings made from gum Arabic, carnauba wax, chitosan, carboxymethyl cellulose, and even beeswax (Bhan et al., 2022). Gum Arabic is a naturally occurring polysaccharide, a microscopic web of interconnected strands. This intricate network forms a dense shield, blocking oxygen and carbon dioxide from spoiling our fruits (Manzoor et al., 2022).

Arabic gum can carry essential nutrients, antioxidants, and even antibacterial agents, all while keeping mangoes and other fruits plump and delicious. However, hold on, this natural wonder isn’t perfect. At the same time, it excels at blocking gases, and gum Arabic struggles against water vapor. Researchers are combining these natural coatings with other powerful allies, Antibacterial inorganic elements, and natural antimicrobials such as cardamom extract, a fragrant champion, packs a powerful punch when it comes to fighting off unwanted bacteria, finding its place in edible coatings and food packaging (Nahr et al., 2018; Souza et al., 2021). Due to their inadequate stability in the coating, these substances were substituted with essential oils, particularly cardamom, to produce a polymer that would extend the shelf life of packaged foods (Galal and Morsy, 2023). Elettaria cardamomum is the botanical name for cardamom, derived from the word “Elettari,” which is attributed to cardamom seeds (Mahindru, 1982). The cardamom plant is considered a dried fruit, and its fruits are capsules and belong to the genera Elettaria and Amomum in the family Zingiberaceae (Govindarajan et al., 1982).

The distinctive aroma of cardamom capsules results from the essential oil and other bioactive metabolites accumulated in them, as well as their capacity to be used as functional foods, nutraceuticals, and pharmaceuticals (Hamzaa and Osman, 2012).

Regarding the importance and application of cardamom oil, Chaidech and Matan (2023) developed a paper box with 10–300 μL of cardamom oil to improve rambutan storage, reduce waste, and explore reuse possibilities. The experiment investigated the delay in mold growth caused by the post-harvest disease, Pestalotiopsis sp., on the medium and rambutan fruit under storage conditions of 10 n 2 nC and approximately 80% RH. The results showed that CM at 300 μL significantly inhibited Pestalotiopsis sp. mycelium and spore germination on the medium. In comparison, a lower volume of 30 μL effectively delayed mold incidence on rambutan during the 14-day storage period. The confirmed antifungal mode of action indicated that CM disrupted Pestalotiopsis sp. ergosterol and cell membrane integrity, resulting in mycelium lysis and damaged morphology, thereby inhibiting its growth. The active fruit box can be reused for at least 2 or 3 storage cycles, effectively delaying rambutan decay and preserving its color change parameters. Using the box with 30 μL of CM, the rambutan’s shelf-life was extended to 14 days compared to the control’s shelf-life of around 7 days. Active paper boxes offer a valuable solution for improving post-harvest fruit storage and transportation, benefiting farmers and consumers. Also, Hajirostamloo et al. (2023) stated that incorporating cardamom oil increased the thickness, water vapor permeability, and flexibility of the films but reduced their tensile strength when applied as a packing material in Iranian cheese. The color factors (L*, a*, b*, and ilE) and the optical attributes of the films were affected by incorporating cardamom oil. Also, the CEOM significantly improved the antioxidant and antibacterial properties and total phenolic content of the film. Packaging Iranian white cheese with bioactive film based on SPI improved the shelf life of the cheese. The microencapsulation of cardamom essential oil has increased the effectiveness time of the essential oil.

Depending on the kind and extraction techniques, cardamom capsules’ essential oil content ranges from 6 to 14% (Menon, 2000) Cardamom essential oil capsules contain numerous organic substances, including monoterpene components like 1,8-cineole, linalool, nerolidol, and the ester componentterpinyl acetate (Kaskoos et al., 2006; Yashin et al., 2017; Ashokkumar et al., 2020). These substances offer therapeutic advantages, such as antioxidative, anti-inflammatory, anticancer, antifungal, antidiabetic, and gastro-protecting (Marongiu et al., 2004; Menon, 2000; Hamzaa and Osman, 2012; Winarsi et al., 2014). Numerous reports stated that cardamom flavonoids, terpenoids, anthocyanins, alkaloids, and other phenolic components were used to treat various illnesses (Vaidya et al., 2014).

According to the World Health Organization, infectious diseases still constitute a serious threat to public health in many countries and are responsible for one-third of deaths (Organization, 2017). Due to the restricted availability of medications and the advent of widespread drug resistance, their influence is especially noticeable in developing nations (Macedo de et al., 2015). Many naturally occurring substances that can be utilized as medications come from plants. Indeed, medicinal plants have been used extensively in healthcare since ancient times and may be a significant source of novel drugs and food additives (Sabo and Knezevic, 2019). Therefore, this study aims to isolate and characterize cardamom volatile oil, evaluate its antibacterial and anticancer properties, and then test its efficiency in preserving postharvest mango fruit.

Materials and Methods

Plant material

Cardamom (E. cardamomum) was purchased from a local market in Zagazig City, Egypt. Cardamom was broken into small pieces, blended into a fine powder, and stored for further research after drying for ten days in a shaded, well-ventilated location. All solvents used in this work were purchased from different companies, and the reagents and chemicals were of the highest purity available.

Chemicalstructure of a sample plant

According to the procedure outlined in (Latimer, 2016), moisture, crude fiber, crude lipid, crude protein, and ash were all measured.

Essential oil isolation

To extract the essential oil, 2 kg of cardamom seeds were broken up into small pieces and hydro-distilled using Clevenger equipment (Ibrahim et al., 2015). GC-MS was used to estimate the oil’s chemical composition quantitatively and qualitatively by comparing its retention periods and mass spectral fragmentation patterns with previously published information (Adams, 2001, 2012).

GC-MS analysis

Thermo Scientific’s Trace GC Ultra/ISQ Single Quadrupole MS and TGSMS Fused Silica Capillary Column (30m, 0.25mm, 0.1mm Film thickness) were utilized to conduct the GC-MS analysis. The carrier gas for GC-MS detection was an electron ionization system with an ionization energy of 70 ev and a constant 1 mL/min flow rate. The temperature of the MS transfer line and injector was fixed at 280°C. The oven temperature was programmed to rise from a starting temperature of 40°C (hold for 3 minutes) to a final temperature of 280°C at a rate of 5°C/min (hold for 5 minutes). A percent relative peak area was used to explore the components found. The tentative identification of the volatile compounds was carried out based on comparing the relative retention times and mass spectra of the volatile compounds with those of the NIST08s, WILLY8, Adams, and Library data of the GC/MS system (Adams, 2001, 2012; Ghareeb et al., 2016).

In vitro testing of extracts for antibacterial activity

The antimicrobial activity of COO was then determined using the disc diffusion assay (Ashour et al., 2020). The pathogenic bacteria, Staphylococcus aureus (ATCC 6538), Bacillus cereus (ATCC 6629), Escherichia coli (ATCC 25922), Pseudomonas aeruginosa (ATCC 27853), and the yeast Candida albicans were cultured overnight in a Muller Hinton (MHB) using a shaking incubator (250 rpm, 37°C) until 1.5 x 108 CFU/mL. The cultured microorganisms were exposed to different COO concentrations. A 100 µL inoculum of bacteria and Candida was spread on the surface of Petri plates. Paper discs (6 mm) saturated with varying concentrations of COO were placed on the plate. The plates were incubated for 24 h at 37°C. The inhibition zones were measured using a ruler (mm).

Cytotoxic impact on MCF-7 and HePG2 cells

Cell viability was assessed by measuring their ability to convert the yellow dye MTT to a purple formazan, a process dependent on healthy mitochondria (Mosmann, 1983). The following procedures were performed inside a thoroughly sterilized Laminar Flow Cabinet (Baker, SG403INT, Sanford, USA). HePG-2 and MCF7 cells were suspended in RPMI 1640 media with a 1% antibiotic antimycotic combination (10,000U/ml Potassium Penicillin, 10,000 µg/ml Streptomycin Sulfate, and 25 µg/ml Amphotericin B), as well as 1% L-glutamine at 37oC under 5% CO2.

Using a water-jacketed carbon dioxide incubator (Sheldon, TC2323, Cornelius, OR, USA), After 10 days of batch culture, 10,000 cells were seeded per well in fresh media on 96-well plates. A final concentration of (100, 50, 25,12.5, 6.25, 3.125, 0.78, and 1.56 μg/ml) was achieved by aspirating the media, adding fresh medium (without serum), and incubating the cells either by themselves (as a negative control) or with various sample. The medium was aspirated after 48 hours of incubation, 40 ul of MTT salt (2.5 µg/ml) was added to each well, and the incubation was continued for an additional four hours at 37o C with 5% CO2. To end the reaction and dissolve crystals, 200 µl of 10% SDS in deionized water was added to each well and incubated overnight at 37°C. A known cytotoxic natural substance (100 µg/ml) was a positive control, causing complete cell death under the same conditions (Thabrew et al., 1997; El-Menshawi et al., 2010).

The absorbance (595 nm, reference 620 nm) was measured on a Bio-Rad microplate reader to assess plant oil in DMSO effects on cell viability (final concentration <0.2%). Statistical comparisons confirmed significant differences in the percentage of change in viability.

% viability=OD of extractOD of negative control×100 1

Post-Harvest Mango Preservation by Coating

Coating preparation

According to Saad et al., 5 g of white kidney protein isolate (KPI) separated(Saad et al., 2021) were homogenized in 100 mL and stirred for thirty minutes at 80°C; Arabic gum (0.5, 1, and 1.5 % w/w) was also dissolved in distilled water at 50°C for 60 min. The KPI and AG solution was mixed with glycerol (30 % w/w), stirred for an hour at 60°C, and pH was adjusted to 9. The optimum concentration of AG to prepare film was 0.5 %. The prepared COO solutions at two concentrations, 1 and 2 %, were slowly added into the already prepared KPI/0.5 % AG film and sonicated for 20 min, then the KPI/AG/COO was kept for the coating experiment.

NORCIA provided mature mango for purchase (Cairo, Egypt). The fruit was delivered to the postharvest lab, where it was examined for defects, apparent exterior damage, and consistency of size and color. The fruits were sanitized for 2 minutes with NaClO (0.04 %) and then air dried at 25 °C and RH 65 %. Four fruit groups were constructed, with the uncoated fruit as the control. The remaining three groups of fruits were dipped in KPI/AG/COO solutions for 3 minutes and then dried at room temperature. Each of the four sets of fruits was kept at 25°C and 65 % relative humidity.

Physiological properties

Weight loss(Wl)

Using an electronic scale (Accro Tech, India), the weight loss of fruits was assessed by weighing them at different periods. The results represented a proportion of the starting weight lost (0 days). Twelve fruits were assessed per treatment, and the results were derived using the equation.

WI=Sw-FwSw×100 2

Sw, starting weight; Fw, final weight

Water vapor permeability (WVP)

The fruit rind WVP was evaluated following Salama and Aziz (2021). The fruit peels were chopped into circles (65 mm diameter) and then placed on a 20 mm internal diameter aperture aluminum permeability cell. 25 mL of water was added to an aluminum cell at 25 °C and RH 100 %. The loss in fruit weight was measured at intervals of (2, 4, 6, 8, and 10 h), and then every 24 h. The WVP value was g⋅mm/m2/ h/ Pa.

WVP=w/t×xΔP 3

W/t, the loss in fruit weight per time; x, the thickness of fruit rind; and ΔP, a pressure gradient.

Texture and color properties

Rind color

The color parameters (L, a, and b) and the Color change ΔE value in fruit rind were evaluated using a Color Flex Hunter colorimeter (EZ’s, USA) and calculated (Namir et al., 2022).

ΔE=ΔL2+Δa2+Δb2 4

where L, lightness; (a) redness; b yellowness

Fruit texture

The textural characteristics of fruit samples were assessed using an extruder (Micro Systems, UK) equipped with a 35 mm disc. The fruit was positioned horizontally on the pressure platform. The conditions were adjusted to 10 mm/s (velocity) and then increased to 50 mm/s;the trigger weighed 10 g, and the target distance was 30 mm. The texture properties were assessed following Nguyen et al. (2017).

Rind weight and juice weight

The weight of the fruit rind was determined using an equation.

% Rind weight=Peel weightFruit weight×100 5

The juice content in fruit was calculated

% Fruit juice=Juice weightFruit weight×100 6

Physiological disorders

The chilling injury and rind pitting were evaluated as physiological illness parameters and monitored after storing fruit at temperature (25°C) and relative humidity (65 %) to simulate market conditions for seven days. The degree of disorder severity was evaluated using a 4-hedonic scale following Fawole et al. (2020), where 0 is absence (no symptoms), 1 equals trace (1 to 25 percent), 2 equals minor (26 to 50 percent), 3 equals moderate (51 to 75 percent), and 4 and above equals severe (76 to 100 percent). The disorder index was calculated in equation 7.

Disorder index=hedonic scale value×No fruit in the scaleTotal number of fruit×100 7

Statistical analysis

Experiments were established using a complete randomized design (CRD) with three replicates. Microsoft Excel was used to organize all of the data. The treatments’ means were compared with the LSD0.05.

Results and Discussion

Components in cardamom

Table 1 presents the proximate composition of cardamom, including moisture, protein, crude fiber, carbohydrates, and ash content. Notably, the total carbohydrate content of the cardamom seeds was found to be 43.49%, which is lower than previously reported values for Indian cardamom seeds by (Sontakke et al., 2018; Amma et al., 2010). The crude fiber content was 16.7% higher than the quoted cardamom seed values (Shankaracharya et al., 1990; Amma et al., 2010). The moisture content was 10.47%, while the published values for Indian seeds ranged from 10.33% to 10.75% (Sontakke et al., 2018). Less protein was present (7.61%) than in Indian cardamom (Amma et al., 2010), more significant than the stated values of Shankaracharya et al. (1990). Cardamom essential oil was 7.04%, which was higher than the values that had been previously reported (Shankaracharya et al., 1990). There was 8.93% ash. Thus, it was evident that cardamom was a good source of dietary fibers, which play various vital roles in human nutrition.

Table 1. The proximate compositions of studied samples (g/100 dried weight).

Parameters Cardamom
Moisture% 10.47±0.9
Proteins% 7.61±0.5
Fats% 12.9±0.8
Fibers% 16.6±0.7
Carbohydrates% 43.49±0.6
Ash% 8.93±0.3

Cardamom mineral content

It was determined that cardamom contains various minerals, including iron, magnesium, selenium, zinc, and copper.

Table 2 shows the main minerals detected in cardamom seeds. Mg was the main mineral, with a concentration of 3750 ppm. A total of 93.73 ppm net of Fe was determined. Zn was found to be present at 10.49 ppm. Abera et al. (2011) discovered that the quantities of Mg, S, Mn, Fe, and Zn were 102.76, 37.14, 29.32, 11.66, and 1.57 mg/100 g, respectively.

Table 2. Mineral elements contained in cardamom seeds.

Variety Constituents (ppm)
Fe Mg Zn Cu Se
93.73±3.2 3750±11.9 46.83±2.1 10.49±0.9 0±0.0

Cardamom seed essential oil chemical formula

The estimated qualitative and quantitative compositions of the essential oils found in cardamom seeds are shown in (Table 3). In the essential oil used in this investigation, 19 compounds were found, accounting for 99.05% of all identified components. Oxygenated monoterpenes comprise most essential oils (88.7%), followed by monoterpene hydrocarbons (8.2%).

Table 3. Compounds of the E. cardamomum essential oil.

Compounds Area % RT.
1 α-Pinene 0.58±0.01 4.35
2 Sabinene 2.16±0.2 5.33
3 β-Myrcene 0.99±0.02 5.74
4 α-Terpinene 0.33±0.01 6.60
5 D-Limonene 1.28±0.1 7.01
6 1,8-Cineole 33.51±0.9 7.19
7 γ-Terpinene 0.57±0.01 7.97
8 trans Sabinene hydrate 0.34±0.02 8.47
9 α-TERPINOLENE 0.40±0.01 8.89
10 LINALOOL 8.57±0.8 9.58
11 4-Terpineol 3.48±0.2 12.82
12 α-Terpineol 6.01±0.6 13.53
13 Z-Citral 0.44±0.01 15.30
14 LINALYL ACETATE 2.25±0.1 15.50
15 GERANIOL 2.38±0.2 15.74
16 CIS-CITRAL 0.54±0.01 16.61
17 α-Terpinenyl acetate 34.26±0.8 19.83
18 Geranyl acetate 0.83±0.01 21.09
19 Nerolidol 0.85±0.02 28.33
99.05±1.2

Linalool (8.57%), linalyl acetate (2.26%), sabinene (2.16%), 1,8-cineole (33.51%), and—terpinyl acetate (34.26%) constitute the majority of the mixture. Our findings concurred with those published (Singh et al., 2008). It was discovered that the two main ingredients in the E. cardamom essential oil obtained from Kerala were α-terpinyl acetate (44.3%) and 1,8-cineole (10.7%).

The primary ingredients, 1-8 cineole and α-terpinyl acetate, combine to form the fundamental cardamom scent. Numerous studies from numerous nations concluded that the primary ingredients in cardamom oil are 1,8-cineole and α-terpinyl acetate (Ashokkumar et al., 2021; Nema et al., 2023).

Numerous findings indicated that 1,8-cineole and α-terpineol, together with terpinene and ethyl alcohol, were the two components with the highest concentration in the essential oil of E. cardamomum procured from Iran (Kumara et al., 1985). Previous studies of seven genotypes of Indian cardamom at different stages of maturity found that 1,8-cineole and α-terpinyl acetate were consistently the predominant ingredients (Leela et al., 2008). The volatile oil from cardamom capsules has a different composition and content depending on how the essential oil is extracted (Savan and Küçükbay, 2013).

Antimicrobial activity

The summary of essential oil’s antimicrobial efficacy against five species is presented in Table 4. By using the disc diffusion method, cardamom oil was tested for its ability to inhibit the growth of several Gram-positive [B cereus (ATCC 6629), S aureus (ATCC 6538)] and negative bacteria, including E coli (ATCC 25922), P aeruginosa (ATCC 27853), and yeast C. albicans. COO has demonstrated antibacterial and anti-yeast solid activity, where it showed good efficacy against Staphylococcus aureus (15 mm) and Escherichia coli (11 mm). In contrast, it displayed a zone of inhibition in the 9.0- 15.0 mm range against all the tested microorganisms. Only Bacillus cereus (10 mm) and Pseudomonas aeruginosa (9 mm) were the most resistant bacteria to COO. Candida albicans’ zone of inhibition was 15 mm, agreeing with the obtained results. Younus (2023) stated that acetone extract of cardamom seeds showed good activity against Gram-positive and Gram-negative bacteria and yeast. However, the most potent effect was obtained against Candida albicans, which makes the antifungal properties of cardamom extract over the antibacterial properties in acetone solvent.

Table 4. Inhibition zone diameter (millimeter) of the samples.

Samples test microorganism Control sample Treated sample cardamom
1 Escherichia coli NIL 11±0.6b
2 Pseudomonas aeruginosa NIL 9±0.5c
3 Bacillus cereus NIL 12±0.2b
4 Staphyllococus aureus NIL 15±0.9a
5 Candida albicans NIL 15±0.8a

*Nil: No antimicrobial activity recorded. Data are presented as mean±SE. a-c letters in the column indicate significant differences.

Our findings supported the essential cardamom oils’ antibacterial efficacy against the tested microorganisms; these results agree with previous studies (Gradinaru et al., 2014). It was discovered that COO (6.25 mg/mL) has anti-Staphylococcus aureus action. Cardamom essential oil is highly active against a wide range of different bacteria and fungi; MICs for pathogenic bacteria and fungi range between 0.023 and 0.046 mg/ml., as indicated in previous studies (Snoussi et al., 2015).

A biological study of cardamom oil’s properties on bacterial activity indicated that it contains the chemical types terbinyl acetate (39.03%) and eucalyptol (31.53%), which has a significant effect against pathogenic bacteria such as S. aureus (ATCC6538P), Salmonella sp. (ATCC25922), and E. coli (ATCC8739) strains (Teneva et al., 2016). Additionally, cardamom oil is effective against strains of S. aureus, B. cereus, and P. aeruginosa (MICs =313–625 µg/mL) (Satyal et al., 2012). Multidrug-resistant bacteria exhibited significant antibacterial activity, as evidenced by MIC values varying (2.83–9.4 mg/mL) for the E. coli (SS1) strain and pathogenic S. aureus, respectively (Naveed et al., 2013).

Gram-negative and Gram-positive bacteria were strongly inhibited by cardamom oil, which also had the most significant growth inhibition zone diameter. The disparity in the composition and structure of the bacterial cell walls in the two groups and the unique constituents of the tested COO diverse mechanisms of actionaccount for this (Karaman et al., 2003).

Previous studies stated that COO, including the chemotype terpinyl acetate and 1,8-cineole, exhibits anti-quorum sensing properties against the pJBA132 sensor plasmid (an E. coli strain). After 24 hours of exposure, the oil inhibits the growth of the plasmid by approximately 31%. A marginal activity utilizing the long chain sensor plasmid, pRK-C12, from the Pseudomonas putida strain (Inhibition 21–22%). This finding demonstrated that cardamom oil’s chemical constituents can out-competing C6-HSL autoinducer molecules (Jaramillo-Colorado et al., 2012).

Anticancer activity of cardamom essential oil

Cardamom essential oil was tested for cytotoxicity against human liver (HePG-2) and breast (MCF7) cell lines using the neutral red assay. Cardamom essential oil was tested for cytotoxicity against human liver (HePG-2) and breast (MCF7) cell lines using the neutral red assay. Cardamom essential oil’s antiproliferative effects on cancer cell lines were measured using the IC50 and IC90 values. According to Table 5, IC50 is the inhibitory concentration that inhibits 50% of the cancer cell population, and IC90 is the inhibitory concentration that inhibits 90% of the cancer cell population in 48 hours.

Table 5. Concentration of cardamom essential oil causes 50% and 90% inhibition of the cancer cell population.

Sample IC50 µg/ml IC90 µg/ml Remarks
MCF7 cell line
Cardamom essential oil 42.3±1.1 68.9±2.1 100% at
100 ppm
DMSO - 3% at 100 ppm
Negative control 0 %
HePG-2 cell line
cardamom essential oil 54±0.9 80.7±2.0 97.6% at
100 ppm
DMSO 1% at 100 ppm
Negative control 0 %

IC50: Sample concentration that is lethal and results in the death of 50% of cells in 48 hours.

IC90: Sample concentration that is lethal and results in the death of 90% of cells in 48 hours.

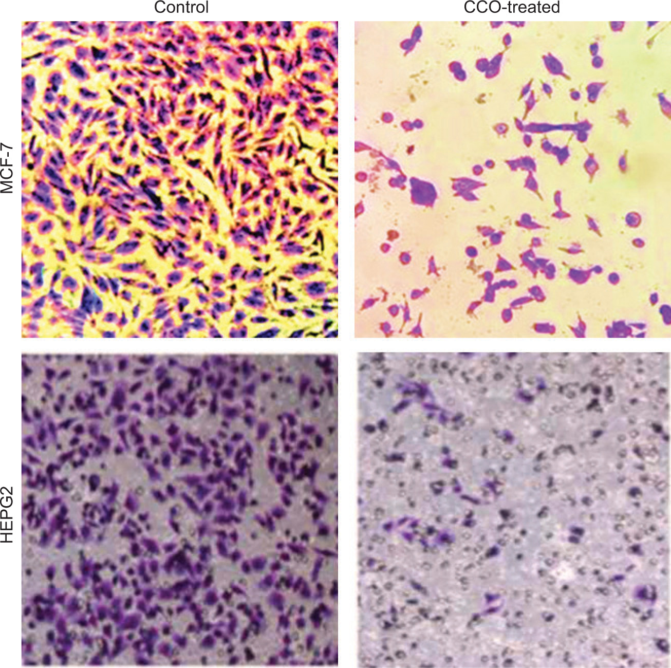
Table 5 and Figure 1 show the cardamom essential oil against human Liver (HePG-2) and breast (MCF7) cell lines; it has a dose-dependent effect on cell viability cell lysis after 48 hours of incubation. IC50 was 42.3 μg/ml for MCF7 and 54 μg/ml for the HepG-2 cell line, and for IC90 was 68.9 μg/ml for MCF7 and 80.7 μg/ml for HepG-2 cell line.

Figure 1. Microscopic image of the viability of control breast and liver cancer cells and COO-treated cells. HEPG2 is a human hepatoma cell (human Liver lines), MCF-7 is Michigan Cancer Foundation-7 (breast cell lines).

By monitoring the uptake of the essential neutral red dye, the neutral red examination technique can measure live cells (Triglia et al., 1991).In healthy cells, the neutral red dye concentrates in the lysosomes after passing through the intact cell membrane (Triglia et al., 1991). The amount of red dye taken up by the cells is consequently related to the number of live ones because test chemicals that harm the cell surface and lysosomal membrane prevent the incorporation of the dye. The neutral red assay was created and is frequently used to research the toxicity of various substances on various cell types cultivated in monolayer cultures, including the HepG-2 and MCF7 cells employed in this work(Borenfreund and Puerner, 1985).

A cardamom essential oil’s biological action is influenced by its chemical structure, namely by the principal functional groups of substances (terpene compounds, alcohols, ketones, and phenols). However, because other molecules may work in concert with the significant compounds, the less abundant compounds may also be substantial (Bakkali et al., 2006). For instance, the effect of bergamot essential oil on caspase-3 activation, DNA fragmentation, PARP cleavage, cytoskeletal alterations, cell shrinkage, as well as necrotic and apoptotic cell death, is not replicated by a single exposure to limonene or linalyl acetate found to be enriched in bergamot (Citrus bergamia Risso et Poiteau) (Russo et al., 2013).

The human colon cancer cell lines HCT116 and RKO are subjected to selective apoptosis by monoterpene 1, 8-cineole/eucalyptol, not necrosis. Treatment with 1,8-cineole was linked to the activation of p38, the inactivation of surviving, and Akt. These substances cause the cleavage of caspase-3 and PARP, which ultimately results in apoptosis (Murata et al., 2013). The toxic effects of D-limonene on V79 cells are dose-dependent(Mauro et al., 2013). Geraniol has in vitro and in vivo anticancer action against several cell lines and is a component of the cardamom essential oil found in many aromatic plants (Crespo et al., 2013). Geraniol modifies many lipid metabolic processes in HepG-2 cells, including the mevalonate pathway and phosphatidylcholine production, which inhibits cell growth, causes cell cycle arrest at the G0/G1 interphase, and boosts death (Crespo et al., 2013).

Coating experiment of post-harvest mango

Rind properties, weight loss, and water vapor permeability

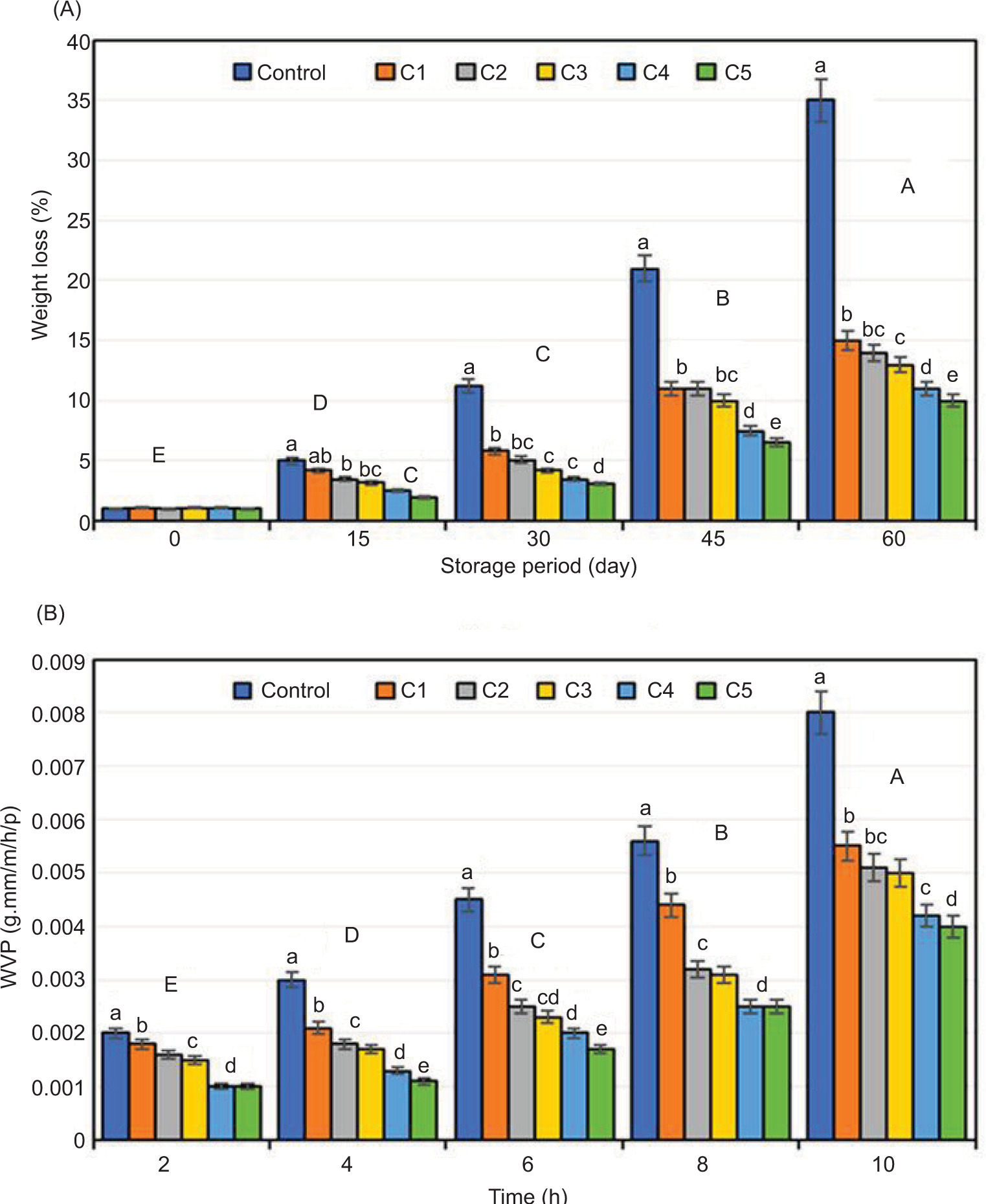
Figure 2A illustrates that mango weight loss increased with storage duration for up to 60 days at cold storage. However, coating fruits with Arabic gum (AG) supplemented with KP and COO significantly reduced weight loss compared to uncoated controls and fruits coated with AG alone. Notably, KP/AG/COO 1% coated samples exhibited only 10% weight loss after 60 days, with no significant difference observed between these and KP/AG/COO 2% coated samples. Compared to the control and AG-only treatments, KP/AG/COO coatings resulted in relative reductions in weight loss of 78% and 33%, respectively, after 60 days of cold storage. The highest weight loss was shown in the control samples, at a 35% reduction. Fruit coating acts as a barrier between fruit rind and water and gas, reducing the available hydrophilic groups in AG to the surrounding environment (Zahran et al., 2021). Vieira et al. (2020) found that hydroxypropyl methylcellulose and sliver nanoparticles lessen the weight loss in papaya stored for seven days at different temperature degree

Figure 2. (A) Weight loss of Mango fruit stored for 60 days at four °C and different coating treatments, (B) water vapor permeability of Mango fruit after 10 h. Data presented mean ±SD. Lowercase letters (a-e) above the column indicate statistically significant differences between treatments, while uppercase letters (A-E) above the column indicate significant differences during the storage or incubation (p≤0.05).

Figure 2B shows that the water vapor permeability of the rind of Mango is affected by the different treatments (KP; AG; KP/AG C 2%; C5 KP/AG/COO 1%, KP/AG/COO 2%) compared to control and the incubation time, where the WVP significantly increased with incubation time. The edible coating must have low barrier characteristics for gas and liquid interaction with food in its surrounding environment (Salama and Aziz, 2021). The lowest WVP values were observed in KPI/AG/CEO 1% (0.004 g.mm/m/h/p after ten h incubation with a relative decrease of 50 % of control followed by KPI/AG/CEO 1%, the Arabic gum, and KPI has medium content of WVP and the highest values observed in control, AG, then KPI. The existence of KPI with high WHC and COO in the coating improved the barrier properties, reinforced the crosslinks between AG, and reduced the availability of hydrophilic groups in AG (Zahran et al., 2021).

Color and texture

Table 6 shows that color change (∆E) in Mango rind color increased in storage time dependence, while coating treatments reduced these changes; the barrier between the rind and gas exchange and antioxidant properties of COO limit the unwanted color changes. The results indicate that adding KP and COO to AG coating significantly enhanced the performance of coating against respiration rate and physiological disorders. KP/AG/COO 1% coated fruit showed the minor ∆E (1.22) with a relative decrease of 56 % compared to the control. The respiration rate and the incidence and intensity of post-harvest physiological problems on fruit rind impact the color change in citrus fruit (de Brito et al., 2022); hence, this may have contributed to the ∆E values obtained in this investigation.

Table 6. Color and texture change in Mango rind during cold storage for 60 days and different coating treatments.

Treatments 15 30 45 60
Fruit color change/storage time (d)
Control 1±0.1a 1.5±0.1a 2.1±0.2a 2.75±0.2a
KP 0.88±0.02b 1.2±0.1b 1.75±0.1b 2.5±0.1b
AG 0.8±0.02b 1±0.2c 1.5±0.2c 2.1±0.2c
KP/AG 0.75±0.01c 0.89±0.01d 1.2±0.6d 1.9±0.3cd
KP/AG/COO 1% 0.7±0.02c 0.81±0.02d 0.95±0.02e 1.4±0.1d
KP/AG/COO 2% 0.5±0.03d 0.7±0.01e 0.8±0.01e 1.2±0.3e
Fruit texture
Control 8.1±0.2c 7.7±0.5d 7±0.5d 6±0.9c
KP 8.8±0.6c 8±0.1c 7.5±0.2d 7±0.5c
AG 9.5±0.9bc 8.6±0.3c 8.2±0.4c 7.5±0.1bc
KP/AG 10.3±0.6b 9.8±0.5b 9.2±0.9b 8±0.2b
KP/AG/COO 1% 11.8±1.1ab 11.2±1.1a 10.6±0.4ab 9.5±0.8ab
KP/AG/COO 2% 12±0.9a 11.4±0.2a 11±0.8a 10±0.1a

Lowercase letters (a-e) above the column indicate statistically significant differences between treatments at (p≤0.05).

Similarly, the storage period and coatings treatments affected the fruit texture properties in Table 6, which shows the gradual decrease in fruit texture with storage time. The KPI/AG/CEO 1% coated fruit showed minor texture degradation compared to the control, where the texture decreased by 20 % in C5 compared to the control, which declined by 50 % after 60 days. The ripening of fruit is triggered by a change in the cell wall structure and the enzymatic breakdown of polysaccharides into simple sugars. The edible coating can preserve fruit texture by reducing the water vapor transfer rate. Thus, insoluble pectin and protopectin breakdown is inhibited (Shakir et al., 2022).

Our results may agree with Salsabiela et al. (2022) on watermelon coated by dipping technique in composite fish gelatin–chitosan coating loaded with black tea extract. The results showed enhanced texture (toughness) and color.

Rind weight and juice weight of the mango

Table 7 shows the gradual decrease in mango rind and juice weight during the storage periods of 0, 15, 30, 45, and 60 days. Control Mangos give the lowest weight of Mango rind and juice (12 and 25 %, respectively), which increased by (40-43 %) in KPI/AG/CEO 1% coated fruit. Medium weights were observed in KPI/AG-coated fruits. There are no significant differences in juice and rind weights between the coats that contain COO 1 % and 2 %, but significant differences (p=0.001) between KP/AG/COO and other coatings. Our results agree with Haider et al. (2020), who found that over a 90-day storage period, salicylic acid was applied to mangos and preserved more rind and juice weight than the control group. The KP/AG/COO reduced the moisture and weight losses, so the fruit preserved more juice and rind weight.

Table 7. The weight (g) of mango fruit juice and rind during sixty days of cold storage.

Treatments 15 30 45 60
Fruit rind weight/ storage time (d)
Control 25±0.1c 20±1.2d 19±0.5d 12±0.2e
KP 30±0.1b 25±2.1c 21±1.1cd 14±0.5d
AG 31±0.0ab 27.5±0.3bc 23±0.5c 14.5±0.6d
KP/AG 32±0.9ab 29±0.6b 24±0.4c 16±0.8c
KP/AG/COO 1% 33±1.1a 30±1.2ab 26±0.3b 18.5±0.9b
KP/AG/COO 2% 34±1.2a 31±0.8a 28±0.5a 20±0.1a
Fruit juice weight
Control 59±1.1c 50±2.1c 39±0.6e 25±2.5e
KP 59.5±1.2c 51±2.2c 41±0.9d 33±2.1d
AG 60.2±0.9b 51.9±0.0c 43±0.2c 40±1.3c
KP/AG 60.5±0.9b 53±0.5bc 45±0.9b 42±0.2b
KP/AG/COO 1% 61±0.6ab 55±0.1b 49±1.2ab 45±0.5ab
KP/AG/COO 2% 61.5±0.8a 57.5±0.2a 50.5±2.0a 46±0.1a

Data presented mean ±SD. Lowercase letters (a-e) above the column indicate statistically significant differences between treatments at (p≤0.05).

Physiological disorders

Rind pitting is characterized by the appearance of bunches of collapsing oil glands dispersed throughout the surface of the fruit. In time, the damaged area becomes bronze and grows mainly at the flower end of the fruit (Ehlers, 2016). The market value of citrus fruits depends on rind quality and appearance (Strano et al., 2017); hence, it is essential to maintain rind quality throughout postharvest treatment. In Table 8, the rind pitting increased with storage. The rind pitting in control initiated after 15 days of storage by 5 % and increased to 46 % after 60 days, while in coated fruits, KP/AG or KP/AG/COO 1% or KP/AG/COO 2%, the rind pitting initiated after 30 days with 3‒3.6%, which increased to 12 % after 60 days with a relative decrease of 86 % compared to control, proving the beneficial effects of peptide and nanoparticles in AG coating as a barrier between rind and gas exchange (Table 8). The reduction in incidence and severity of rind pitting may be attributable to the stimulation of antioxidant enzymes, which increases the fruit’s antioxidant capacity during storage and, in turn, reduces ROS production, thereby inhibiting the evolution of symptoms such as rind pitting (Romero et al., 2020). Adding COO and KP to Arabic gum coating enhanced the Mango fruit’s resistance to oxidative stress during storage.

Table 8. Physiological disorders caused by storage periods of 0, 15, 30, 45, and 60 d and affected by various coatings, (A) Incidence of rind pitting, (B) Incidence of rind chilling.

Treatments 15 30 45 60
Incidence of rind pitting
Control 5±0.2a 12±0.5a 26±0.5a 46±1.2a
KP 4.2±0.1b 6±0.2b 13.1±0.2b 17.3±0.3c
AG 4±0.2b 5±0.1b 15±0.6b 20±0.2b
KP/AG 0 3.6±0.5c 10.3±0.2c 15±0.0cd
KP/AG/COO 1% 0 3.5±0.3c 10±0.1c 15±0.2cd
KP/AG/COO 2% 0 3±0.1d 9±0.6d 12±0.2d
Incidence of rind chilling
Control 9±0.3a 12±0.6a 30±1.2a 40±0.2a
KP 2.5±0.2b 8±0.1b 13±0.2b 21±0.1b
AG 0 4±0.5c 10±0.6b 15±0.2c
KP/AG 0 0 3.3±0.6c 7±0.5d
KP/AG/COO 1% 0 0 3.1±0.5c 6±0.8d
KP/AG/COO 2% 0 0 2.5±0.5d 5±0.2e

Data presented mean ±SD. Lowercase letters (a-e) in columns indicate statistically significant differences between treatments at (p≤0.05). Cardamom essential oil (COO)

On the other hand, storing fruit at low temperatures didn’t initiate the rind chilling, but storing it in market conditions causes these disorders. The results indicate that rind chilling increased with the storage period. The uncoated fruit suffered from rind chilling at 15 days with 9 % and increased to 40 % at the end of storage, while the rind chilling in KPI/AG/COO 1% coated fruit was 2.5 % after 45 days and increased three times at the end of storage (Table 8). Applying edible coatings causes cold acclimation, which maintains membrane integrity at low temperatures and minimizes membrane permeability and browning reactions (Riva et al., 2020), reducing the symptoms of chilling damage.

Conclusion

The present study emphasizes the multifunctionality of cardamom essential oils an inherent reservoir of bioactive chemicals that may be usefulin medicine and food preservation. Steam distillation yields cardamom essential oil, which demonstrates encouraging characteristics for future uses in the fields of antibacterial and anticancer. Cardamom oil exhibited significant inhibition zones against yeast, Gram-positive and Gram-negative bacteria, except Pseudomonas aeruginosa. COO exhibited a modest level of anticancer activity in vitro when tested against human liver cell lines and breast cancer. Cardamom oil-enhanced functional coatings decreased weight loss, chilling damage, and rind pitting in mangoes that had been kept for sixty days. Additional investigation is necessary to delve into the precise processes it operates and maximize its potential for medicinal and commercial applications.

Author Contributions

Conceptualization, EGRE, SSE, AA, GSE, LME; methodology, TMA, EGRE, ASA, SSE, EAA, AA, G\SE, LME; software,; validation, TMA, EGRE, ASA, SSE, EAA, AA, GSE, LME; formal analysis, TMA, EGRE, ASA, SSE, EAA, AA, GSE, LME; investigation, TMA, EGRE, ASA, SSE, EAA, AA, GSE, LME; resources, TMA, EGRE, ASA, SSE, EAA, AA, GSE, LME; data curation, TMA, EGRE, ASA, SSE, EAA, AA, GSE, LME; writing—original draft preparation, TMA, EGRE, ASA, SSE, EAA, AA, GSE, LME; writing—review and editing, TMA, EGRE, ASA, SSE, EAA, AA, GSE, LME; visualization, EGRE, ASA, SSE, AA, LME; supervision, SSE, AA, LME; project administration, TMA, EGRE, ASA, SSE, EAA, AA, GSE, LME; funding acquisition, ASA, EGRE, SSE, AA, LME.All authors have read and agreed to the published version of the manuscript.

Funding

This work was supported by the Princess Nourah bint Abdulrahman University Researchers Supporting Project number (PNURSP2024R357), Princess Nourah bint Abdulrahman University, Riyadh, Saudi Arabia.

Acknowledgments

The authors extend their appreciation for the Princess Nourah bint Abdulrahman University Researchers Supporting Project number (PNURSP2024R357), Princess Nourahbint Abdulrahman University, Riyadh, Saudi Arabia

Conflict of Interest

The authors declare no conflict of interest.

REFERENCES

Abera, S., Gebreyes, B.G., Hirko, B.A. 2011. Nutritional composition of cardamom (Elettaria cardamomum) seed cultivated in Ethiopia. Education 2013.

Adams, R.P. 2001. Identification of essential oil components by gas chromatography/quadrupole mass spectroscopy. Allured publishing corporation.

Adams, R.P. 2012. Identification of essential oils by ion trap mass spectroscopy. Academic Press.

Amma, K., Rani, M.P., Sasidharan, I., Nisha, V.N.P. 2010. Chemical composition, flavonoid-phenolic contents and radical scavenging activity of four major varieties of cardamom. International Journal of Biological And Medical Research, 1, 20–24.

Ashokkumar, K., Murugan, M., Dhanya, M., Raj, S., Kamaraj, D. 2020. Phytochemical variations among four distinct varieties of Indian cardamom Elettaria cardamomum (L.) Maton. Natural Product Research, 34, 1919–1922. 10.1080/14786419.2018.1561687

Ashokkumar, K., Vellaikumar, S., Murugan, M., Dhanya, M.K., Ariharasutharsan, G., Aiswarya, S., et al. 2021. Essential oil profile diversity in cardamom accessions from southern India. Frontiers in Sustainable Food Systems, 5. 10.3389/fsufs.2021.639619

Ashour, E.A., El-Hack, M.E.A., Shafi, M.E., Alghamdi, W.Y., Taha, A.E., Swelum, A.A., et al. 2020. Impacts of green coffee powder supplementation on growth performance, carcass characteristics, blood indices, meat quality and gut microbial load in broilers. Agriculture, 10, 457. 10.3390/agriculture10100457

Bakkali, F., Averbeck, S., Averbeck, D., Zhiri, A., Baudoux, D., Idaomar, M. 2006. Antigenotoxic effects of three essential oils in diploid yeast (Saccharomyces cerevisiae) after treatments with UVC radiation, 8-MOP plus UVA and MMS. Mutation Research/Genetic Toxicology and Environmental Mutagenesis, 606, 27–38. 10.1016/j.mrgentox.2006.02.005

Bhan, C., Asrey, R., Meena, N.K., Rudra, S.G., Chawla, G., Kumar, R., Kumar, R. 2022. Guar gum and chitosan-based composite edible coating extends the shelf life and preserves the bioactive compounds in stored Kinnow fruits. International Journal of Biological Macromolecules, 222, 2922–2935. 10.1016/j.ijbiomac.2022.10.068

Borenfreund, E., Puerner, J.A. 1985. Toxicity determined in vitro by morphological alterations and neutral red absorption. Toxicology Letters, 24, 119–124. 10.1016/0378-4274(85)90046-3

Chaidech, P., Matan, N. 2023. Cardamom oil-infused paper box: Enhancing rambutan fruit post-harvest disease control with reusable packaging. LWT, 189, 115539. 10.1016/j.lwt.2023.115539

Chavan, P., Lata, K., Kaur, T., Jambrak, A.R., Sharma, S., Roy, S., et al. 2023. Recent advances in the preservation of postharvest fruits using edible films and coatings: A comprehensive review. Food Chemistry, 135916. 10.1016/j.foodchem.2023.135916

Chowdhury, N.N., Islam, M.N., Jafrin, R., Rauf, A., Khalil, A.A., Emran, T.B., et al. 2022. Natural plant products as effective alternatives to synthetic chemicals for postharvest fruit storage management. Critical Reviews in Food Science and Nutrition, 1–19. 10.1080/10408398.2022.2079112

Crespo, R., Montero Villegas, S., Abba, M.C., de Bravo, M.G., Polo, M.P. 2013. Transcriptional and posttranscriptional inhibition of HMGCR and PC biosynthesis by geraniol in 2 Hep-G2 cell proliferation linked pathways. Biochemistry and Cell Biology, 91, 131–139. 10.1139/bcb-2012-0076

de Brito, A.A., Campos, F., dos Reis Nascimento, A., Damiani, C., da Silva, F.A., de Almeida Teixeira, G.H., et al. 2022. Non-destructive determination of color, titratable acidity, and dry matter in intact tomatoes using a portable Vis-NIR spectrometer. Journal of Food Composition and Analysis, 107, 104288. 10.1016/j.jfca.2021.104288

Ehlers, J.L. 2016. Post-harvest rind pitting studies on ‘Valencia’orange. Stellenbosch: Stellenbosch University.

El-Menshawi, B.S., Fayad, W., Mahmoud, K., El-Hallouty, S.M., El-Manawaty, M., Olofsson, M.H., et al. 2010. Screening of natural products for therapeutic activity against solid tumors. Indian Journal of Experimental Biology, 48, 258–264.

Fawole, O.A., Atukuri, J., Arendse, E., Opara, U.O. 2020. Postharvest physiological responses of pomegranate fruit (cv. Wonderful) to exogenous putrescine treatment and effects on physico-chemical and phytochemical properties. Food Science and Human Wellness, 9, 146–161. 10.1016/j.fshw.2020.02.007

Forner-Giner, M.Á., Ballesta-de los Santos, M., Melgarejo, P., Martínez-Nicolás, J.J., Melián-Navarro, A., Ruíz-Canales, A., et al. 2023. Fruit quality and primary and secondary metabolites content in eight varieties of blood oranges. Agronomy, 13, 1037. 10.3390/agronomy13041037

Galal, S.M., Morsy, N.F.S. 2023. Cardamom in Food Applications, Cardamom (Elettaria cardamomum): Production, Processing and Properties. Springer, pp. 243–253. 10.1007/978-3-031-35426-7_18

Ghareeb, M., Refahy, L., Saad, A., Ahmed, W., 2016. Chemical composition, antioxidant and anticancer activities of the essential oil from Eucalyptus citriodora (Hook.) leaves. Der Pharma Chemica 8, 192–200.

Govindarajan, V., Narasimhan, S., Raghuveer, K., Lewis, Y., Stahl, W.H., 1982. Cardamom-Production, technology, chemistry, and quality. Critical Reviews in Food Science & Nutrition 16, 229–326. 10.1080/10408398209527337

Gradinaru, A.C., Aprotosoaie, A.C., Trifan, A., Spac, A., Brebu, M., Miron, A., 2014. Interactions between cardamom essential oil and conventional antibiotics against Staphylococcus aureus clinical isolates. Farmacia 62, 1214–1222.

Haider, S.-A., Ahmad, S., Khan, A.S., Anjum, M.A., Nasir, M., Naz, S., 2020. Effects of salicylic acid on postharvest fruit quality of “Kinnow” mandarin under cold storage. Scientia Horticulturae 259, 108843. 10.1016/j.scienta.2019.108843

Hajirostamloo, B., Molaveisi, M., Jafarian Asl, P., Rahman, M.M., 2023. Novel soy protein isolate film containing cardamom essential oil microcapsules: Study of physicochemical properties and its application in Iranian white cheese packaging. Journal of Food Measurement and Characterization 17, 324–336. 10.1007/s11694-022-01603-y

Hamzaa, R.G., Osman, N.N., 2012. Using of coffee and cardamom mixture to ameliorate oxidative stress induced in γ-irradiated rats. Biochem Anal Biochem 1, 2161–1009.

Ibrahim, N.A., El-Hawary, S.S., Mohammed, M.M., Farid, M.A., AbdelWahed, N.A., Ali, M.A., et al. 2015. Chemical composition, antiviral against avian influenza (H5N1) virus and antimicrobial activities of the essential oils of the leaves and fruits of Fortunella margarita, lour. swingle, growing in Egypt. Journal of Applied Pharmaceutical Science 5, 006–012.

Jaramillo-Colorado, B., Olivero-Verbel, J., Stashenko, E.E., Wagner-Döbler, I., Kunze, B., 2012. Anti-quorum sensing activity of essential oils from Colombian plants. Natural product research 26, 1075–1086. 10.1080/14786419.2011.557376

Karaman, I., Şahin, F., Güllüce, M., Öǧütçü, H., Şengül, M., Adıgüzel, A., 2003. Antimicrobial activity of aqueous and methanol extracts of Juniperus oxycedrus L. Journal of ethnopharmacology 85, 231–235. 10.1016/S0378-8741(03)00006-0

Kaskoos, R.A., Ali, M., Kapoor, R., Akhtar, M.M.S., Mir, S.R., 2006. Essential oil composition of the fruits of Eletteria cardamomum. Journal of Essential Oil Bearing Plants 9, 81–84. 10.1080/0972060X.2006.10643475

Kumara, S.J.S., Packiyasothy, E.V., Jansz, E.R., 1985. Some studies on the effect of maturity and storage on the chlorophyll content and essential oils of the cardamon fruit (Elettaria cardamomum). Journal of the Science of Food and Agriculture 36, 491–498. 10.1002/jsfa.2740360611

Latimer, W., 2016. Official Methods of Analysis of AOAC International 20th Ed., 2016 Two-Volume Set. [online] AOAC International.

Leela, N., Prasath, D., Venugopal, M., 2008. Essential oil composition of selected cardamom genotypes at different maturity levels. Indian Journal of Horticulture 65, 366–369.

Macedo de, M.B., Clais, S., Lanckacker, E., Maes, L., Lima, E.S., Cos, P., 2015. Anti-infective Agents: The Example of Antibacterial Drug Leads. Ethnopharmacology, 109–122. 10.1002/9781118930717.ch11

Mahindru, S.N., 1982. Spices in Indian life, (6500 BC–1950 AD).

Manzoor, A., Dar, A.H., Pandey, V.K., Shams, R., Khan, S., Panesar, P.S., et al 2022. Recent insights into polysaccharide-based hydrogels and their potential applications in food sector: A review. International Journal of Biological Macromolecules 213, 987–1006. 10.1016/j.ijbiomac.2022.06.044

Marongiu, B., Piras, A., Porcedda, S., 2004. Comparative analysis of the oil and supercritical CO2 extract of Elettaria cardamomum (L.) Maton. Journal of Agricultural and Food Chemistry 52, 6278–6282. 10.1021/jf034819i

Mauro, M., Catanzaro, I., Naselli, F., Sciandrello, G., Caradonna, F., 2013. Abnormal mitotic spindle assembly and cytokinesis induced by D-Limonene in cultured mammalian cells. Mutagenesis 28, 631–635. 10.1093/mutage/get040

Menon, A.N., 2000. Studies on the volatiles of cardamom (Elleteria cardamomum). Journal of Food Science and Technology 37, 406–408.

Mosmann, T., 1983. Rapid colorimetric assay for cellular growth and survival: application to proliferation and cytotoxicity assays. Journal of immunological methods 65, 55–63. 10.1016/0022-1759(83)90303-4

Murata, S., Shiragami, R., Kosugi, C., Tezuka, T., Yamazaki, M., Hirano, A., et al. 2013. Antitumor effect of 1, 8-cineole against colon cancer. Oncology reports 30, 2647–2652. 10.3892/or.2013.2763

Nahr, F.K., Ghanbarzadeh, B., Hamishehkar, H.S., 2018. Food grade nanostructured lipid carrier for cardamom essential oil: Preparation, characterization and antimicrobial activity 40, 1–8. 10.1016/j.jff.2017.09.028

Namir, M., Iskander, A., Alyamani, A., Sayed-Ahmed, E.T.A., Saad, A.M., Elsahy, K., et al. 2022. Upgrading Common Wheat Pasta by Fiber-Rich Fraction of Potato Peel Byproduct at Different Particle Sizes: Effects on Physicochemical, Thermal, and Sensory Properties. Molecules 27, 2868. 10.3390/molecules27092868

Naveed, R., Hussain, I., Tawab, A., Tariq, M., Rahman, M., Hameed, S., et al. 2013. Antimicrobial activity of the bioactive components of essential oils from Pakistani spices against Salmonella and other multi-drug resistant bacteria. BMC complementary and alternative medicine 13, 1–10. 10.1186/1472-6882-13-265

Nema, N.K., Chacko, B.K., Joseph, J., Jacob, V., 2023. Cardamom Oleoresin, In: Ramadan, M.F. (Ed.), Cardamom (Elettaria cardamomum): Production, Processing and Properties. Springer International Publishing, Cham, pp. 277–297. 10.1007/978-3-031-35426-7_20

Nguyen, P.T., Kravchuk, O., Bhandari, B., Prakash, S., 2017. Effect of different hydrocolloids on texture, rheology, tribology and sensory perception of texture and mouthfeel of low-fat pot-set yoghurt. Food Hydrocolloids 72, 90–104. 10.1016/j.foodhyd.2017.05.035

Organization, W.H., 2017. Fact sheet 310: the top 10 causes of death.

Riva, S.C., Opara, U.O., Fawole, O.A., 2020. Recent developments on postharvest application of edible coatings on stone fruit: A review. Scientia Horticulturae 262, 109074. 10.1016/j.scienta.2019.109074

Romero, P., Alférez, F., Lafuente, M.T., 2020. Involvement of phospholipases and sucrose in carbon starvation-induced non-chilling peel pitting in citrus fruit. Postharvest Biology and Technology 169, 111295. 10.1016/j.postharvbio.2020.111295

Russo, R., Ciociaro, A., Berliocchi, L., Cassiano, M.G.V., Rombolà, L., Ragusa, S., et al. 2013. Implication of limonene and linalyl acetate in cytotoxicity induced by bergamot essential oil in human neuroblastoma cells. Fitoterapia 89, 48–57. 10.1016/j.fitote.2013.05.014

Saad, A.M., Sitohy, M.Z., Ahmed, A.I., Rabie, N.A., Amin, S.A., Aboelenin, S.M., et al. 2021. Biochemical and functional characterization of kidney bean protein alcalase-hydrolysates and their preservative action on stored chicken meat. Molecules 26, 4690. 10.3390/molecules26154690

Sabo, V.A., Knezevic, P., 2019. Antimicrobial activity of Eucalyptus camaldulensis Dehn. plant extracts and essential oils: A review. Industrial crops and products 132, 413–429. 10.1016/j.indcrop.2019.02.051

Salama, H.E., Aziz, M.S.A., 2021. Development of active edible coating of alginate and aloe vera enriched with frankincense oil for retarding the senescence of green capsicums. Lwt 145, 111341. 10.1016/j.lwt.2021.111341

Salsabiela, S., Sukma Sekarina, A., Bagus, H., Audiensi, A., Azizah, F., Heristika, W., et al. 2022. Development of Edible Coating from Gelatin Composites with the Addition of Black Tea Extract (Camellia sinensis) on Minimally Processed Watermelon (Citrullus lanatus). Polymers 14, 2628. 10.3390/polym14132628

Satyal, P., Dosoky, N.S., Kincer, B.L., Setzer, W.N., 2012. Chemical compositions and biological activities of Amomum subulatum essential oils from Nepal. Natural product communications 7, 1934578X1200700935. 10.1177/1934578X1200700935

Savan, E.K., Küçükbay, F.Z., 2013. Essential oil composition of Elettaria cardamomum Maton. Journal of Applied Biological Sciences 7, 42–45.

Shakir, M.S., Ejaz, S., Hussain, S., Ali, S., Sardar, H., Azam, M., et al. 2022. Synergistic effect of gum Arabic and carboxymethyl cellulose as biocomposite coating delays senescence in stored tomatoes by regulating antioxidants and cell wall degradation. International Journal of Biological Macromolecules 201, 641–652. 10.1016/j.ijbiomac.2022.01.073

Shankaracharya, N., Raghavan, B., Abraham, K., Shankaranarayana, M., 1990. Large cardamom-chemistry, technology and uses. Spice India 3, 17–25.

Singh, G., Kiran, S., Marimuthu, P., Isidorov, V., Vinogorova, V., 2008. Antioxidant and antimicrobial activities of essential oil and various oleoresins of Elettaria cardamomum (seeds and pods). Journal of the Science of Food and Agriculture 88, 280–289. 10.1002/jsfa.3087

Snoussi, M., Noumi, E., Dehmani, A., Flamini, G., Aouni, M., Al-Sieni, M., et al. 2015. Chemical composition and antimicrobial activities of Elettaria cardamomum L.(Manton) essential oil: A high activity against a wide range of food borne and medically important bacteria and fungi. J. Chem. Biol. Phys. Sci 6, 248–259.

Sontakke, M., Syed, H., Sawate, A., 2018. Studies on extraction of essential oils from spices (Cardamom and Cinnamon). Int J Chem Stu 6, 2787–2789.

Souza, A.G., Ferreira, R.R., Paula, L.C., Mitra, S.K., Rosa, D.S.J.F.P., Life, S., 2021. Starch-based films enriched with nanocellulose-stabilized Pickering emulsions containing different essential oils for possible applications in food packaging. 27, 100615. 10.1016/j.fpsl.2020.100615

Strano, M.C., Altieri, G., Admane, N., Genovese, F., Di Renzo, G.C., 2017. Advance in citrus postharvest management: diseases, cold storage and quality evaluation. Citrus pathology 10, 66518. 10.5772/66518

Teneva, D., Denkova, Z., Goranov, B., Denkova, R., Kostov, G., Atanasova, T., et al. 2016. Chemical composition and antimicrobial activity of essential oils from black pepper, cumin, coriander and cardamom against some pathogenic microorganisms. Acta Universitatis Cinbinesis, Series E: Food Technology 20. 10.1515/aucft-2016-0014

Thabrew, M.I., Hughes, R.D., McFarlane, I.G., 1997. Screening of hepatoprotective plant components using a HepG2 cell cytotoxicity assay. J Pharm Pharmacol 49, 1132–1135. 10.1111/j.2042-7158.1997.tb06055.x

Triglia, D., Braa, S.S., Yonan, C., Naughton, G.K., 1991. In vitro toxicity of various classes of test agents using the neutral red assay on a human three-dimensional physiologic skin model. In Vitro Cellular Developmental Biology-Animal 27, 239–244. 10.1007/BF02630923

Vaidya, A., Rathod, M., Director, D., 2014. An in vitro study of the immunomodulatory effects of Piper nigrum (black pepper) and Elettaria cardamomum (cardamom) extracts using a murine macrophage cell line. AIJRFANS 8, 18–27.

Vieira, A.C.F., de Matos Fonseca, J., Menezes, N.M.C., Monteiro, A.R., Valencia, G.A., 2020. Active coatings based on hydroxypropyl methylcellulose and silver nanoparticles to extend the papaya (Carica papaya L.) shelf life. International Journal of Biological Macromolecules 164, 489–498. 10.1016/j.ijbiomac.2020.07.130

Winarsi, H., Sasongko, N., Purwanto, A., Nuraeni, I., 2014. Effect of cardamom leaves extract as antidiabetic, weight lost and hypocholesterolemic to alloxan-induced Sprague Dawley diabetic rats. International Food Research Journal 21, 2253.

Yadav, A., Kumar, N., Upadhyay, A., Sethi, S., Singh, A., 2022. Edible coating as postharvest management strategy for shelf-life extension of fresh tomato (Solanum lycopersicum L.): An overview. Journal of Food Science 87, 2256–2290. 10.1111/1750-3841.16145

Yashin, A., Yashin, Y., Xia, X., Nemzer, B., 2017. Antioxidant activity of spices and their impact on human health: A review. Antioxidants 6, 70. 10.3390/antiox6030070

Younus, N.K., 2023. Cardamom (Elettaria cardamomum) Seeds Extract as Antimicrobial and Wound Healing Agent, E3S Web of Conferences. EDP Sciences, p. 1118. 10.1051/e3sconf/202339101118

Zacarias, L., Cronje, P.J., Palou, L., 2020. Postharvest technology of citrus fruits, The genus citrus. Elsevier, pp. 421–446. 10.1016/B978-0-12-812163-4.00021-8

Zahran, M., Khalifa, Z., Zahran, M.A., Azzem, M.A., 2021. Gum Arabic-capped silver nanoparticles for electrochemical amplification sensing of methylene blue in river water. Electrochimica Acta 394, 139152. 10.1016/j.electacta.2021.139152